|
|
|
|
![]()
NOTICIAS CIENTÍFICAS
TITULARES DE LAS NOTICIAS DEL MES
La máquina del "Big Bang", récord mundial de potencia
Agujeros negros pueden crear sus propias galaxias
"No hacer nada contra el CO2 es un crimen contra la Humanidad"
Atrapado un arco iris por primera vez
El Atlantis aterriza con éxito en Florida
Una célula primitiva que imita a las más complejas
Ensayan una vacuna celular personalizada contra los tumores cerebrales
Científicos españoles describen los elementos básicos de la vida
Récord mundial de personas vivas con VIH
Captan las primeras imágenes de gigantescas auroras boreales en Saturno
Un robot submarino cruza el Atlántico
¿Nuevas evidencias de vida en un meteorito marciano?
De cómo Google podría dejar de dominar el mundo
De humanoides a robots industriales en la mayor feria mundial de Tokio
Ensayan una vacuna celular personalizada contra los tumores cerebrales
La mejor candidata a proto-enana marrón
Las partículas circulan en el LHC una vez más
150 años de "El Origen de las Especies"
El fin del mundo será otro día: las profecías de las que se ríe la ciencia
Un nuevo mapa de Marte defiende la idea de un antiguo gran océano
Las nuevas babosas marinas de las Islas Canarias
"La forma de buscar táctil y visual de 'Minority Report' no está tan lejos"
Diez lugares del planeta donde no debería existir la vida pero existe
La oceanografía española en desarrollo
Estados Unidos prueba con éxito un cañón láser de ciencia ficción
El ADN del maíz es más complejo que el humano
Un grupo de sondas choca contra Einstein
Descubren un extraño mundo de cocodrilos prehistóricos en el Sáhara
Termina con éxito la primera caminata del Atlantis
La máquina del "Big Bang" arranca tras 14 meses de parón
La explosión de un meteorito en Utah transforma la noche en día
Investigadores aseguran que el hombre de Flores es una nueva especie humana
Rusia busca provisiones para su nuevo "Gran Hermano" marciano
Los humanos recorrerán el espacio en veleros solares
El acceso a internet de un mega será un derecho en el 2011
"La existencia de extraterrestres es una idea cuyo tiempo ya ha llegado"
El último intento de rescatar al Spirit en Marte fracasa en menos de un segundo
Fracasa el primer intento en Rumanía de llegar en globo a la Luna
La temperatura global se incrementará en 6 grados a finales de siglo
Obama ya no es la esperanza verde
Juan Pérez Mercader en el Gabinete Literario de Las Palmas de G.C
El Atlantis transporta un millón de gusanos para experimentos científicos
El transbordador Atlantis despega con éxito
Encuentran el lugar más caliente del universo
Comienza la vacunación contra la gripe A en España
Conmemoran los 100 años de Volcán Chinyero. la última erupción de Tenerife
"El espacio es un instrumento político"
Un dinosaurio descubierto en sudáfrica explica como estos animales llegaron a ser tan grandes
Otro asteroide indetectado pasa rozando la Tierra
Bosques azules contra el calentamiento global
La NASA reproduce un componente para la vida
La NASA encuentra "12 cubos" de agua en la Luna
Una nueva "herramienta" para cazar planetas
Una nimia diferencia que nos hace hablar
El tiranosaurio tenía sangre caliente
La NASA y la ESA acuerdan cooperar para explorar Marte
Vuelos en "ingravidez" para experimentar con proteínas
"Medir la droga en del aire cambiará la lucha contra el narcotráfico"
Secuenciado el genoma del caballo doméstico
"El ordenador debe ser compañero, no un sirviente"
Hollywood no quiere venir del mono
La revolución de los planetas extrasolares
Barcelona concluye sin compromisos
El gran colisionador de Hadrones se sobrecalienta por una miga de pan
Bosques en el desierto: ¿La respuesta al calentamiento global?
Secuenciado el genoma del caballo doméstico
¿Cuál es el invento científico más importante de todos los tiempos?
Darwin estaría horrorizado por el actual estado de la naturaleza
El "zoo" genético de los animales vertebrados
Descubren el antepasado más antiguo del tiranosaurio, de 170 millones de años
Un tercio de las especies en peligro de extinción
El conjunto de galaxias más grande del cosmos... posiblemente
La sonda Messenger desvela los territorios más ocultos de Mercurio
La Tierra se acaba en cuarenta años (que no son nada)
Europa pone un ojo en el espacio para vigilar los mares y la humedad terrestre
Cuenta Alejandro Amenábar que se quedó impresionado al ver la Vía Láctea yendo en un barco hacia Ibiza. La consecuencia, cinco años después, es la película Ágora.

Una noche, hace un par de meses creo que pude entender lo que le pasó. Estaba en una playa de Boavista, en Cabo Verde, sin hacer nada en particular, sólo disfrutar de un cielo que estaba increíblemente oscuro, sin Luna y sin nada de contaminación lumínica. La Vía Láctea brillaba mucho más que cualquier otra cosa: una banda luminosa que cruzaba todo el cielo, surgiendo nítida desde el mar, en el Sur, y pasando por las constelaciones familiares del verano, Sagitario, el Águila y el Cisne, hasta acabar, aún ancha y brillante, muy al Norte, en Casiopea. Mostraba una extraordinaria riqueza de formas y estructuras. Yo miraba asombrado con y sin gafas ("soy de vista débil", que diría Kepler) porque así percibía formas diferentes, brillantes, oscuras... En treinta años que llevo observando el cielo no había sentido algo así. Ciertamente no hubo nada milagroso aquella noche, lo que pasa es que he observado casi siempre desde dentro de una cúpula y con un telescopio, mientras que ahora podía estar varias horas al aire libre, con buena temperatura, un cielo extraordinariamente oscuro... y sin preocuparme por medir nada; simplemente mirando. Así que en Boavista descubrí la Vía Láctea tal como la vieron nuestros abuelos, como la vieron los Homo Sapiens, Antecessors, Erectus, Habilis y demás hombres y animales con ojos, pasados y presentes, y como la vio Amenábar. Impresiona de verdad.
Las preguntas que surgen tras sentir esa inmensidad de la Vía Láctea (¿Qué sabemos realmente del Universo? ¿Cómo se ha llegado a saber lo que se sabe? ¿Quiénes pensaron en esas cosas? ¿Qué tipo de personas eran?) atraparon a Amenábar, que empezó a leer sobre Astronomía y a revisar la serie Cosmos, de Carl Sagan. Debió estar un año dándole vueltas al asunto, junto a sus amigos el guionista Mateo Gil y el productor Fernando Bovaira, el trípode donde se apoya el viaje al pasado de Ágora, porque cuando Amenábar y Gil llegaron a Tenerife en el verano de 2005 traían un arsenal de datos, ideas y preguntas que me dejaron impresionado. Visitaron los observatorios canarios, incluyendo una noche de observación con un pequeño telescopio de estudiantes que hay en el Observatorio del Teide (Tenerife), el Mons de 50 cm, y otras dos noches con el telescopio Isaac Newton de 2,5 m del Roque de los Muchachos (La Palma), donde, por casualidad, tenía yo en esas fechas un proyecto para investigar precisamente el plano de la Vía Láctea.
Pero ni Amenábar ni Gil parecieron demasiado impresionados al mostrarles yo la nebulosa de la Lira, la estrella doble Albireo, el cúmulo globular del Centauro, ni nada de lo que les puse en el Mons. Lo mismo pasó, más o menos, al ver las imágenes del plano galáctico que mis colaboradores estaban obteniendo con el Isaac Newton. Miraban educadamente, eso sí, lo que yo les mostraba, pero enseguida me llevaban a lo que realmente les interesaba: qué es la gravedad, qué es la inercia. ¿Y el efecto Doppler? ¿Y la relatividad de Galileo? ¿Y la relatividad de Einstein? La tercera noche, de madrugada, habíamos llegado ya a: ¿y qué pasa si uno va en una barca a velocidad uniforme y dispara una bala que se cruza con una partícula relativista como un fotón...? Claramente, no habían venido de turismo a ver el cielo, sino a hablar de Astronomía y de astrónomos; yo estaba sinceramente asombrado por el interés y la pasión que mostraban, por la profundidad de los argumentos y preguntas, y por su rapidez mental, que me obligaba a seguir los razonamientos improvisando ejemplos, cuando podía, o diciendo "déjenme que lo piense", cuando no. En cierto momento me preguntó Amenábar ¿sabes algo de Hipatia? Vagamente me sonaba ese nombre de un gabinete de psicología que hay en Santa Cruz (Tenerife). O sea, ni idea. Aparecieron Einstein, Newton, Kepler, Galileo, Copérnico, ahora Hipatia, personajes y vidas muy interesantes... quizá demasiados personajes y demasiado complejas sus vidas; claramente había que poner orden en todo eso.
Un par de meses más tarde recibí un correo de Amenábar donde decía que se habían decidido por Hipatia y en marzo de 2006 fuimos a Egipto a ver un eclipse total de Sol que, por suerte, eso sí que no se puede planear, pasaba ese año muy cerca de Alejandría (tan cerca como el eclipse total del año 402, que quizás vio Hipatia). Ese viaje sirvió para sumergirnos un poco en la Astronomía antigua y en la cultura egipcia de la época grecorromana, e intentar revivir la vida cotidiana de las gentes de Alejandría (y sus caras, no hay más que ver los retratos de Al Fayum). También para toparnos, en los templos coptos del Nitria, con el otro componente que marcó la vida de Hipatia, la religión. Aún recuerdo una intensa discusión con uno de los monjes, llamado Nicomedes y ataviado como el obispo Teófilo en Ágora, sobre los textos existentes acerca de la virginidad de María.
Pero vamos a la protagonista de la historia, Hipatia. De nadie saber casi nada sobre Hipatia, incluido yo, hemos pasado, a causa de Ágora, a opinar todos en periódicos, libros, blogs, páginas de internet, tertulias en radio y TV... Esta película va a atraer a tantos jóvenes a la Historia como a la Astrofísica. Hipatia es un personaje real, al menos tan real como los que aparecen en las crónicas de la época, es decir, tan real como su padre, Teón, como los obispos Cirilo y Sinesio, como el prefecto imperial Orestes, etc.; los historiadores no tienen motivos para pensar que sean todos personajes inventados. Como en el juego deQuién es Quién, podemos empezar la historia así: "Hipatia fue un personaje femenino". Lo que, por cierto, no es poco: que una mujer sobresaliera tanto en aquella época como para que las crónicas hablen de ella sin ser "la esposa de" o "la madre de", es de por sí notable. Más allá de eso, se sabe muy poco de cierto sobre Hipatia; lo más relevante son tres crónicas primarias (o sea, sobre las no que se conocen textos anteriores que pudieran haberse copiado), muy escuetas, y las cartas de Sinesio de Cirene, su discípulo.
Existen suficientes datos históricos como para estar razonablemente seguros de tres cosas, las tres muy relevantes en la trama astronómica de la película:
-Hipatia fue una reconocida maestra.
-Fue una gran filósofa (hoy diríamos científica) experta en geometría y, en particular, en las secciones cónicas, es decir, en las cuatro familias de curvas que surgen al cortar un cono (circunferencia, elipse, parábola e hipérbola).
-Fue una gran astrónoma e inventora (o, al menos, usuaria avanzada) de algunos instrumentos físicos, como el hidrómetro para medir densidades, y astronómicos. Muy probablemente participó junto a su padre en el desarrollo del astrolabio plano, uno de los instrumentos más importantes hasta la invención del telescopio, mil doscientos años después.
Los guionistas de Ágora han juntado esas tres facetas históricas en una trama astronómica inventada pero verosímil, en la cual Hipatia recorre, a lo largo de la película, un viaje intelectual para descifrar el enigma de las órbitas planetarias y la estructura del universo entonces conocido. El viaje se inicia con el viejo modelo geocéntrico de Ptolomeo y acaba con las elipses de Kepler, adoptando, a media película (en la escena del barco de Orestes) el modelo heliocéntrico de Aristarco que la Hipatia de ficción no abandonará ya hasta el final.
Así pudo haber sido la historia... pero no lo fue hasta doce siglos después, cuando Kepler, al concluir lo que llamaba "mi guerra con Marte", descubrió que éste, efectivamente, no se mueve en un círculo perfecto alrededor del Sol, sino en una elipse, y cuando Galileo desarrolló su teoría de los movimientos relativos. Ahí se esconde el mensaje astronómico de la película: en la época de Hipatia ya se tenían los conocimientos matemáticos y geométricos necesarios, ya existía la teoría heliocéntrica alternativa al modelo de Ptolomeo y ya se habían registrado observaciones astronómicas discrepantes (como el pequeño cambio en el diámetro aparente del Sol que muestra la película) que hubieran permitido, de no haberse destruido tantos libros y embotado con ideas absurdas tantos cerebros, adelantar quizá en siglos la respuesta correcta al modelo del mundo. Hipatia pudo haberlo hecho.
Pero es cierto que aún sorprende a muchos que los antiguos supieran tanto. Al ver, por ejemplo, las pirámides de Egipto, la gente piensa que son obra de extraterrestres. ¿Cómo subían esas enormes piedras hasta arriba? ¿Cómo conocían con tanta precisión las formas matemáticas de las pirámides y sus orientaciones astronómicas? Simplemente tenían mayores conocimientos sobre estos temas que el ciudadano medio de hoy. Cualquiera que pudiera hoy discutir con Euclides, Aristarco o Ptolomeo de Geometría o de Astronomía quedaría deslumbrado con su saber, que no sólo abarcaba teorías o ideas abstractas, no sólo "filosofaban", sino que incluía unas habilidades técnicas a veces asombrosas. Investiguen, si tienen curiosidad, acerca de una máquina llamada de Antikitera, una calculadora mecánica analógica diseñada para realizar cálculos astronómicos y construida unos 250 años antes de nacer Hipatia. Ha sido descifrada y restaurada recientemente por un equipo de historiadores, ingenieros y astrónomos. Resulta asombroso que los antiguos poseyeran los conocimientos matemáticos, astronómicos y tecnológicos necesarios para fabricar algo así. Si se reuniera a media docena de astrofísicos e ingenieros a diseñar esa máquina sin ordenadores, y a construirla con las herramientas mecánicas antiguas, veríamos cuánto tardaban, si es que lo lograban.
Investiguen también sobre Teón, el padre de Hipatia; verán que él mismo explica en su Libro VI del Comentario al Almagesto cómo calculó los elementos astronómicos de un eclipse parcial de Sol que vio en Alejandría el 16 de junio del año 364. Lo hace como un ejercicio para que sus alumnos aprendan a usar el Almagesto de Ptolomeo con su Manual de Tablas astronómicas. El análisis moderno de los cálculos de Teón demuestra que coinciden con los actuales con una excelente precisión. ¡Y eso que usaba el modelo equivocado, el geocéntrico de Ptolomeo, con todo el lío de los epiciclos, deferentes, ecuantes y demás, que tanto complica los cálculos!
Lo que en el fondo nos dice todo eso es que, aunque los antiguos sabían mucho, sus conocimientos sólo eran, igual que ahora, frágiles construcciones mentales; ideas que mueren fácilmente si caen en el olvido... más aún si los poderes sociales fomentan que se olviden. Uno de los sabios modernos, el premio Nobel de Física R. Feynman, empezó en 1963 un ciclo de conferencias sobre ciencia, política y religión diciendo: "Las ideas que quiero describir son viejas. No hay prácticamente nada que yo vaya a decir esta noche que no hubieran podido decir los filósofos del siglo XVII. ¿Por qué repetir todo eso? Porque todos los días nacen nuevas generaciones. Porque durante la historia del hombre se han desarrollado grandes ideas y esas ideas no perduran a menos que se transmitan deliberada y claramente de una generación a la siguiente". Ése es otro mensaje implícito de Ágora: incluso hoy, las grandes ideas no están a salvo.
Volviendo a los sabios antiguos... ni siquiera la idea de los epiciclos era una estupidez. Los epiciclos existen realmente en las órbitas de los astros. La Luna gira en algo menos de un mes alrededor de la Tierra recorriendo una órbita casi circular, cierto, pero, al estar ligada a la Tierra, también gira alrededor del Sol en otra órbita casi circular dando una vuelta cada año. O sea, un círculo sobre otro círculo: eso es un epiciclo. Y lo mismo las órbitas de los demás satélites que giran alrededor de Marte, Júpiter, Saturno, etc., todo eso son epiciclos.
En realidad todo son epiciclos, porque ¿no gira la Tierra alrededor del Sol pero también alrededor del centro de la Galaxia, al estar ligada al Sol? ¿No gira éste también en otro epiciclo al girar nuestra Galaxia alrededor del centro de masas del Grupo Local de galaxias? Sí; todo son epiciclos, los antiguos no eran tontos. Pero, entonces, emulando a Orestes en la película cuando Hipatia le dice "los cielos tienen que ser simples"... ¿Quién tiene razón? ¿Tenía razón Ptolomeo con sus epiciclos? Los antiguos no se equivocaron al inventar los epiciclos, sino al poner a la Tierra en el centro; hoy la ciencia ha demostrado que la Tierra no es el centro de nada, ni del Sistema Solar, ni de la Galaxia, ni de nada.
¿Y qué pasa con poner o no poner la Tierra en el centro? Pues hoy no pasa nada, al menos eso esperamos, nadie mata a nadie por decir que la Tierra no es ningún centro, pero en aquel entonces sí era muy importante... tanto como para matar. ¿Mataron a Hipatia por sus conocimientos astronómicos? No se sabe, quizás sí, o quizás no. Lo cierto es que fue cruelmente asesinada por un grupo de cristianos y es probable que, como se cuenta en la película, la mataran por una combinación de las luchas políticas y religiosas de la época; quizá la Astronomía no tuvo nada que ver. Pero lean este texto extraído de una de las tres fuentes primarias que, como decía más arriba, existen sobre Hipatia. Es la crónica del obispo Juan de Nikiu, escrita a finales del siglo VII, y comienza así:
"Y en aquellos días vivió en Alejandría una filósofa pagana llamada Hipatia que se dedicaba todo el tiempo a la magia, los astrolabios y los instrumentos de música, y encantaba a mucha gente con sus engaños satánicos". Los astrolabios le parecen al obispo instrumentos peligrosos, cosas de brujas, encantos de Satanás.
La crónica termina así:
"Y después se juntó una multitud de creyentes en Dios bajo la guía de Pedro el magistrado -este Pedro era un perfecto creyente en Jesucristo- y buscaron a la pagana que había encantado a la gente de la ciudad y al Prefecto. Y cuando supieron dónde estaba, fueron hasta ella y la encontraron sentada en una litera; tras bajarla, arrancaron sus ropas y la arrastraron por las calles de la ciudad hasta que murió. Y la llevaron a un lugar llamado Cinarión y quemaron su cuerpo. Y toda la gente rodeaba al patriarca Cirilo y le llamaba "el nuevo Teófilo" porque había destruido los últimos restos de idolatría en la ciudad".
El tiempo pasó, pero en 1600, doce siglos después de Hipatia, la Inquisición quemó en la hoguera al astrónomo Giordano Bruno, quien, además de tener creencias religiosas enfrentadas con las de la Iglesia Católica, había propuesto que en el universo hay infinidad de soles y de mundos como el nuestro, justamente lo que ha demostrado la ciencia actual.
Volviendo a la película, varias tramas se entremezclan. Yo encuentro tres principales: la trama astronómica, o sea, el viaje de exploración por el Universo que realiza Hipatia para resolver el enigma de las órbitas planetarias del que ya hemos hablado. La trama personal, su vida en relación con el entorno familiar y social: su padre, discípulos, esclavos, pretendientes rechazados... Y, por fin, la trama religiosa, la lucha de las tres religiones principales y las numerosas sectas y facciones cristianas de la época por sobrevivir y perpetuarse. Es aquí donde más polémicas han surgido. La persona interesada puede investigar en la historia religiosa de aquella y de otras épocas y decidir por sí misma. Internet, la nueva biblioteca de Alejandría, ayuda a hacerlo sin tener que saber copto o encerrarse en los archivos secretos del Vaticano. También se pueden leer los antiguos libros de papel, nuestros compañeros desde hace siglos, quizá a punto de extinguirse como se extinguieron las tablillas de barro o los petroglifos. Y, si tienen tiempo y curiosidad, no se limiten a Hipatia y a los cristianos. La humanidad ha tenido cientos de dioses (Thor, Baal, Yaveh, Wotan, Amón, Isis, Serapis, Apolo, Zeus, Tláloc, Huitzilopochtli, Achamán... la lista es muy larga) cada uno con sus rituales y sus religiones. Ha habido innumerables presos, torturados, asesinos y mártires, innumerables libros quemados en nombre de los dioses y las religiones.
Quisiera acabar con algo diferente. A mí me pasa, supongo que a muchos de los que se dedican a la investigación científica les pasa también, que siento impotencia, rabia, al ver cómo es el Universo (de grande, variado, extraño, emocionante, entendible, enigmático...) y que no seamos capaces de transmitir su realidad, y los sentimientos que despierta, a la gente. Los cuentos que leen los niños son las historias de siempre: las hadas, los ogros, los animales humanizados... Las películas que ven, las que vemos los adultos, las noticias de cada día, las novelas... son las mismas historias de siempre: los crímenes, los miedos, las pequeñas grandezas y miserias de la sociedad humana... Está bien, es nuestra sociedad, pero llevamos así miles de años, dándoles vueltas a esos miedos, apegados a esos mitos, a esas ideas absurdas, a esas religiones, que se han transmitido porque seguramente de algo servirían para la supervivencia de nuestros antepasados...
Pero me gustaría que alguien pudiera contar la otra historia. Lo que se siente al ver, flotando noche tras noche en el cielo, expandiéndose en silencio durante miles de años, la estructura delicadamente ordenada y simétrica de una nube de gas alrededor de una estrella al final de su vida; lo que uno siente al encontrar en cada fragmento minúsculo de la Galaxia miles de estrellas como el Sol, todas desconocidas, inmensamente lejanas, en regiones donde nunca hubo ni habrá seres humanos, brillando por miles de millones de años, desde mucho antes de que el hombre apareciera en la Tierra hasta mucho después de que desaparezca. Si no sentimos un escalofrío al mirar la imagen del "campo profundo" del Telescopio Espacial o la estructura geométrica de un virus o una diatomea, es porque se nos está negando la posibilidad de apreciar el Universo real, de maravillarnos con el verdadero misterio, y los científicos somos en parte responsables de ello.
En Ágora, Amenábar abre una pequeña puerta al Universo para transmitir algunos de esos sentimientos. Al mirar el cielo estrellado, y hacia atrás en el tiempo, se encontró con Hipatia y, al contar su historia, no pudo separar la pasión que esa mujer sentía por la filosofía y por los planetas de su vida y cruel muerte en aquel hormiguero convulso de la Alejandría del siglo V. Una de las grandes ideas que hay que transmitir a las siguientes generaciones, deliberada y claramente, es antigua y sencilla: "la Humanidad dejará de cometer atrocidades cuando deje de creer en cosas absurdas". Ágora les dará argumentos para discutir con los amigos si merece la pena transmitirla.
Fuente: caosyciencia.com, 30-11-09
-La máquina del "Big Bang", récord mundial de potencia
El Gran Colisionador de Hadrones (LHC) ya es oficialmente el acelerador de partículas más potente del mundo después de que sus dos haces de protones hayan alcanzado una energía de 1,18 teraelectronvoltios (TeV). Así lo ha anunciado en Ginebra la Organización Europea para la Investigación Nuclear (CERN) en un comunicado.
|
Esta cifra alcanzada por la llamada 'máquina del Big Bang' supera el récord mundial anterior de 0,98 Tev, logrado por su principal competidor, el colisionador Tevatron del Fermi National Accelerator Laboratory de Chicago. Según indicó el centro de investigación "este evento constituye un importante hito en el camino hacia el programa de física del LHC en 2010", año en el que se espera que el LHC alcance los 7 TeV (3,5 TeV por haz). Tras la avería que obligó a paralizar su funcionamiento poco después de su inauguración en septiembre de 2008, y los sucesivos problemas que obligaron a posponer su relanzamiento, el LHC parece haber superado todos sus problemas y está funcionando a la perfección. "Seguimos adaptándonos a lo fácil que está siendo el manejo del LHC", declaró el director general del CERN, Rolf Heuer, quien sin embargo, se ha mostrado prudente al señalar que "seguimos paso a paso, todavía hay mucho que hacer antes de empezar la física en 2010". Hace siete días, cuando se registraron las primeras colisiones de protones a baja velocidad, el objetivo de los científicos era llevar los haces de protones a 1,2 TeV en las siguientes semanas. Además, el récord se ha conseguido apenas diez días después de que el acelerador volviese a funcionar, tras 14 meses de reparaciones y pruebas para resolver la avería que sufrió en septiembre de 2008 a los pocos días de inaugurarse. El avance sobre el calendario establecido "demuestra el excelente funcionamiento de la máquina", consideró el CERN. Así, el pasado día 20 se inyectaron en el acelerador los primeros haces de protones y en los días siguientes éstos circularon de forma alterna a baja velocidad, primero en una dirección y luego en la otra, a lo largo de una circunferencia de 27 kilómetros en una suerte de túnel construido a 100 metros bajo tierra en la frontera entre Suiza y Francia. |
Científicos del CERN celebran el récord del LHC. | AFP. |
A partir de esa etapa, "el tiempo de vida de los haces fue aumentado hasta alrededor de 10 horas", precisó el organismo. Según los responsables de la institución científica, la progresión en los experimentos del LHC apuntan a que se logrará el objetivo de llevar a cabo el primer programa de física en el primer trimestre de 2010.
La próxima meta, de aquí a antes de la Navidad, es incrementar la intensidad de los haces antes de extraer mayores cantidades de datos de las colisiones. Para ello se debe asegurar que una mayor velocidad de los haces pueda ser manejada de manera segura y que es posible garantizar condiciones estables para los experimentos durante las colisiones, lo que se espera tome alrededor de una semana. Desde entonces y hasta fines de año habrá más colisiones para ajustar la máquina.
Fuente: elmundo.es, 30-11-09
-Agujeros negros pueden crear sus propias galaxias
Un equipo de astrónomos obtuvieron indicios a partir de
observaciones realizadas desde Chile que sugieren que los agujeros negros pueden
crear su propia galaxia madre, informó hoy el Observatorio Europeo Austral (ESO,
por sus siglas en inglés).
|
"Nuestro estudio sugiere que los
agujeros negros súper masivos pueden desencadenar la formación de estrellas
y así 'construir' sus propias galaxias madres. Este eslabón también puede
explicar por qué las galaxias que albergan agujeros negros más grandes
tienen más estrellas", explicó David Elbaz, responsable del estudio. |
Recreación artística de cómo los agujeros negros supermasivos pueden formar galaxias / ESO |
Mientras que alrededor del agujero negro no se revela ningún indicio de
estrellas, la galaxia que la acompaña es extremadamente rica en estrellas muy
jóvenes y brillantes. Además, la galaxia sigue formando estrellas a una
velocidad equivalente a unos 350 soles por año, cien veces más que las
velocidades de galaxias típicas en el universo. Según informó ESO en un
comunicado, el quásar está arrojando un chorro de partículas altamente
energéticas y una corriente de gas hacia la vecina galaxia, lo que, a juicio de
los astrónomos, indica que el mismo quásar podría estar induciendo la formación
de estrellas y creando su propia galaxia madre. Para los especialistas, este
fenómeno puede explicar cómo las galaxias habrían evolucionado a partir de nubes
de gas golpeadas por los energéticos chorros que emergen de los quásares.
"La pregunta del 'huevo o la gallina' aplicada en el sentido de si acaso viene
primero la galaxia o su agujero negro es uno de los temas más debatidos hoy en
astrofísica", dijo David Elbaz, autor principal de la investigación, publicada
en la revista Astronomy & Astrophysics.
Además, los resultados también podrían contribuir a comprender por qué la masa
de los agujeros negros es mayor en las galaxias que contienen más estrellas.
Los astrónomos esperan que con los próximos instrumentos disponibles, como el
Atacama Large Millimeter/submillimeter Array, el European Extremely Large
Telescope y el Telescopio Espacial James Webb de NASA/ECA/CSA, se puedan aclarar
más dudas sobre la relación entre agujeros negros y galaxias.
Fuente: EFE, 30-11-09
Hace apenas una semana la NASA anunció que ha encontrado agua en la Luna. Tiempo les faltó para decir que el sueño de construir una base en nuestro satélite está más cerca. Sí, o dos si son pequeñas, no te jode. Hay quien cree que es mentira que el hombre haya alunizado y felicito a su camello, pero el timo del viaje a la Luna no está en los que se han hecho, sino en los que se van a hacer. Nadie lo dice pero la exploración espacial con humanos es la ufología de los científicos. Que no nos engañen. De momento, y por mucho tiempo, viajar al espacio es el pasado, no el futuro.
Las máquinas no son perfectas (ahí está el ejemplo del Spirit) y las construyen y dirigen humanos, me dirán algunos. No digo que sean la panacea, pero lo que han aportado los astronautas al conocimiento del cosmos es nada al cuadrado comparado con lo que hemos aprendido gracias a ellas.
![]() |
Nadie lo dice en voz alta para que no dudemos de la utilidad de la Estación Internacional Espacial que, estos días, analizará cómo afecta la ingravidez a los gusanos. Si miramos lo que nos prometieron hace años, veremos que ya debería haber hasta un Marina D'Or. No es casualidad que sólo China, la cleptocracia más longeva de la Historia, tenga previsto un nuevo alunizaje. En los países en los que la cuestión se debate el 'no' es rotundo: lo único estratosférico de esas misiones es el coste. Un dato. El traje del último takionauta costó unos tres millones de euros y el gran avance de la misión Shenzhou VII es que tenía water incorporado. Cagar en el espacio, eso sí es progreso. En 1991 ya tuvimos nuestra dosis de realidad. Se construyó en Arizona el complejo Biosfera 2, una especie de base lunar en la Tierra. Ocho personas se encerraron en un mundo herméticamente cerrado para simular la vida en otro planeta. Un mes después, los 'tripulantes' empezaron a recibir ayuda del exterior para no morir ahogados en sus propios desechos. Ahora los rusos quieren repetir la experiencia, pero más parece un truco de marketing para lograr la pegatina de "proveedor espacial". La pregunta de cómo construir la base está hoy tan vigente como en 1969. Para tranquilizarnos, dicen que el futuro de la exploración espacial es contar con la empresa privada, como si los inversores fueran idiotas. No será rentable ni aunque hubiera diamantes a puñados y, al final, pagarían los de siempre. Dicen que a lo mejor hay hasta nuevas fuentes de energía barata. Puro 'wishful thinking'. El problema es que el costo de traerla superaría con creces los beneficios de utilizarla. Quizás llegue el día en que ir a otro planeta sea factible, pero para entonces sabremos tanto sobre el espacio que quizás no tendrá ninguna utilidad. Los defensores de la carrera espacial con humanos suelen tirar del argumento tecnológico. Que si el teflón, el velcro, el GPS y otros tantos inventos. Sí, pero se desarrollaron en la Tierra no en el espacio. Si es por desafío tecnológico, ¿qué tal acabar con el hambre? Y eso, dejando a un lado cuestiones tan espinosas como que los principales contratistas de la NASA también lo son del Pentágono. Lo de las bases en la Luna no es más que una religión tecnológica con aires de ciencia fricción, en la que han sustituido el Apocalipsis por una catástrofe ecológica. Algunos apóstoles con bata blanca hablan incluso de modificar la atmósfera de otros planetas para colonizarlos (lo llaman 'terramorfing'). Con un poco de imaginación, cualquiera puede jugar a ser Dios. Por eso, entre rendir culto a un ser en el que no creo o un cohete, me quedo con lo primero. |
Fuente: blog "Desde el más allá", 29-11-09
El presidente de Maldivas ha cambiado la celda con vistas al mar en la isla prisión de Dhoonidhoo, donde fue encarcelado hasta 18 veces, por el más confortable despacho presidencial de Male, la capital del país. Mohamed Nasheed, que este mes cumple un año al frente del Gobierno, no considera malgastado el tiempo que pasó entre rejas por enfrentarse a la dictadura.
"Lo dediqué a pensar en los problemas de mi país y en cómo solucionarlos", asegura. Este Nelson Mandela del Índico se enfrenta a las predicciones que apuntan a que su nación podría ser la primera del mundo que desaparezca bajo los efectos del cambio climático y el aumento del nivel del mar.

El presidente, posando con el agua hasta sus rodillas en una playa de Maldivas. | Chiara Goia
El joven líder, de 42 años, acudirá a la cumbre sobre cambio climático de Copenhague para tratar de dar voz a los países que forman una de las grandes contradicciones del calentamiento global. Esto es, que las naciones menos contaminantes son las más amenazadas.
Pregunta.- ¿Cómo se siente al frente de un país que según las predicciones científicas quedará bajo el mar antes de que acabe el siglo (el 80% del territorio de las Maldivas se encuentra a menos de un metro de altura sobre el nivel del mar)?
Respuesta.- Si no tomamos medidas ahora, esa posibilidad es real. Hay que actuar hoy para asegurar el mañana. El cambio climático es un problema que está fuera del control de cualquier estado. Pero lo que sí podemos hacer es planear el futuro basándonos en el peor escenario y, por eso, mi Gobierno va a crear un fondo con dinero procedente del turismo para sufragar la posible evacuación de toda la población en caso de emergencia.
P.- Se refiere a su sorprendente iniciativa de comprar terrenos en Australia, Sri Lanka o la India para crear un nuevo hogar para sus compatriotas. ¿Es realmente la única solución?
R.- Ahora mismo estamos centrados en la adaptación. Una de las formas de adaptación es fortificar las islas con murallas como la que ya existe en Male (la capital del país está rodeada por un muro de entre dos y tres metros de altura). La posibilidad de adaptarse a la situación existe, pero hay que pensar en otras por si todo falla.
P.- La gente no ha acogido bien la idea. Sienten un apego natural por la tierra donde nacieron y dicen que no se marcharían.
R.- Las gentes de Maldivas vivían en otro lugar antes de emigrar aquí. De la misma forma, debemos estar abiertos a la posibilidad de volver a emigrar si este lugar se hace inhabitable. El hogar, en definitiva, es una creación de la imaginación. Nadie sabe qué está pasando con el clima. Sabemos que está cambiando, que el nivel del mar está subiendo y que los vientos no vienen cuando solían y lo hacen de forma más fuerte, aumentando la erosión de nuestras costas. Le estamos pidiendo a la gente que se defienda de una percepción y que levanten protecciones contra un peligro que todavía no entendemos.
P.- ¿Teme que la actual crisis económica relegue la lucha contra el cambio climático a un segundo plano y los países más contaminantes pierdan su voluntad de comprometerse a reducir sus emisiones?
R.- Los [líderes] de países que hagan esto estarán cometiendo un crimen y deberían ser procesados. Sería una locura completa y total olvidarse de los problemas medioambientales a los que nos enfrentamos con la excusa de la crisis. ¡Un crimen contra los Derechos Humanos! Porque es a nosotros [los países pobres] a quienes se está dañando.
P.- Si los países desarrollados son responsables de lo que está ocurriendo en Maldivas y otros países, ¿deberían ser ellos los que aporten las soluciones y el dinero para salvarlos?
R.- Debemos ser capaces de mantenernos de pie por nosotros mismos y aceptar la responsabilidad de la situación. No siempre puedes culpar a otros de lo que te ocurre. Un ejemplo: Maldivas se encuentra en una situación económica muy difícil y podríamos culpar a la actual crisis global de ello. La realidad es que estamos en esta situación por la política del anterior régimen. Es un daño que nos hemos inflingido a nosotros mismos. Por supuesto siempre es agradable que alguien te ayude, pero no podemos depender de lo que nos ofrezcan de fuera. Yo creo en las buenas intenciones de Occidente.
P.- ¿Qué puede pues hacer el resto del mundo para ayudar a salvar Maldivas?
R.- Olvidémonos de los Gobiernos. Es la comprensión de su gente, de los británicos o de los españoles, lo que buscamos. Porque, al final, cuando la gente se dé cuenta de que ha llegado la hora de salvar al mundo, hará lo posible por hacerlo.
P.- Algunos expertos creen que archipiélagos como Maldivas son inviables y que no es posible dar los servicios necesarios a una población dispersa en cientos de islas en mitad del océano. Varios estudios sugieren concentrar la población en entre tres y siete grandes islas.
R.- Este país ha sobrevivido intacto cerca de 2.000 años. Por mucho que usted o yo queramos cambiar su naturaleza, no es posible ir contra el curso natural de las cosas. Esta es una nación de islas, la gente vive en una nación de islas y quiere seguir siendo parte de una nación de islas.
Fuente: elmundo.es, 29-11-09
-Atrapado un arco iris por primera vez
Atrapar un arco iris era hasta ahora un imposible, una idea poética equiparable a conseguir una utopía, pero los sueños, a veces, se convierten en realidad. Por primera vez, científicos norteamericanos han conseguido capturar este fenómeno, tenerlo entre las manos a su antojo. Y lo han hecho de manera muy sencilla, utilizando unas lentes básicas y un plato de cristal. Esta técnica tiene importantes efectos prácticos, ya que podría ser utilizada para almacenar información usando la luz, una maravilla para la computación óptica y las telecomunicaciones.
|
Hace dos años, Ortwin Hess, de la Universidad de Surrey, logró un nuevo método para ralentizar y capturar la luz que podría multiplicar por mil la memoria de los ordenadores. La técnica se basaba en la propiedad de la «refracción negativa» de metamateriales creados artificialmente. Ahora, los investigadores de la Universidad Towson en Baltimore (Maryland, EE.UU.), cuyo estudio aparece en la revista New Scientist, han dado un paso más en la captura de la luz. El equipo fabricó su trampa para arco iris con una lente convexa de cristal de 4,5 mm de diámetro con una de sus caras recubierta por una película de oro de 30 nanometros de espesor. Esta cara se apoya sobre un cristal plano recubierto de otra película de oro de 70 nm. La luz queda almacenada en la capa de aire que pasa por el medio. Con la ayuda de un láser, los científicos hicieron aparecer el arcoiris. Visto desde arriba con un microscopio, el fenómeno destaca como una serie de anillos de colores. «Creo que es hermoso poder crear fenómenos tan complejos utilizando una configuración tan simple. Es increíble», ha asegurado Vera Smolyaninova, principal autora del estudio. El propio Hess, cuyas investigaciones fueron publicadas en su día por la revista Nature, ha dado sus bendiciones al hallazgo, que valida sus predicciones teóricas. «Es muy muy elegante», ha asegurado. |
|
Fuente: abc.es, 27-11-09
-El Atlantis aterriza con éxito en Florida
El transbordador Atlantis ha aterrizado con éxito en el Centro Espacial Kennedy de Florida (EE.UU.) después de una intensa misión de once días en la Estación Espacial Internacional (ISS), a la que ha transportado 13.000 kilos de carga, especialmente grandes piezas de repuesto, y en donde han preparado el futuro desarrollo del módulo científico.
|
El comandante Charlie Hobaugh y el piloto Barry Wilmore han conducido la nave de 93 toneladas, que irrumpió en la atmósfera a unos 5.000 kilómetros por hora. La maniobra de aproximación comenzó sobre las 14.34 (hora peninsular). La nave encendió sus motores durante cuatro minutos cuando sobrevolaba Indonesia para disminuir su velocidad a razón de 320 kilómetros por hora. El aterrizaje, que fue retransmitido en directo por la televisión de la NASA, se produjo sobre las 15.44 en la pista 33, sin problemas y como estaba previsto, según ha informado la agencia espacial. Todo el material posibleLa tripulación, formada por seis astronautas, termina de esta forma unas maratonianas sesiones de trabajo que han incluido, entre otras funciones, la entrega a los ocupantes de la plataforma orbital de diferentes piezas de repuesto. Se trata de todo el material que ha sido posible acarrear con la intención de que la estación quede abastecida antes de que todos los transbordadores queden fuera de servicio. Entre los repuestos llevados a la estación se cuentan grandes giroscopios, tanques y bombas, un depósito de amoníaco, y repuestos de reserva para el brazo robótico.. |
|
Los astronautas también realizaron tres caminatas espaciales y preparaon el la llegada, a a finales de año, del último módulo estadounidense que se sumará al complejo científico. El equipo no vuelve solo, ya que les ha acompañado la astronauta Nicole Scott, que ha permanecido un par de meses como ingeniera de vuelo en la estación espacial. El regreso de Stott marca el fin de una década de uso de transbordadores estadounidenses para la rotación de tripulaciones en el puesto que orbita a unos 385 kilómetros de la Tierra.
Gusanos, ratones y un bebé
El viaje no ha estado exento de anécdotas: los cosmonautas llevaron un millón de gusanos para experimentos científicos de ingravidez y se han traído en su vuelo de regreso seis ratones -en órbita desde agosto , también para investigación- y el sistema de reciclado de agua de la ISS, que se ha estropeado y ya no es capaz de generar más agua potable. Por si fuera poco, uno de los especialistas de la misión, Randy Bresnik, se convirtió en papá de una niña mientras estaba en el espacio.
Ésta será la penúltima misión del Atlantis. Los tres transbordadores en la flota de la NASA -los otros dos son el Discovery y el Endeavour-pasarán a retiro en uno o dos años. Dos de estas naves en la flota original -el Challenger y el Columbia- se destruyeron en accidentes que se cobraron la vida de 14 astronautas.
Fuente: abc.es, 27-11-09
-Una célula primitiva que imita a las más complejas
|
Un equipo de investigadores españoles explica hoy cómo uno de los seres más simples que existen, la bacteria Mycoplasma pneumoniae, es capaz de emular a formas de vida más complejas a pesar de tener menos genes. Estas bacterias, que son capaces de reproducirse por sí mismas, son muy útiles para determinar los ingredientes esenciales de la vida y aclarar su origen en la Tierra. Expertos del Centro de Regulación Genómica de Barcelona y el Laboratorio Europeo de Biología Molecular de Heidelberg (Alemania) detallan hoy en Science la lista completa de ARN y proteínas (transcriptoma y proteoma) que producen los 689 genes de M. pneumoniae. También describen todos los procesos químicos de su metabolismo (metaboloma). Los datos revelan una bacteria mucho más compleja de lo que podría esperarse por su reducido genoma y que es capaz de realizar procesos que, hasta ahora, estaban reservados a las eucariotas, células más complejas que tienen núcleo. El estudio señala que la M. pneumoniae consigue emular a las eucariotas sacándole el máximo partido a su genoma. Por ejemplo, sus genes no actúan siempre en grupo como en otras bacterias, y producen proteínas que realizan varias funciones a la vez. |
Un micoplasma |
Fuente: publico.es, 27-11-09
|
El par de galaxias en interacción Arp 299, formado por IC 694 y NGC 3690. | NASA, ESA. |
Según indica el instituto en un comunicado, se han descubierto veintiséis fuentes que corresponden en su mayoría a radio-supernovas jóvenes y a remanentes de supernova, que constituyen diferentes estadios evolutivos del mismo fenómeno, la muerte de estrellas de más de ocho masas solares. Los resultados han sido posibles gracias al uso del European VLBI Network, una red europea de radio telescopios que permite la observación con una resolución única en el mundo, y se publican esta semana en la revista 'Astronomy & Astrophysics'. El principal autor de la investigación, Miguel Ángel Pérez-Torres, ha explicado que las observaciones realizadas de IC 694 permiten estudiar casi en tiempo real cómo las estrellas más jóvenes y masivas mueren e interaccionan con el medio circundante. "Si quisiéramos realizar un estudio así en una galaxia similar a la nuestra necesitaríamos cincuenta o cien años, pero en el caso de IC 694, que presenta estallidos de formación estelar reciente, lo hemos podido llevar a cabo en menos de un año, así que sin duda, es una verdadera fábrica de supernovas", ha afirmado. La fertilidad de esta galaxia tiene un origen conocido, ya que se encuentra en los inicios de un proceso de fusión con otra galaxia menor, NGC 3690, interacción que produce una violenta inyección de gas y que desencadena, sobre todo en IC 694, intensos brotes de formación estelar. Los brotes más compactos, que presentan mayor densidad de estrellas masivas, suelen surgir en las regiones centrales de este tipo de galaxias, difíciles de observar debido a la abundancia de polvo. |
Existe, sin embargo, un trazador claro de esta explosión demográfica estelar, debido a que las estrellas jóvenes emiten gran cantidad de radiación ultravioleta, que los granos de polvo absorben y reemiten en el infrarrojo, de manera que las galaxias luminosas y ultraluminosas en el infrarrojo son las mejores candidatas para albergar estallidos de formación estelar.
Estos estallidos producen una tasa de mortalidad estelar superior a la media, de modo que si en una galaxia como la nuestra se espera una explosión de supernova cada cincuenta años, en las galaxias luminosas y ultraluminosas en el infrarrojo esta tasa puede ser entre diez y cien veces mayor. Considerando que las estrellas más masivas aportan la mayor parte de la luminosidad estelar global y que mueren como supernovas, el cómputo de supernovas se revela como un prometedor método para comprender la física de los procesos de formación estelar.
"El gran número de objetos detectados implica que estamos viendo tanto supernovas jóvenes como numerosos remanentes de supernovas, y su estudio con el tiempo nos permitirá entender cómo evolucionan estos objetos en las condiciones extremas de IC 694, que, junto con M82 y Arp 220, es posiblemente el mejor laboratorio del universo local donde llevar a cabo estos estudios. "De hecho, tres de los veintiséis objetos hallados se han confirmado como radio supernovas muy jóvenes cuya evolución, lenta y duradera, sugiere que las condiciones del medio a su alrededor juegan un papel fundamental en el comportamiento de estos objetos.
Fuente: elmundo.es, 27-11-09
-Científicos españoles describen los elementos básicos de la vida
¿Cuáles son los elementos esenciales para la vida, los ingredientes básicos para que se forme una sola célula que pueda sobrevivir por sí misma? Un equipo de científicos europeos, entre los que se encuentran investigadores del Centro de Regulación Genómica (CRG) de Barcelona, ha conseguido obtener el primer mapa completo de una célula mínima, en concreto la Mycoplasma pneumoniae, una de las bacterias más pequeñas que existen y que es responsable de la neumonía atípica. El estudio, que recoge la última edición de la revista Science en tres artículos diferentes, consigue describir algunos compuestos fundamentales que demuestran que incluso una célula aparentemente elemental es mucho más compleja que lo que se creía. Todo un mundo que sólo puede verse con un microscopio.
|
Información genómica, metabólica, estructural y celular de la bacteria Mycoplasma pneumoniae / Takuji Yamada - EMBL |
La Mycoplasma pneumoniae es una pequeña bacteria unicelular que causa la neumonía atípica en humanos. Es también uno de los más pequeños procariotas, las células que no tienen un núcleo, su ADN anda suelto y no necesita de la maquinaria celular de un anfitrión para reproducirse. En definitiva, un tipo sencillo capaz de vivir por su cuenta y un fantástico objeto de observación en el laboratorio. Tres niveles de análisisLos investigadores analizaron la bacteria en tres niveles: parte del equipo describió el transcriptoma de la bacteria (identificó todas las moléculas de ARN) en diferentes condiciones ambientales; otro grupo definió todas las reacciones metabólicas que sucedían y un tercero identificó cada complejo multiproteíco. Y en todos los niveles resultó «más compleja de lo que podrían haber esperado», ha explicado Luis Serrano, responsable principal de la investigación. La pequeña bacteria ha demostrado tener una intensa vida interior. Otra sorpresa es el hecho de que, a pesar de tener un genoma muy pequeño, esta bacteria es increíblemente flexible y su metabolismo se adapta a los cambios drásticos de las condiciones ambientales. Esta capacidad de adaptación significa de la Mycoplasma tiene el potencial para evolucionar rápidamente y que también comparte características con otros organismos evolucionados. Precisamente, según los científicos, aquí está la clave. «Esas son las cosas de las que ni siquiera el organismo más simple puede prescindir y que han permanecido ajenas a millones de años de evolución, los elementos esenciales para la vida», ha explicado Anne-Claude Gavin, líder del Laboratorio Europeo de Biología Molecular, que también ha participado en el estudio. |
Fuente: abc.es, 26-11-09
Los daños por el cambio climático ascenderán en Europa a entre 20.000 y 65.000 millones de euros anualmente en 2080 (en función de cuánto aumente la temperatura), según un estudio encargado por la Comisión Europea al Instituto de Prospectiva Tecnológica del Joint Research Center, con sede en Sevilla. El informe constata que "las pérdidas supondrán entre el 0,2% y el 0,5% del Producto Interior Bruto sólo en cuatro sectores", según explica el economista Juan Carlos Ciscar, coordinador del estudio.
España está en la zona más afectada, donde se prevén enormes perjuicios en la agricultura, efectos por el turismo, inundaciones por lluvias torrenciales y daños en las costas por la subida del nivel del mar. El estudio sólo incluye estos sectores. "Si hubiéramos calculado los daños por impactos de tipo catastrófico serían mucho mayores", añade Ciscar. El informe tampoco cuantifica los costes económicos asociados a la pérdida de biodiversidad o al aumento de enfermedades. Por eso el cálculo del golpe es menor que el realizado por el economista británico David Stern en el informe que le encargó el Gobierno británico.
El nuevo estudio, realizado a petición de la Comisión Europea, asegura que la subida del nivel del mar afectará a entre 775.000 y 5,5 millones de personas cada año. Además, la producción agrícola caerá, según estas predicciones, hasta un 10% y las inundaciones ocasionarán daños de entre 7.700 y 15.000 millones al año. Las cifras bailan porque el informe considera distintas posibilidades en función de cómo evolucionen las temperaturas (aumentos de entre 2,6 y 5,4 grados centígrados respeto a la era preindustrial). El estudio es el primero en calcular los daños por regiones y la más afectada es el sur de Europa. "España está en la zona más afectada. Y se ve que cuanto más sube la temperatura mucho mayor es el impacto", explica el coordinador del informe.
"España, Portugal, Italia, Grecia y Bulgaria presentan las mayores pérdidas (...) El impacto del cambio climático es negativo en todos los sectores, con un abrupto empeoramiento en el escenario con mayor aumento de temperatura (5,4 grados centígrados). La agricultura, según este estudio, sufriría los mayores daños, con pérdidas de hasta el 25% de las cosechas y los ingresos por turismo". Además, los ingresos de la región por turismo podrían disminuir hasta 5.000 millones de euros al año. España es un país especialmente vulnerable a la subida de la temperatura al estar en la zona de transición entre Europa y África.
En el centro de Europa los impactos son muy diferentes. Aunque Francia, Austria, la república Checa, Eslovaquia, Hungría y Rumania sufrirían daños por las inundaciones y la subida del nivel del mar, verían aumentar sus ingresos por turismo en 10.000 millones de euros en el escenario con la mayor subida de temperatura.
Como debido al calentamiento global el clima en el Mediterráneo sería demasiado cálido en muchos meses de verano, los turistas se verían obligados a buscar destinos alternativos. Los modelos climáticos predicen para la Península Ibérica un ascenso de las temperaturas máximas de hasta siete grados en verano a partir de 2070. En las Islas Británicas el principal problema sería la subida del nivel del mar, de hasta 88 centímetros. El norte de Europa se vería beneficiada en todos los casos previstos. Los expertos utilizan un "índice de bienestar". "Se trata de medir la satisfacción que produce el dinero. Si uno se gasta el dinero en reparar su casa tras una inundación eso reduce el índice", explica Ciscar. Para los países escandinavos, el estudio prevé mejoras en ese índice debido al aumento de la producción agrícola y aumentos de los ingresos por turismo, entre otros. Aún así, el informe avisa de que el número de personas en riesgo por inundaciones aumentaría en 250.000 personas al año.
Fuente: elmundo.es, 26-11-09
-Récord mundial de personas vivas con VIH
En el mundo hay 33,4 millones de personas que viven con el VIH. Es la cifra más alta jamás registrada. En cambio, el número de nuevos casos ha bajado un 17% en ocho años, según los datos que Onusida hizo públicos ayer. La aparente contradicción es fruto de uno de los mayores éxitos relativos: entre 2003 y 2008 el número de personas que necesitaban tratamiento y lo han recibido ya ha pasado del 3% al 42%, con lo que se evitan fallecimientos (que, aún así, fueron dos millones el año pasado, 100.000 menos que el anterior).
Aún así, los números indican a las claras la tremenda desigualdad con la que los tratamientos se han distribuido. En total, la agencia de la ONU calcula que gracias a los fármacos se han ganado 11,7 millones de años de vida. Pero de ellos, 7,2 millones (el 62%) corresponden a Europa Occidental y América del Norte, es decir, a los países ricos, aunque en ellos viva el 6,7% de los infectados.
Si se elabora un índice de años ganados en cada región por el número de personas infectadas vivas (un dato que sólo sirve como orientación para ver dónde se han concentrado los esfuerzos), se ve claramente el beneficio que han obtenido los países ricos de la medicación: 3,2 años de vida por enfermo. La media mundial está en 0,35. Curiosamente, África subsahariana no está la última, lo que indica que los esfuerzos de las ONG van teniendo su efecto. Por detrás están el Norte de África y Oriente Próximo (una zona con muy baja incidencia) y Europa del Este y Asia central, lo que es mucho más preocupante porque se trata de una de las regiones en las que la epidemia está cambiando su perfil, según destaca la ONU. Si su inicio estaba ligado al consumo de drogas inyectables, ahora ya se extiende por las parejas de los consumidores.
Pero en lo que la ONU (y la Organización Mundial de la Salud, que ha participado en el informe) quieren hacer hincapié es en el avance de las campañas de prevención y educación, que explican que el número de nuevas infecciones haya pasado de los 3,2 millones en 2001 a los 2,7 millones en 2008. De hecho, el grueso del descenso se ha dado en el África subsahariana, donde los nuevos infectados han caído de 2,3 millones en 2001 a 1,9 millones en 2008. Sólo tres regiones experimentan aumentos: Oriente Próximo y Norte de África, Latinoamérica y América del Norte.
En el informe de este año, los organismos sanitarios internacionales muestran -sin decirlo- que tienen claro cuál es la clave. En las 100 páginas del informe no hay ni una mención a la castidad o la fidelidad. En cambio, se centra en la facilidad o no de conseguir preservativos por cada colectivo.
También hay una clara advertencia hacia los hombres que tienen sexo con hombres. En el estudio, que va región a región, se señala cómo en todas las áreas del planeta este grupo está especialmente afectado por la infección. Incluso se aportan datos africanos, un continente en el que, ante el predominio de la transmisión heterosexual, con especial incidencia en las mujeres, el colectivo de quienes tienen siempre o esporádicamente prácticas homosexuales es tradicionalmente ignorado.
Fuente: elpais.com, 25-11-09
Los científicos sospechaban que existían, pero nunca las habían visto antes de esta forma, y mucho menos podían imaginar que eran tan espectaculares. La sonda Cassini ha captado, por primera vez, unas espléndidas imágenes de las enormes auroras boreales de Saturno, las más gigantescas del Sistema Solar y hasta doce veces más grandes de las terrestres. El fenómeno, conocido como las «luces del Norte», es tan brillante que deja a los anillos del planeta como una función de segunda.
|
El vídeo grabado por la Cassini muestra, en alta resolución y en tres dimensiones, cómo estas auroras cambian cada pocos minutos. Las luces alcanzan los 1.200 kilómetros por encima del hemisferio norte del planeta, como una interminable cortina colgada del cielo. «Son un espectáculo deslumbrante. Sabíamos que estaban allí pero es la primera vez que las vemos», ha afirmado Andrew Ingersoll, del Instituto de Tecnología de California (Caltech) en Pasadena, miembro del equipo de la Cassini que obtuvo el nuevo vídeo. Su color, un misterio Las auroras de Saturno aparecen a menudo en las latitudes cercanas a los polos magnéticos del planeta. Cuando las partículas cargadas de la magnetosfera alcanzan la atmósfera superior, comienza el espectáculo. Destacan por su enorme tamaño: alcanzan los 1.200 kilómetros, mientras que las terrestres se quedan entre cien y 500 kilómetros por encima de la superficie. Su enorme altura se consigue gracias a las particulares condiciones de la atmósfera del planeta, compuesta principalmente de hidrógeno. Si las que conocemos ya nos parecen una maravilla, las del sexto planeta del Sistema Solar nos resultarían increíbles vistas desde el terreno. «Me impresionó cuando vi las fotos», asegura Tamas Gombosi, de la Universidad de Michigan en Ann Arbor. La película de la Cassini, un proyecto que depende de la NASA, la Agencia Espacial Europea (ESA) y la Agencia Espacial Italiana, ha recogido 500 imágenes fijas que abarcan 81 horas entre el 5 y el 8 del pasado mes de octubre. Cada foto tiene un tiempo de exposición de dos o tres minutos. Las imágenes fueron obtenidas inicialmente en blanco y negro, pero el equipo científico destacó las auroras en naranja, un color que todavía está por determinar, pues se desconoce el original. En la Tierra, el oxígeno y el nitrógeno contribuyen al colorido verde, rojo y púrpura de nuestras auroras, pero los científicos todavía desconocen el verdadero color de los telones celestes en Saturno, donde la atmósfera carece de estos elementos. Las imágenes ayudarán a los científicos a comprender mejor cómo se generan estos halos fantasmales, que se repiten, aunque con diferentes formas, en la Tierra, Júpiter y otros planetas. |
Una de las auroras captadas por Cassini
|
-Un robot submarino cruza el Atlántico
Como un torpedo pacífico, el primer robot submarino que ha cruzado el Atlántico está ya a sólo unos 300 kilómetros de las costas gallegas y será recibido oficialmente en Baiona el 9 de diciembre tras recorrer 7.500 kilómetros, sin motor y alimentado únicamente por sus baterías. En los últimos días los controladores de este aparato no tripulado teledirigido han tenido que luchar con las complicadas corrientes de esa zona y las altas olas para orientar el robot hacia la costa y mantenerlo al mismo tiempo fuera del alcance del abundante tráfico marítimo de la zona. La próxima semana, un barco de Puertos del Estado, que colabora desde el principio en este proyecto de la Universidad Rutgers y la agencia NOAA , de Estados Unidos, saldrá para recogerlo.

Momento en el que botó el planeador
|
Ruta seguida por el planeador submarino RU27 desde el 27 de abril hasta su entrada en aguas españolas el 13 de noviembre.- PUERTOS DEL ESTADO |
El glider (planeador submarino) entró en aguas españolas el pasado 13 de noviembre tras 225 días de navegación, ya que salió el 27 de abril de la costa del Estado de Nueva Jersey. Es un aparato científico, que tiene como misión recoger datos del océano como la densidad del agua, la salinidad, la profundidad y la temperatura. Cada ocho horas aproximadamente emerge y transmite por satélite los datos recogidos, al tiempo que recibe las órdenes para modificar el rumbo en caso necesario. "Es un acontecimiento histórico que haya conseguido cruzar el Atlántico, significa que ha empezado una nueva era en la exploración de los océanos", comenta Enrique Álvarez Fanjul, de Puertos del Estado. "En el futuro veremos flotas de estos minisubmarinos por todas partes, que recogerán continuamente datos de forma cómoda y precisa". Estos datos ayudarán, entre otras cosas, a conocer mejor el papel de los océanos en el cambio climático. Vigilarán el calentamiento del agua, que está relacionado con el nivel de mar, algo muy importante para diversos sectores socioeconómicos, y especialmente para las infraestructuras portuarias. Hay quien avanza que estos robots serán también un nuevo modo de transporte, ya que son vehículos no contaminantes, de los que se recupera todo. Este es el segundo intento de que un planeador cruce el Atlántico. En el primer intento, justo hace un año, el glider se perdió por las islas Azores, seguramente porque le entró agua.
|
|
El robot se llama RU27, conocido también como El caballero escarlata, mide 2,4 metros y pesa 60 kilos. Se alimenta de sus baterías, y sus aletas le permiten planear y aprovechar las corrientes del océano. De hecho, la velocidad media del planeador ha sido de 15 centímetros por segundo y cuando llegó a aguas españolas había consumido apenas el 60% de la carga de las baterías, informan fuentes del proyecto. También dispone de sensores para evitar el choque con barcos. Para emerger y sumergirse, hasta 200 metros de profundidad, el planeador se basa en los cambios de flotabilidad, que se generan por un mecanismo de pistón, informa la universidad. Así cambia el volumen del planeador y por tanto su densidad, que se hace mayor o menor que la del agua circundante. Cuando inicia el descenso la cámara reduce su capacidad y la densidad aumenta, por lo que se hunde. Las alas le proporcionan sustentación para controlar el descenso y las baterías se pueden desplazar en el interior para cambiar la posición del centro de masa. Entonces recoge datos a través de sus sensores, como la salinidad, la profundidad, el oxígeno disuelto o dirección de las corrientes. Al llegar a la profundidad programada, la cámara vuelve a su capacidad máxima. El volumen aumenta, la densidad disminuye y comienza el ascenso. En la actualidad se han fabricado ya un centenar de unidades de estos planeadores, que construyen tres empresas de Estados Unidos, entre ellas Webb Research. Los científicos e ingenieros las adaptan para sus objetivos. En España, el Instituto Mediterráneo de Estudios Avanzados, utiliza cuatro de estos vehículos para sus investigaciones en el Mediterráneo. Una nueva generación experimental se está desarrollando para ahorrar batería aprovechando las diferencias térmicas en el agua. Los responsables del proyecto escogieron Baiona para la ceremonia de recogida de esta nueva carabela porque fue el primer lugar, con la llegada de La Pinta en 1493, en el que se conoció el Descubrimiento de América. Irán a recibirlo cerca de 40 científicos norteamericanos y se espera poder retransmitir el acto en directo. Allí estarán, entre otros, Jerry Miller, responsable de la Oficina de Ciencia y Tecnología de la Casa Blanca, Richard Spinrad y Jane Lubchenco, responsables de la NOAA, y Dean Goodman, de la Universidad Rutgers. Seguramente El Caballero Escarlata terminará sus días expuesto en el Museo Smithsonian de Estados Unidos junto a otros vehículos pioneros. En el proyecto han participado también organizaciones de Irlanda, Canadá, Reino Unido y Noruega. En España tienen el apoyo del Ministerio de Fomento a través de Puertos del Estado y de la Dirección General de la Marina Mercante, así como de la Universidad de Las Palmas. El interés de esta tecnología emergente es evidente, explican en Puertos del Estado, ya que es de aplicación directa en diversos sectores socioeconómicos y, muy particularmente, será de utilidad a las autoridades portuarias. El conocimiento de la evolución del nivel del mar es un dato imprescindible para el diseño de infraestructuras portuarias, y éste depende, en gran medida, del contenido calórico del océano, pues el agua se dilata al aumentar su temperatura. Estos robots servirán para tener datos más precisos de este fenómeno. Por otro lado, los resultados obtenidos servirán para verificar y mejorar los modelos de circulación marina desarrollados por este organismo público. |
Botadura del planeador RU27 en New Jersey.- RUTGERS UNIVERSITY
|
Fuente: elpais.com, 25-11-09
-¿Nuevas evidencias de vida en un meteorito marciano?
|
|
Un meteorito encontrado en la Antártida se hizo mundialmente famoso en 1996 cuando la NASA y la Casa Blanca hicieron público de forma conjunta un extraordinario descubrimiento. En la piedra, de 13.000 años de antigüedad y proveniente de Marte, aparecían posibles huellas de vida extraterrestre. El hallazgo del meteoro, conocido como Allen Hills 840001, suscitó entre los astrobiólogos un intenso debate que ha llegado hasta nuestras días sin una respuesta definitiva. ¿De verdad esconde la roca evidencias de una vida microscópica llegada del Planeta Rojo? Una nueva investigación realizada por el mismo equipo que la analizó por primera vez asegura que sí. La NASA podría realizar algunas declaraciones al respecto dentro de pocos días, según publica la web especializada Spaceflight now. El Allen Hills se formó hace unos 4.000 millones de años como parte de la corteza original de Marte. Pasado el tiempo, se desprendió de la superficie, posiblemente por el choque de otra roca, y comenzó un viaje de 16 millones de años por el espacio que terminó en nuestro planeta en una lluvia de meteoritos hace 13.000 años. En 1984, fue hallado por científicos norteamericanos que formaban parte de una misión gubernamental a la Antártida en busca de meteoritos. Las pequeñas marcas encontradas en su superficie fueron objeto de una agria polémica. Los descubrimientos iniciales, dados a conocer por el propio presidente Clinton en agosto de 1996, apuntaban a estructuras microfósiles dejadas por organismos vivos, posiblemente bacterias. Pronto surgieron detractores, que criticaron duramente la investigación. Negaban tajantemente un origen biológico y achacaban las marcas a cambios de temperatura en la roca. |
Sorprendente revelación
|
En esta ocasión, los investigadores del Centro Espacial Johnson han utilizado un microscopio electrónico de alta resolución, mucho más avanzado que el que se empleó hace trece años. Los sensores han analizado los cristales de magnetita que forman pequeñas estructuras, como collares de perlas, muy parecidas a las que dejan algunas bacterias terrestres. Al parecer, los nuevos datos apuntan a rastros biológicos de criaturas microscópicas que podrían haber habitado las balsas de agua de la superficie o del subsuelo del planeta Rojo. Los hallazgos han sido publicados en la revista Geochimica et Cosmochimica Acta, de la Sociedad de la geoquímica y meteoritos. De confirmarse, el descubrimiento supondría una de las revelaciones más sorprendentes sobre el Universo, una revolución para la ciencia y un espaldarazo al programa de misiones espaciales de la agencia espacial norteamericana, tan cuestionado por falta de fondos.
Fuente: abc.es, 25-11-09 |
El meteorito Allen Hills / NASA |
-De cómo Google podría dejar de dominar el mundo
El empresario editorial Rupert Murdoch se ha pasado los últimos meses asegurando que el buscador de Internet Google está arruinando el negocio de los diarios en la Red, y ahora se ha marcado el objetivo de acabar con este problema. Pero su propuesta, aseguran los analistas, es una lotería, y podría perjudicar a News Corp en lugar de ayudarlo.
|
Murdoch está planteándose eliminar las noticias de todas sus publicaciones de los resultados de búsquedas de Google. Es decir, que cuando un usuario busque una información en el motor de búsquedas más popular de la Red, nunca acceda a una noticia de sus publicaciones, como The Wall Street Journal, New York Post, The Times, The Sun o Daily Telegraph, entre otras muchas. Sin embargo, el empresario está en conversaciones con Microsoft para colgar sus informaciones en el motor de búsquedas Bing. Por este "privilegio", la compañía de Redmond tendría que abonar una cantidad a News Corp, aunque ninguna fuente ha aclarado en qué condiciones, ni cuánto. Si Murdoch tiene éxitoSi lo que Murdoch está pergeñando funciona y tiene éxito seguro que será seguido por otros editores de diarios que buscan la manera de hacer caja con sus publicaciones en la Red, en un momento en que el negocio de las publicaciones de papel está disminuyendo e Internet es sinónimo de "todo gratis". Pese a la idea que tienen muchos usuarios, Google es principalmente una empresa de anuncios. Su mayor fuente de ingresos es el negocio de la publicidad en su buscador y los propietarios de diarios están resentidos con que Google se lleve dinero por los anuncios que despliega junto a los resultados de búsquedas de noticias. La propuesta de News Corp es una manera de obtener algún dinero a cambio de ofrecer sus noticias en un buscador. Sin embargo, el riesgo es enorme, ya que ignorar el tráfico de visitantes que genera Google supone una enorme reducción en el número de lectores. La caída de lectores supondría la destrucción de los ingresos por publicidad, de los cuales depende la mayoría de las páginas web de noticias. "Estás cortando inmediatamente la audiencia", señalóJeff Jarvis, propietario de un blog de medios de comunicación y autor del libro ¿Qué haría Google?. Google lleva hasta un 14% del tráfico entrante a los sitios de noticias de News Corp, según ha estimado el analista Jeffrey Lindsay, de Bernstein. "Si News Corp bloquea el acceso de Google solo perjudicaría a News Corp", asegura. |
Fotografía de archivo del 24 de noviembre de 2008 que muestra al magnate de los medios, el australiano Rupert Murdoch. EFE/Archivo - EFE |
Muchos internautas encuentran siempre las noticias que quieren leer a través del buscador de Google, que tiene el 65% del mercado de búsquedas de Estados Unidos, según comScore. Los editores de diarios cuyas páginas web dependen de la publicidad lo que quieren son muchos visitantes, y, así, necesitan el tráfico que llega desde los buscadores. Google tiene además su propio buscador de noticias, Google News, que provee un directorio de noticias que se actualiza constantemente y que genera cerca de 100.000 enlaces a páginas web de noticias por minuto, según las cifras de Google. "Cada una de esas visitas ofrece una oportunidad de negocios para que los editores muestren sus contenidos y su publicidad, logren lectores leales y vendan sus servicios", aseguran desde el buscador.
Hacer que las noticias de las publicaciones de News Corp solo salgan en el motor de búsquedas de Mircrosoft, Bing, sin duda recortaría el número de visitantes a esas informaciones y reduciría la facturación por publicidad de esos sitios. Sin embargo, si la diferencia de lo que pague Microsoft compensa a la compañía, la fórmula resultará un éxito. Y la compañía de Windows pagará más o menos en función de cómo aumente el número de usuarios de Bing, y por tanto también aumenten sus ingresos por publicidad en el buscador.
Sin embargo, hay pocas posibilidades de que los internautas abandonen Google, cuya imagen de marca se ha convertido en sinónimo de Internet e incluso en un verbo en inglés. "Los consumidores no esperan que los resultados de búsqueda en los motores sean exclusivos", asegura el analista de Forrester, Shar VanBoskirk. "Si quieren buscar algo y no aparece en su buscador de referencia, para los internautas simprlemente será como si no existiera", agregó.
Microsoft tiene una participación del mercado de búsquedas en Estados Unidos del 10%, según comScore. Sin embargo, algunos accionistas están preocupados porque Microsoft pague demasiado dinero por este "privilegio". Además, podría haber una investigación del Gobierno estadounidense sobre el posible acuerdo de exclusividad entre News Corp y Microsoft, o algún tipo de medida conjunta por parte de otros editores de noticias, empresas de Internet o consumidores. De momento, fuentes cercanas al diálogo entre ambas compañías han insistido en que las conversaciones hasta ahora "son ideas, nada más".
Fuente: publico.es, 25-11-09
-De humanoides a robots industriales en la mayor feria mundial de Tokio
Un robot capaz de reconocer a su creador, brazos electrónicos para ensamblar a velocidad de vértigo y hasta un humanoide que juega al ping pong: lo último en robótica se muestra desde hoy en Tokio en una feria en la que participan casi 200 empresas.
|
|
La Exposición Internacional de Robots, que
se celebra cada dos años en el centro Tokyo Big Sight, es la mayor cita
mundial de un sector abanderado por Japón, país del que salen la mitad de
los robots industriales del mundo. Como no podía ser de otro modo, un robot
humanoide fue el encargado de cortar la cinta de acceso al recinto, que
presentaba un aspecto digno de una película de ciencia ficción. Decenas de
robots, la mayoría destinados a procesos industriales, exhibían sus
aptitudes ante el numeroso público, mientras representantes de las 192
empresas participantes explicaban orgullosos sus características y las
mejoras de los ingenios electrónicos. Firmas como Toshiba o Mitsubishi, al lado de nombres menos conocidos como Anybots o ABB, llevaron a la capital nipona desde enormes máquinas para realizar procesos de automoción hasta minúsculos aparatos teledirigidos para operaciones de precisión. Entre los que más llamaron la atención en la primera jornada de la feria estuvieron los robots humanoides, que en los últimos años han mejorado su "vista" y "tacto" gracias a los avances en óptica digital y al desarrollo de sensores eléctricos. |
|
De los laboratorios de la nipona Kawada Industries, por ejemplo, ha salido "Hiro", un artefacto con cámaras en los ojos y en las palmas de las manos, capaz de reconocer colores y formas y que se mueve gracias a un sistema operativo de tiempo real.
"Hiro", gracias a estas características, "es capaz de identificar un rostro", explicó a Efe uno de sus creadores, Maksim Radev, mientras el robot le clavaba la mirada y seguía atento cada uno de sus movimientos.
"Hiro" mide poco más de metro y medio, pesa 70 kilos y es capaz de sostener 20 kilos sobre sus brazos y agarrar objetos de hasta dos kilos con cada mano.
"Se puede controlar fácilmente utilizando el Windows XP, lo que lo hace muy accesible", añadió Radev, que precisó que este robot no tiene uso industrial, al contrario que su compañero "New Age", de apariencia similar.
Otra compañía, Anybots, exhibe un robot teledirigido, poco mayor que un aspirador doméstico, pensado para actuar como un "supervisor" a distancia en la era de la deslocalización.
"El robot puede estar por ejemplo en una fábrica en Japón mientras desde el otro lado del mundo alguien en el departamento de producción lo dirige y puede ver cómo va la producción a través de los ojos del robot", indicó a Efe Daniel Casner, uno de sus creadores.
Si bien muchos de los ingenios son para uso industrial, su presencia en otros ámbitos es cada vez mayor: según la Asociación de Robótica de Japón, se calcula que el mercado para los robots dedicados al sector servicios supondrá 15.000 millones de dólares en 2015. Así, en la feria se enseñaron ingenios como el Robot Ping Pong, un androide que casi siempre gana, o "Herby", un muñeco con forma de bebé pensado para que los ancianos lo estrechen contra su pecho, lo que permite que los sensores que el muñeco tiene implantados le midan el pulso e incluso realicen un electrocardiograma. También se mostró la versión mejorada de "Paro", una foca de peluche llena de sensores que le permiten comportarse como si fuera un animal real, moviéndose, emitiendo sonidos y reaccionando a estímulos. Ese robot tiene un fin "terapéutico y pediátrico", según sus creadores, que afirman que la foca-robot aumenta la capacidad de comunicación de sus poseedores y reduce el estrés. Está previsto que, al término de la feria, se conceda el galardón al Robot del Año, un premio que en el pasado han obtenido inventos como un ingenio capaz de limpiar un edificio de oficinas moviéndose de piso en piso o un mini-robot de apenas 15 centímetros capaz de realizar hasta 200 acciones.
Fuente: elmundo.es, 25-11-09
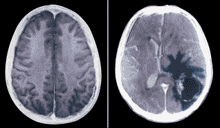
-Ensayan una vacuna celular personalizada contra los tumores cerebrales
La Clínica Universidad de Navarra ha iniciado un ensayo clínico para valorar la eficacia de un tratamiento de inmunoterapia que consiste en la aplicación de vacunas personalizadas, producidas con células sanas y tumorales del propio paciente, dirigido a tratar glioblastomas, uno de los tumores cerebrales malignos "más agresivos y frecuentes".
La nueva terapia se administra a los pacientes combinada con el tratamiento estándar para tratar esta clase de tumores que consiste en la extirpación quirúrgica del tumor seguida de la administración de radioterapia y quimioterapia con temozolomida, según explicó en rueda de prensa uno de los especialistas encargados del estudio José Javier Aristu. Este nuevo tratamiento está dirigido a pacientes recién diagnosticados de glioblastoma o con sospecha de sufrirlo.
|
|
El médico especializado en Oncología Radioterápica destacó que la Clínica Universidad de Navarra es actualmente el único centro español que realiza un estudio de estas características para el que ha recibido autorización de la Agencia del Medicamento del Ministerio de Sanidad. Según manifestó, a nivel mundial menos de 200 pacientes han sido tratados con estas vacunas, que tienen como objetivo "enseñar a los linfocitos a lucha contra los restos del tumor". El glioblastoma es el tumor
cerebral maligno "más frecuente" y "agresivo". El neurocirojano Ricardo
Díez Valle recalcó que es un tumor "muy maligno" que "crece muy rápido",
a pesar de detectarse con "claridad". Este tumor presenta una incidencia
aproximada de 6 casos por cada 100.000 habitantes al año, lo que
significa que en España se producen, anualmente, más de 2.400 nuevos
afectados. Los especialistas encargados del ensayo destacaron que en la actualidad no existe un tratamiento "eficaz" para esta clase de tumores cerebrales, por lo que se convierte "en uno de los diez tumores causantes de mayor número de muertes al año". Los pacientes que tienen un glioblastoma y han sido tratados mediante el procedimiento estándar presentan una media de supervivencia de entre 12 y 15 meses. |
Sin embargo, sostuvieron, en alguno de los "escasos" estudios efectuados en el mundo, en los casos tratados con inmunoterapia "la media de supervivencia supera los 30 meses". Así, defendieron que el sistema inmunitario de cada persona es "capaz de reconocer y destruir células tumorales".
El nuevo tratamiento que ensaya actualmente la CUN intenta que las células dentríticas del propio paciente, que son las encargadas de dirigir y coordinar la inmunidad del organismo, "sean cargadas con parte del tumor extirpado" para que "activen a las células del sistema inmune y dirijan las defensas del organismo contra los restos de tumor en el momento en que las células tumorales son más escasas, es decir, tras la extirpación del tumor y la aplicación de radio-quimioterapia".
El
objetivo es que, una vez extirpado el tumor, la vacuna elimine la masa tumoral
restante, como máximo de un centímetro cúbico, y que el sistema inmune
ataque asimismo a las células tumorales que se han dispersado en el cerebro y
podrían provocar recidivas, ya que, según precisaron los facultativos,
"aproximadamente un 90 por ciento de los glioblastomas se reproducen una vez
extirpada la masa tumoral, lo que precisa el desarrollo de nuevas estrategias
complementarias a las tradicionales de quimio y radioterapia".
Una treintena de pacientes
El ensayo se realizará a un total de 37 pacientes, de los cuales uno de ellos será operado quirúrgicamente el próximo viernes para extirparle el tumor. Asimismo, la Clínica Universidad de Navarra ha comenzado a aplicar ya esta vacuna a cinco pacientes "compasivos". Los resultados del ensayo, explicaron los especialistas, se conocerán "pronto" en un año y medio o dos años cuando previsiblemente "se conocerán datos preliminares" al ser tumores que "se reproducen con facilidad".
En total, por cada paciente se prevé la producción de unas doce vacunas celulares personalizadas elaboradas en el Laboratorio de Terapia Celular. Durante el tiempo que se prolongue el tratamiento, las vacunas se conservan congeladas en el propio laboratorio.
El tratamiento habitual de estos tumores comprende la extirpación por cirugía, seguida de un tratamiento de radioterapia combinada con quimioterapia de cinco semanas de duración y a continuación entre seis y doce ciclos de quimioterapia (administrados cada cuatro semanas). Las vacunas celulares se administran por vía intradérmica simultáneamente con estos tratamientos, al principio una vez al mes, después cada dos meses y las últimas dosis, cada tres meses.
Los especialistas aseguraron que se trata de un tratamiento "seguro" y destacaron que en los pocos pacientes tratados con esta vacuna "no se ha registrado ninguna complicación grave". Según manifestaron, es un tratamiento "con muy poco riesgo" que "tiene ventajas respecto a la otra línea que se investiga para tratar los tumores, la quimioterapia".
Fuente: abc.es, 24-11-09
-La mejor candidata a proto-enana marrón
Las enanas marrones
son a menudo denominadas "estrellas fallidas". Se cree que nacen de las nubes
interestelares mediante procesos muy parecidos a los de las estrellas normales,
pero carecen de la masa suficiente como para encender reacciones nucleares en su
interior. Por eso no pueden ser consideradas verdaderas estrellas, y de hecho
algunas de sus características recuerdan a las de los planetas gigantes.
Descubrir proto-enanas marrones; es decir, enanas marrones en sus estados
iniciales de evolución, es esencial para determinar su verdadero mecanismo de
formación y entender sus propiedades. Un reciente estudio, que hace uso de datos
en muy distintas bandas del espectro electromagnético, desde el óptico hasta el
rango de las radioondas, y que han sido tomados tanto con telescopios en órbita
como desde tierra, ha encontrado la mejor candidata a proto-enana marrón
conocida hasta la fecha.
La primera enana marrón fue descubierta en 1995. Mucho hemos aprendido desde
entonces, pero el mecanismo o mecanismos de formación todavía es algo
fuertemente debatido. El proceso que dirige el nacimiento de una enana marrón
parece estar relacionado con el que gobierna el nacimiento de una estrella
normal, pero desconocemos gran parte de los detalles. Estrellas y enanas
marrones evolucionan muy rápidamente en sus primeros estadios, lo que dificulta
capturar con precisión su desarrollo inicial. Y la dificultad aumenta debido a
que los objetos extremadamente jóvenes están todavía inmersos en las nubes de
gas y polvo que les proveen del material de condensación. Es lo que se denomina
objeto de Clase 0 o I en el esquema clásico de evolución de los jóvenes objetos
estelares.
![]() |
Una reciente investigación liderada por David Barrado y
Navascués (LAEX-CAB, INTA-CSIC) ha identificado la mejor candidata a proto-enana
marrón conocida hasta la fecha. La búsqueda se inició con el análisis de los
datos obtenidos mediante el telescopio espacial de infrarrojos Spitzer. Se
rastrearon cuerpos de luminosidad potencialmente baja (más débiles que la
décima parte de la energía solar), que todavía estuvieran dentro de las
zonas densas de las nebulosas. De este trabajo surgió una lista preliminar
de candidatos. Como se afirma en este trabajo, "nos damos cuenta de que
avanzamos por territorios sin explorar, y que la contaminación por fuentes
extragalácticas o estrellas extinguidas pueden simular las propiedades de un
potencial objeto sub estelar". Por eso "se llevó a cabo un exhaustivo
análisis en diferentes rangos espectrales". El objeto, conocido como SSTB213 J041757, está situado
en la constelación de Tauro, dentro de la nube oscura Barnard 213, a una
distancia de 450 años-luz (140 parsecs). La imagen de CAHA muestra que es un
objeto doble, y cada uno de cuyos componentes es compatible con la condición
de proto-enana marrón de Clase I, u objeto joven cubierto por una envoltura
de polvo y gas. |
Varias conclusiones se derivan de este trabajo. En relación con los mecanismos
de formación, los investigadores constatan que "si estamos realmente ante una
proto-enana marrón, las observaciones sugieren claramente que no se formó en el
entorno de la eyección, sino de una manera similar a como lo hacen las estrellas
poco masivas".
Trabajo y otras muchas observaciones serán necesarias para encontrar otras
candidatas a proto-enana marrón, así como para clarificar definitivamente la
naturaleza de estos primeros ejemplos. En esta línea, sólo cabe esperar de este
equipo de investigación nuevos e impactantes descubrimientos para el próximo
futuro. GTC y su instrumentación, especialmente CanariCam, ocuparán un lugar
privilegiado en este proceso.
La investigación que aquí se ha descrito brevemente ha sido aceptada para su
publicación por Astronomy and Astrophysics y ha sido fruto de una colaboración
internacional originada a partir de un programa PRICIT de la Comunidad de
Madrid. El artículo está firmado por D. Barrado y Navascués, M.
Morales-Calderón, Aina Palau, A. Bayo, N. Huélamo (LAEX-CAB, INTA-CSIC), I. de
Gregorio-Monsalvo y L. Schmidtoreick (ESO), C. Eiroa (UAM), H. Bouy (IAC y ESA),
y Ó. Morata (Academia Sinica & NTNU).
La imagen muestra dos objetos muy rojos envueltos en una capa de material muy
frío. El análisis de sus características indica que serían enanas marrones muy
jóvenes. Estos objetos subestelares comparten algunas de las propiedades de las
estrellas y de los planetas. Son menos masivas que aquéllas, y por tanto
incapaces de generar energía de maneta estable a partir de reacciones nucleares
en su interior, pero más masivas que los planetas, aunque su apariencia es
bastante similar en múltiples casos. Cuando se están formando son aun más rojos,
al presentar excesos infrarrojos debido a la presencia de una cantidad
significativa de gas alrededor.
Los dos objetos mostrados en la imagen podrían ser las primeras enanas marrones
detectadas durante los primeros momentos de formación, cuando aun están
embebidas en la envoltura primordial. Han sido localizadas en la región de
Taurus-Auriga, una región de formación estelar cercana, y podrían ser esenciales
para dilucidar si las enanas marrones se forman como estrellas o como los
planetas. Los datos ahora indican que la primera vía sería la correcta.
La imagen está compuesta por datos adquiridos por tres telescopios diferentes.
Las observaciones infrarrojas (bandas J y K, centradas a 1.3 y 2.2 micras) están
tomadas desde el observatorio de Calar Alto, en España, y se destacan por los
colores azules. Del telescopio espacial Spitzer proceden las imágenes del
infrarrojo medio: 4.5 micras en verde, 8.0 micras en amarillo, y 24 micras en
rojo. Finalmente, el mapeado del radiotelescopio Caltech Submillimeter
Observatary a 350 micras se muestra en púrpura. Crédito NASA/JPL-Caltech/D.
Barrado (LAEX-CAB/INTA-CSIC).
Fuente: CSIC,
24-11-98
-Las partículas circulan en el LHC una vez más
Oficialmente se ha puesto en marcha hoy el LHC. Durante el fin de semana ya empezaron a circular alrededor de los 27 kilómetros de tubos que forman el circuito circular del Large Hadron Collider (LHC) los primeros rayos protónicos. Se espera conseguir la colisión entre partículas que libere la mayor cantidad de energía que se haya podido realizar artificialmente.
|
|
Steve Myers, director del acelerador, declaró que los primeros tres días los ensayos fueron todo un éxito. Desde septiembre del año pasado, la máquina no funcionaba. Se había averiado por un fallo en la conexión entre dos superconductores magnéticos. 14 meses más tarde, después de hacer las reparaciones y comprobaciones oportunas en todo el sistema para evitar errores similares, el LHC ha vuelto a funcionar. Los investigadores introdujeron las partículas el pasado mes, pero no fue hasta este fin de semana cuando empezaron a ponerse a dar vueltas alrededor del circuito. Durante algunas horas los protones han dado vueltas alrededor de la máquina en paquetes ordenados con mucha precisión en distintos pulsos. Los científicos que trabajan en este ingenio del CERN instalado en Suiza, están muy contentos después del varapalo del año pasado. De momento la máquina no está a pleno rendimiento y se espera que los haces de partículas alcancen una energía suficientemente grande dentro de al menos 10 días. En ese momento se podrán producir las primeras colisiones. Será en diciembre cuando tengamos los primeros resultados del LHC y en 2010 habrá las partículas se desplazarán a la suficiente velocidad como para registrar las nuevas partículas entre los escombros de las colisiones. |
Fuente: Nature, 24-11-09
-150 años de "El Origen de las Especies"
|
El padre de la Teoría de la Evolución, Charles Darwin. | AP |
La copia fue comprada por la familia de los actuales propietarios por "unos pocos chelines" a finales de la década de 1960 y principios de 1970, según ha informado la casa de subastas. Sólo se dieron cuenta de que poseían un ejemplar tan valioso cuando reconocieron una foto del lomo de otra primera edición de la obra en una muestra sobre Darwin. Por su parte, la organización English Heritage (Patrimonio Inglés) y la propia familia del naturalista británico ha aprovechado la ocasión del 150º aniversario de 'El Origen de las Especies' para denunciar la desaparición de un cuaderno original de Darwin que al parecer fue robado de su casa, Down House, entre los años 70 y 80, y que no ha podido encontrarse. Este cuaderno incluía anotaciones sobre tortugas y aves que Darwin observó en las Galápagos que resultaron cruciales para la elaboración de la teoría del origen de las especies. "Este cuaderno tiene un valor extraordinario para la historia de la ciencia. Si Darwin no hubiera planteado las preguntas que se hizo en este cuaderno, quizás nunca hubiera escrito 'El Origen de las Especies'", ha explicado su tataranieto, Randal Keynes, en declaraciones a la BBC. "Nuestra familia siempre ha pensado que los manuscritos y objetos originales de Darwin deberían estar todos en su casa de Down para que el público pueda verlos", recalca Keynes.
|

Ejemplar de la primera edición de "El Origen de las Especies"
En 'El Origen de las Especies', el mítico naturalista inglés describió su teoría de la selección natural, que constituye la base de la biología moderna. La obra, cuyo título original completo es 'Del origen de las especies por medio de la selección natural, o la preservación de las razas favorecidas en la lucha por la existencia', fue el resultado de diversas pruebas que Darwin acumuló a bordo del 'HMS Beagle', en un viaje alrededor del mundo que duraría casi cinco años.
Entre las actividades organizadas en España para celebrar este aniversario destacan las exposiciones 'Darwin vive. Un hombre tranquilo y su revolución', que organizan hasta enero de 2010 el Museo de la Ciencia de Valladolid y la Fundación Española para la Ciencia y la Tecnología, y 'Los libros de Darwin en España', que acogerá hasta ese mismo mes el Museo Nacional de Ciencias Naturales de Madrid.
El Museo de Ciencias Naturales celebra también este martes una lectura continuada de 'El origen de las especies', con la participación de todos los visitantes que lo deseen y de destacados científicos e historiadores de la ciencia. Los asistentes recibirán un pin de Darwin como obsequio.
Fuente: elmundo.es, 24-11-09
-El fin del mundo será otro día: las profecías de las que se ríe la ciencia
Desde principios de los tiempos han sido muchos los que han pronosticado el fin del mundo, cada cual con un final distinto, pero siempre a lo grande, con cielos que se abren, explosiones atómicas o meteoros que se estrellan contra la Tierra. Temores como estos resurgen cada pocos años, en algunos casos acompañados de teorías pseudoreligiosas o pseudocientíficas, que a los dos bandos recurren los apocalípticos para elaborar sus estrafalarios augurios. El caso es que las fechas previstas por estos agoreros han pasado sin pena ni gloria, como otro día cualquiera, desde el año 800 en el que el Beato de Liébana pronosticó su Apocalipsis hasta la más reciente, hace poco más de un año, de la puesta en marcha del Gran Acelerador de Hadrones (LHC) en Ginebra. Por cierto, prepárense porque, que se sepa, aún quedan dos finales por llegar: el que causará la misma «máquina del Big Bang» cuando se ponga en marcha de nuevo a toda potencia en enero y, por supuesto, el que algunos pronostican para 2012 en una curiosa interpretación del final del calendario maya. No digan que no les habíamos advertido.

Estas son algunas de las hecatombes más famosas a las que hemos sobrevivido, aunque seguramente el lector podrá añadir algunas más que tenga en su memoria:
-La Mir caerá sobre París y se desatará una oleada de desastres: Pasar de 1999 al año 2000 no podía ser algo ordinario. Además de los efectos perversos que el salto de centuria pudiera tener en los ordenadores -instituciones y empresas se prepararon para el acontecimiento-, el mundo se enfrentó a una profecía impresionante que tiene su origen en las teorías de Nostradamus. El excéntrico modisto Paco Rabanne cambió las telas y las agujas por una bola de cristal y advirtió a la Humanidad de que la vieja estación espacial rusa Mir iba a caer sobre la ciudad de París el 11 de agosto de 1999, fecha que coincidía con el último eclipse total del milenio. A partir de ahí, se sucederían una serie de desastres que conducirían sin remedio al fin de los tiempos. ¿Recuerda que hizo ese día? A no ser que algo importante de índole personal ocurriera en su vida, ese 11 de agosto no se diferenció demasiado de cualquier otro día del verano. El diseñador hizo un ridículo espantoso al que luego intentó quitar hierro, pero su reputación había quedado tocada sin remedio.
-El triste caso de La Puerta del Cielo: Si podemos tomar a chufla las declaraciones de Rabanne -al fin y al cabo el mayor perjudicado fue él mismo- esta historia es realmente trágica. En 1997, 39 miembros de la secta La Puerta del Cielo se quitaron la vida en la mansión en la que residían en San Diego (California) para que los extraterrestres llevaran sus almas a una nave espacial y evitar así el Armagedón que pronto caería sobre la Tierra. «Prefiero apostar en perder el autobús hacia el cielo que quedarme en este planeta y arriesgarme a perder mi alma. No hemos muerto, simplemente nos hemos mudado de este vehículo que es nuestro cuerpo», declaraba uno de los líderes en un cinta previamente enviada a la cadena de noticias CNN. Esta locura colectiva tuvo imitadores. Meses después, en Canarias, la Policía evitó que 34 adeptos de un grupo pseudorreligioso se suicidaran en el Teide, donde esperaban que les recogiera una nave espacial para salvarlos del fin del mundo.
-Un meteorito chocará contra la Tierra: Esta es una de las profecías más habituales y uno de los temores más extendidos en lo que el astrobiólogo David Morrison, un experto de renombre mundial en el sistema solar, denomina «cosmofobia», un miedo sin fundamento a los fenómenos que ocurren en el Universo. El italiano Giorgio Bongiovanni alertaba de que un meteorito chocaría contra nuestro planeta en 1991... porque se lo habían comunicado Jesús y la Virgen. Sus teorías aún circulan por distintas webs de dudoso gusto.
-El aviso del cometa Halley: El Halley dio muchísimo de sí a los predicadores del fin de los tiempos. Su paso cerca de la Tierra en 1986 fue interpretado por los amigos de lo oculto como una señal de que pronto íbamos a enfrentarnos al juicio de los juicios. El peruano Sixto Paz, una especie de visionario, calculó en su día que la sarracina mundial se produciría a causa de una gran guerra atómica. En el cielo, el cometa Halley -¿qué demonios tendrá que ver con la bomba atómica?- sería el aviso del sacrificio humano. ¿El resultado? Han pasado más de veinte años...
-¿Que la vida sigue después del día señalado? Pues cambiamos la fecha: Es una estrategia común entre los más desfachatados. Si el fin del mundo no llega cuando lo has previsto, dices que será otro día y tan frescos. Después de leer la Biblia a su manera, William Miller, fundador de la Iglesia Adventista del Séptimo Día, propuso el epílogo para el 21 de marzo de 1843. Ese día debió de notar algunas miradas suspicaces, así que trasladó un segundo final al 22 de octubre de 1844. No fue el único que se divirtió con un baile de fechas. Los Testigos de Jehová han tenido ya varios apocalipsis (1874, 1914, 1918, 1925, 1940 y 1975). Lo mismo ha ocurrido con los agoreros del LHC, como veremos más adelante.
La Edad Media fue una época rica en predicciones fatalistas a partir de la interpretación de la Biblia. Beato de Liébana eligió el año 800; Arnaldo de Vilanova, 1370... Se inició así una carrera de fracasos que ha llegado hasta nuestros días. El mundo se enfrenta ahora a dos posibles y absurdos finales. Uno ya lo conocemos, y lo más probable es que cuando llegue ocurra lo mismo que ocurrió hace un año: nada. Se trata del miedo que algunos sectores poco informados tienen al LHC. Un grupo internacional denominado ConCERNed incluso lo ha denunciado ante la ONU porque considera que la máquina puede crear un agujero negro que engulla el planeta entero. Ahí es nada. Si todo marcha como está previsto, nos reiremos del tema a principios de 2010, cuando el ingenio, si hay suerte, consiga recrear un «Big Bang» en miniatura.
El segundo final, por si el primero le viene mal, es de película: el de diciembre de 2012. Ya saben, esa interpretación libre del calendario maya sobre la hecatombe que Hollywood y otros interesados se han encargado de engordar en diferenes webs de marketing viral. Vaya preparando su agenda y no haga demasiados planes.
Fuente: abc.es, 24-11-09
-Un nuevo mapa de Marte defiende la idea de un antiguo gran océano
Un planeta con una enorme extensión de valles y la huella de un único e inmenso océano que cubría todo el hemisferio Norte. Así aparece Marte en un nuevo mapa más completo y preciso que han desarrollado científicos de la Universidad Nothern Illinois y del Instituto Lunar y Planetario de Houston (EE.UU.). La técnica utilizada para cartografiar el terreno marciano también revela similitudes entre los sistemas montañosos marcianos y los terrícolas.
![]() |
Un detalle del nuevo mapa |
Los investigadores han utilizado un innovador programa informático para crear este nuevo mapa global de los valles marcianos que viene a completar el único existente hasta ahora, creado en los años 90. Una de las principales conclusiones del nuevo estudio es que estas redes de valles son hasta 2,3 veces más grandes de lo que se creía. Entre el ecuador y las latitudes de la mitad sur, los valles forman un cinturón muy marcado, lo que, según los expertos, resulta coherente con un escenario climático pasado que incluyera precipitaciones y la presencia de un gigantesco océano cubriendo una gran parte del hemisferio norte de Marte.
Como en la Tierra
La red de valles de Marte muestra algunas similitudes con los sistemas de ríos de la Tierra, lo que sugiere que el planeta rojo fue más cálido y húmedo que en el presente. Sin embargo, dado que las redes fueron descubiertas en 1971 por la sonda Mariner 9, los científicos han debatido si fueron creadas por la erosión del agua superficial, lo que apuntaría a un clima con lluvias, o a un proceso conocido como socavamiento por aguas subterráneas, que puede producirse en condiciones de frío y sequedad.
La gran disparidad entre las densidades de redes de ríos en Marte y la Tierra han proporcionado el principal argumento contra la idea de que la erosión por escorrentía formó las redes de valles. Pero el nuevo mapa reduce estas diferencias. Según el profesor de geografía Wie Luo, los valles de amplias regiones marcianas se originaron por la erosión derivada de la escorrentía causada por las precipitaciones, el mismo proceso responsable de la formación de los principales valles de la Tierra.
Según apuntan los investigadores, la superficie marciana se caracteriza por planicies localizadas en su mayoría en el hemisferio norte y sistemas montañosos principalmente en el hemisferio sur. Dada esta topografía, el agua se acumularía en el norte, donde las elevaciones superficiales son menores que en el resto del planeta, formando así un océano.
«Un océano único en el hemisferio norte explicaría por qué existe un límite austral a la presencia de redes de valles. En estas regiones más al sur de Marte, localizadas lejos de las reservas de agua, existirían pocas lluvias y no se desarrollarían valles. Esto también explicaría por qué los valles se vuelven más superficiales a medida que se va de norte a sur, como sucede en este caso», afirma Luo. El investigador apunta que la mayoría de las lluvias se restringían al área cubierta por el océano y a las superficies de tierra vecinas.
Fuente: abc.es, 24-11-09
-Las nuevas babosas marinas de las Islas Canarias
Investigadores hispano-cubanos han hallado en Cuba una singular babosa marina que emite destellos luminosos cuando es importunada. Dos de los biólogos han descrito además otras cinco especies nuevas de estos moluscos en Canarias, considerados verdaderos fósiles vivientes.

Una babosa marina que emite destellos cuando la molestan.| Efe
Uno de estos investigadores es Leopoldo Moro, del Servicio de Biodiversidad del Gobierno de Canarias, ha señalado que, en el caso de estas islas, el descubrimiento se realizó junto a Jesús Ortea, de la Universidad de Oviedo, dentro de un proyecto de elaboración de un catálogo ilustrado de estos animales en el archipiélago.
La fauna de babosas marinas en Canarias supera las 260 especies y los investigadores consideran que dos de estas nuevas especies descubiertas son además "muy singulares". Una de ellas es el 'fósil viviente', la babosa marina encontrada en La Gomera y bautizada 'Akera silbo' en honor al silbo gomero, declarado recientemente Patrimonio Cultural Inmaterial de la Humanidad por la Unesco. Este molusco es la segunda especie del género 'Akera' en todo el Atlántico y resulta tan relevante como "Odontoglaja sabadiega", otra babosa descrita por los mismos investigadores hace 12 años en la isla de El Hierro, el único representante del género Odontoglaja -que presenta "dientes" como excepción a la norma en su familia- en el citado océano y la segunda a nivel mundial.
También resulta singular la babosa marina recogida en Lanzarote y denominada 'Elysia manriquei' en honor al artista César Manrique "por la arquitectura y el diseño cromático de su cuerpo", indica Leopoldo Moro. Además se ha descrito otra babosa marina en La Palma, que ha sido denominada 'Stiliger auarita' por los aborígenes de dicha isla, y en Gran Canaria se han hallado otras dos especies, una llamada 'Trapania canaria', también por los primitivos habitantes de este territorio insular. La otra especie encontrada en Gran Canaria se ha denominado 'Tritonia taliartensis' en honor a la localidad de Taliarte, donde fue colectada.
Estos resultados científicos se enmarcan en el proyecto 'Macaronesia 2000', que dirige el profesor Juan José Bacallado, y que está financiado por el Organismo Autónomo de Museos y Centros del Cabildo de Tenerife. Precisamente Leopoldo Moro y Jesús Ortea son dos de los investigadores que forman parte de un equipo hispano-cubano que, desde 2006, realiza el inventario de los moluscos marinos en la península de Guanahacabibes, en Cuba, uno de los lugares más afectados por los ciclones. Durante este estudio se han registrado 775 especies diferentes de moluscos marinos, casi el 50% de todas las que viven en Cuba, lo que confirma la importancia de esta región geográfica "como un punto caliente de la diversidad marina", afirma Leopoldo Moro.
También es relevante por el carácter "bidireccional" de las corrientes costeras de la región y como área de emisión de larvas planctónicas que pueden permitir la recuperación de zonas del Golfo de México y Caribe afectadas por cualquier tipo de catástrofe. Gracias a ese inventario continuado las 40 especies nuevas dadas a conocer en marzo de 2008 han alcanzado ya la cifra de 54, todas ellas descritas y publicadas en revistas especializadas.
Fuente: EFE, 24-11-09
Un equipo internacional de científicos ha catalogado por primera vez miles de especies que viven en las profundidades de mares y océanos -muchas de ellas desconocidas hasta ahora- en el marco del proyecto 'Censo de la Vida Marina' (CVM). Los científicos del CVM, un proyecto internacional que presentará en 2010 el primer listado de la vida oceánica, ya han registrado 17.650 especies a más de 200 metros de profundidad y 5.722 a más de un kilómetro de profundidad, donde casi no llega la luz del sol.
|
Un nuevo copépodo, una familia de crustáceos. | Efe
|
Enypniastes, un pepino marino, capturado a una profundidad de 2.750 metros. | Efe |
Un octópodo de dos metros de longitud que vive a 1,5 kilómetros de profundidad. | Efe |
Es lo que los estudiosos definen como la "zona de crepúsculo", el lugar donde la ausencia de luz impide el proceso de fotosíntesis y, por lo tanto, la existencia de una flora activa. Los investigadores expresaron su sorpresa por la diversidad de la vida incluso en las profundidades abisales, donde se pueden encontrar numerosos organismos vivos, ya que muchas de estas especies llegan a vivir a profundidades de hasta 5 kilómetros. El doctor Robert Carney, uno de los responsables del proyecto que estudia la vida a lo largo de los márgenes continentales del mundo, destacó que es "difícil de entender que haya tanta diversidad" en el fondo de mares y océanos.
"Aunque el barro de los fondos profundos parece ser monótono y pobre en alimentos, ese barro monótono tiene la máxima diversidad de especies posible", señaló Carney, quien relacionó el fenómeno con los numerosos recursos de los organismos para sobrevivir en un ambiente tan hostil.
Entre las criaturas más extrañas halladas figura un octópodo de dos metros de longitud que vive a 1,5 kilómetros de profundidad en aguas del centro del océano Atlántico y que fue bautizado como "Dumbo" por las largas aletas con forma de orejas que utiliza para desplazarse. Los investigadores destacaron también la existencia de un gusano marino que fue sorprendido mientras ingería crudo petrolífero en aguas del Golfo de México. Cuando fue sacado del fondo marino por el brazo de un robot el crudo manaba a raudales del gusano. También en el Golfo de México, a 2,7 kilómetros de profundidad, los científicos grabaron en vídeo el momento en que una larva transparente avanza apoyándose en sus numerosos tentáculos.
Los responsables del censo manifestaron que es "indescriptible" la cantidad de especies descubiertas, desde invertebrados multicolores, pasando por corales y erizos de mar que son capaces de sobrevivir un kilómetro por debajo de la superficie marina. Carney, profesor de la Louisiana State University en Baton Rouge (EEUU), subrayó que la gran mayoría de criaturas recogidas de los fondos abisales son nuevas para la ciencia y que de los 680 especímenes de copépodos (una especie de crustáceos maxilópodos muy pequeños) que se recogieron sólo se conocían siete. El científico, uno de los pioneros en el descenso a las profundidades marinas con submarinos, también dijo que la costa española, tanto la del Atlántico como la del Mediterráneo, "son especialmente interesantes" por las grandes profundidades a la que se sitúa el fondo marino.
Otro de los científicos del CVM, el investigador Mike Vecchione, del Instituto Smithsonian de Washington, dijo que una de las principales contribuciones del proyecto está siendo un mejor entendimiento de cómo "el ecosistema marino está estructurado verticalmente".
"La mayoría de los alimentos se producen en la superficie y caen al fondo donde no existe luz que permita su creación pero proporcionan sustento a una increíble variedad de formas de vida", explicó Vecchione.
Por su parte, el doctor Paul Snelgrove, director del Departamento de Ambientes Marinos a grandes profundidades de la Universidad Memorial de Terranova (Canadá), expresó su preocupación por el impacto que el cambio climático está teniendo en esa cadena alimentaria. Según el científico, "la caída de la productividad alimentaria en la superficie está empezando a notarse en el fondo marino con cantidades cada vez más limitadas de alimentos. Estamos observando que menos materiales caen hacia el fondo".
El investigador canadiense dijo que el único incremento observado en los últimos años son los efectos negativos como el aumento de la acidez de los océanos y de la basura depositada en el fondo.
Fuente: elmundo.es, 23-11-09
-"La forma de buscar táctil y visual de 'Minority Report' no está tan lejos"
Organizar la información que se encuentra en Internet, y que no para de crecer, será uno de los mayores retos a los que se enfrentará la tecnología en los próximos años, según los expertos. Y en el caso de Microsoft Europa, ese reto está en manos de un español. Jordi Ribas (Manresa, 1968) coordina la investigación y el desarrollo de buscadores en las tres sedes Londres, Múnich y París que Microsoft tiene en Europa. Este ingeniero de telecomunicaciones está convencido de que aún se pueden mejorar los algoritmos que se ocultan detrás de los buscadores. Pero también trabaja con lingüistas y antropólogos para crear un programa que reconozca la intención de las palabras que el internauta escribe en el buscador. La apuesta de Microsoft para las búsquedas se llama Bing y está ya en funcionamiento en EEUU.
|
Jordi Ribas, en las oficinas de Microsoft en Madrid |
¿Cuándo se lanzará Bing en España? Tenemos unas metas internas en cuanto a fechas, pero no vamos a repetir errores pasados. Con el buscador Live Search no hicimos bien en lanzarlo en todo el mundo por el hecho de que se lanzaba en EEUU. Ahora hemos comprendido que para hacer un buscador realmente bueno hay que entender la lengua y la cultura del país en el que se está lanzando. En junio presentamos Bing en EEUU y Canadá, y ahora lo hemos hecho en Reino Unido. En vez de marcarnos una fecha en España, lo que nos hemos marcado es un nivel de calidad. Va a ser cuestión de meses. El proceso que se va a seguir es que los usuarios españoles van a ir viendo mejoras en Bing hasta que esté terminado. ¿Los usuarios buscan de manera diferente en función de dónde se encuentren? Los temas que la gente quiere encontrar mediante los buscadores son muy parecidos: información local, comparar productos, realizar planes de viaje... Pero hay detalles. Las búsquedas de deportes que se realizan en EEUU no tienen nada que ver con las que se hacen en España. Por eso es importante que el buscador se adapte a la forma de pensar del usuario. Lo primero que hay que plantearse para adaptar un buscador a un país es la manera en la que piensan sus ciudadanos. ¿De qué tipo de adaptación habla? Cuando alguien busca en Bing desde EEUU el concepto "fútbol", por ejemplo, el buscador le ofrece resultados de fútbol americano. En Reino Unido, los resultados son de nuestro fútbol. Es sólo un detalle, pero estas son las diferencias que hay que captar en cada temática para que cuando el usuario español utilice el buscador vea que este no sólo aprecia su lengua, sino también su cultura.
|
¿Es una utopía lograr un buscador semántico?
La semántica es un componente importante, pero no sabemos si será decisivo. Microsoft adquirió PowerSearch,una compañía especializada en búsquedas semánticas, porque creemos que entender más allá del texto, qué hay detrás de las palabras que se introducen en la caja de búsqueda, es muy importante. Estoy seguro de que dentro de diez años no se va a buscar igual que hoy. El sistema de búsqueda que se ve en películas como Minority Report, con una persona que busca moviendo las manos, no queda tan lejos. De hecho, la mesa táctil Surface ya es un acercamiento a ese futuro. Por eso también estamos trabajando con tecnologías de búsqueda visual y semántica. En unos años, las búsquedas se parecerán más a lo que hacía Tom Cruise en esa película que a lo que hemos estado haciendo en los últimos diez años.
Las cifras globales de cuota de mercado muestran que Google mantiene su ventaja sobre Bing. ¿Cómo van a recortarla?
La cuota de mercado de Bing crece en los países en los que se ha lanzado la versión definitiva. La meta que nos ha fijado Steve Ballmer, el director ejecutivo de Microsoft, es convertirnos en el segundo buscador mundial en cinco años.
Pero ahora Yahoo es segundo y aún así está muy lejos del líder...
No hay que engañarse. Ganar terreno en los buscadores es un esfuerzo que va a costar mucho tiempo. Sería muy positivo para Bing alcanzar, por ejemplo, la cifra que hemos logrado en EEUU (10%) en varios mercados. Cuando yo empecé en Windows Media, tenía un 1% de cuota mercado y en cinco años llegó al 70%. Eso indica que, cuando se habla de tecnología, en poco tiempo las cosas pueden cambiar mucho.
¿Cuánto hay de costumbre y cuánto de utilidad a la hora de decantarse por un buscador?
Cuando hacemos estudios en Microsoft, enfrentamos nuestro buscador con el de Google y mucha gente elige el nuestro. Pero Google tiene un nombre que incluso se ha convertido en verbo. Se utiliza por costumbre y cambiar esto requiere mucho trabajo. Nosotros nos planteamos este proyecto a cinco o diez años. Hay que hacer cosas nuevas, mejores. Tanto nosotros como otros competidores lo tenemos muy difícil y sólo podemos ganar con innovación.
¿Hay algún nivel no explorado?
En los últimos años se ha hecho un esfuerzo en inteligencia artificial, pero no se ha explorado mucho lo que nosotros llamamos "tecnología avanzada de diseño", crear un buscador en función de lo que necesitan realmente los usuarios, con ingenieros, antropólogos... Si optimizamos inteligencia artificial y diseño podemos crear un producto que sea más interactivo y fácil de usar, y esa evolución es el futuro.
Fuente: publico.es, 22-11-09
-Diez lugares del planeta donde no debería existir la vida pero existe
Los científicos que sostienen que la vida en Marte es inconcebible tienen argumentos de peso. La superficie del planeta rojo es un desierto de óxidos de hierro congelado por temperaturas inferiores a 120 grados bajo cero y achicharrado por una radiación ultravioleta desbocada en un planeta sin capa de ozono. Sin embargo, los creyentes arguyen que las pruebas que apoyan la existencia de vida en Marte no están muy lejos. Están en la Tierra.
|
Ardilla del Ártico |
Cachorritos del Agujero del Diablo |
Manantiales termales de Yellowstown |
Pingünino Emperador |
El Instituto Smithsonian, una organización estadounidense que posee una treintena de museos y centros de investigación, acaba de publicar una lista de diez lugares en los que la vida no debería existir, pero existe. Las condiciones extremas en las que se han encontrado microorganismos y animales superiores en nuestro planeta apuntan, para algunos, que la pregunta no es si se hallará vida en Marte, sino cuándo.En el top ten de la institución aparecen los hábitats "más improbables, inhospitalarios y absurdos de la Tierra". Pero con vida.
La lista incluye ardillas árticas con la temperatura de la sangre bajo cero, mejillones en volcanes submarinos y virus que viven dentro de bacterias que a su vez habitan en aguas muy ácidas y en ebullición. Los lectores de la web del Smithsonian solo han echado de menos un lugar: el interior del reactor número 4 de la central nuclear de Chernóbil. En 1999, un robot enviado al corazón de la planta atómica ucraniana, que en 1986 sufrió el peor accidente nuclear de la historia, regresó con extrañas muestras de hongos. Según el microbiólogo Arturo Casadevall, de la Universidad de Yeshiva, en Nueva York, el hongo utiliza la radiación para obtener la energía que necesita. La vida dentro del reactor de Chernóbil sorprendió a la opinión pública, pero no a los científicos. El geólogo estadounidense Dale Griffin encontró en 2004 varios hongos y bacterias en la estratosfera, a 20 kilómetros de altitud. "Si miras, ellos siempre están ahí, incluso en las condiciones más extremas", dijo entonces Griffin.
Ártico, acurrucados frente al frío
Hasta hace pocos años, los científicos se devanaban los sesos para solucionar el enigma del eider de anteojos, una especie de pato oriundo de Alaska y Siberia. El ave necesita aguas abiertas para obtener su alimento, lo cual se convierte en un grave contratiempo en estas regiones árticas, transformadas en un manto de hielo durante el invierno. Ahora, explica el Instituto Smithsonian, el secreto de este pato se ha descubierto. Cuando arrecia el frío, las aves se apiñan para compartir su calor junto a pequeñas grietas en el hielo. Para comer, se turnan para sumergirse en el agua y capturar almejas, agitando continuamente el líquido, según algunos científicos, para evitar que se congele.
Alaska, miles de años dormida
Algunos microbios pueden sobrevivir a la radiactividad, a la radiación ultravioleta, a la carencia absoluta de alimento y agua, a las temperaturas extremas e incluso a los desinfectantes creados para aniquilarlos. Ciertas bacterias logran este prodigio al cambiar de estado y transformarse en esporas, como las tortugas cuando se esconden dentro de su caparazón. Gracias a esta estrategia pueden sobrevivir en condiciones hostiles durante miles de años, como las esporas de la bacteria Carnobacterium pleistocenium, halladas en Alaska en 2005 y resucitadas en laboratorio tras 32.000 años dormidas. Algunos científicos dicen haber revivido esporas de 250 millones de años.
Yellowstown, bacterias escalfadas
Hay hábitats que parecen diseñados para matar seres vivos, como los manantiales termales del Parque Nacional de Yellowstone, en el noroeste de EEUU. La temperatura de sus aguas está cercana al punto de ebullición y su acidez es tan extrema que podría disolver incluso un clavo. Sin embargo, hay vida. El más conocido de los inquilinos microscópicos del parque es la bacteria Thermus aquaticus, utilizada en los laboratorios de genética para hacer copias de fragmentos de ADN. Pero hay muchos más microorganismos en estas fuentes calientes, como demuestran sus vívidos colores, fruto de los pigmentos bacterianos. Para rizar el rizo, un virus es capaz de vivir dentro de estos microbios.
Valle de la muerte. Peces en el desierto
El Valle de la Muerte, en el suroeste de California, es la región más árida y tórrida de EEUU. No parece el mejor lugar para un pez. Pero los hay. En un acuífero subterráneo solamente accesible a través de una estrecha fisura en la roca existe apenas un centenar de peces conocidos como cachorritos del Agujero del Diablo, una de las especies en mayor peligro de extinción del planeta. Desde 1967, los científicos pelean para evitar la desaparición de este reducto de fauna acuática en medio del desierto. Su existencia demuestra el húmedo pasado del Valle de la Muerte. Los cachorritos del Agujero del Diablo son los últimos supervivientes de unos lagos que se evaporaron hace más de 10.000 años.
Las fuentes hidrotermales son heridas en los fondos oceánicos. La capa superficial del planeta es como un puzle, en el que cada pieza es una placa tectónica. Allí donde dos placas colisionan, se generan terremotos o actividad volcánica. Pero cuando se separan, el agua marina se desliza por la rendija, se caldea y vuelve a salir a borbotones, ahora cargada de minerales. Estas inhóspitas fumarolas, no obstante, son la única morada de centenares de especies, como algunos tipos de camarones, percebes y mejillones. La base de la cadena alimentaria está formada por microbios que obtienen su energía de sustancias como el ácido sulfhídrico, responsable del olor de los huevos podridos.
En 2004, investigadores del Servicio Geológico de EEUU tomaron una muestra de aire a 20 kilómetros de altitud. El análisis de aquel ínfimo fragmento de estratosfera les dejó boquiabiertos. Aparecieron cuatro colonias de Penicillium, el mismo hongo que prolifera en los alimentos olvidados en la cocina durante días y es un ingrediente fundamental del queso Camembert. Y también surgieron 70 colonias de Bacillus sphaericus, una bacteria que se emplea para matar las larvas de algunos mosquitos. Los microbios, según los autores del estudio, llegaron a la estratosfera a partir de las violentas tormentas de arena originadas en el desierto del Sáhara.
Galápagos. Unas islas esterilizadas.
Las islas Galápagos, pertenecientes a Ecuador, son la demostración de que la vida consigue llegar a cualquier rincón. Surgieron hace millones de años en el medio del océano Pacífico, gracias a la erupción de lava de volcanes activos. Es decir, fueron brutalmente esterilizadas desde su nacimiento. Y, sin embargo, ahora son una explosión de biodiversidad. La vida llegó a las islas recorriendo cientos de kilómetros a través del mar, como los pingüinos de las Galápagos, la única especie de su género que habita en Ecuador. Las tortugas del archipiélago pisaron tierra tras surcar el océano a bordo de balsas. Y las semillas de las plantas llegaron por el aire.
En la primavera de 1979, un fallo eléctrico provocó una fusión parcial del núcleo de un reactor de la central atómica de Three Mile Island, cerca de Harrisburg (EEUU). Más de 30 años después, sigue siendo uno de los peores accidentes nucleares de la historia. Eliminar la contaminación radiactiva costó años y, durante las tareas de limpieza, los científicos se toparon con un fenómeno inesperado. El agua cercana al núcleo del reactor estaba turbia. Una próspera comunidad microbiana vivía en el líquido pese a los elevados niveles de radiactividad. Y el año pasado, científicos de EEUU hallaron en el interior del reactor de Chernóbil un hongo capaz de emplear la radiación en su propio beneficio.
Siberia. Sangre bajo cero.
La ardilla ártica es un milagro de la
naturaleza. Este animalillo, de apenas un kilogramo, es capaz de sobrevivir a
los inviernos de Alaska y Siberia, cuando su sangre pasa de una temperatura de
unos 37 grados hasta los tres grados bajo cero. Sin embargo, sus venas no se
congelan. Su secreto es la sobrefusión, un proceso que permite que un líquido se
enfríe por debajo de su punto de congelación sin solidificarse. El metabolismo
de la ardilla elimina cualquier sustancia que pudiera facilitar la formación de
cristales de hielo. En otros casos, como el de la rana de bosque de Canadá, más
de la mitad se su cuerpo se congela en invierno. Y, cuando las temperaturas
suben en primavera, el animal resucita.
Suráfrica. Soledad absoluta
Sólo la bacteria Candidatus desulforudis sabe lo que es la soledad absoluta. Como reseña el Instituto Smithsonian, un parásito necesita un hospedador para vivir. Una planta requiere abejas para polinizar sus flores. Y un ser humano necesita un filete o una ensalada encima de la mesa. Candidatus desulforudis no necesita a nadie. Científicos del Instituto de Astrobiología de la NASA encontraron hace tres años una comunidad de estos microbios en una mina de oro surafricana, a casi tres kilómetros de profundidad, sin oxígeno ni luz y a 60 grados de temperatura. No hallaron más vida: es el primer ecosistema de una sola especie descubierto en la Tierra.
Dirección del artículo original: http://www.smithsonianmag.com/science-nature/64133502.html
Fuente: publico.es, 22-11-09
-La oceanografía española en desarrollo
Desde hace unos meses España cuenta con el primer laboratorio submarino que se ha instalado en nuestras costas (frente a Barcelona, a unos 25 metros de profundidad). Permite a tiempo real medir las condiciones marinas. En Cádiz, se está instalando otro laboratorio que tendrá como finalidad la de detectar tsunamis. El laboratorio es el primero de este tipo en Europa y ha participado el CSIC. El dispositivo está colocado a 60 millas del Cabo de San Vicente y a una profundidad de 3300 metros, en un punto próximo al contacto entre las placas tectónicas de Eurasia y África donde se producen muchos maremotos. El sistema permitirá alertar la propagación de tsunamis que podrían afectar a la Península Ibérica y al norte de África.
Entrevista en RNE (España Directo):
Fuente: RNE, 20-11-09
-Estados Unidos prueba con éxito un cañón láser de ciencia ficción
La compañía norteamericana Boeing acaba de anunciar el éxito
de una nueva arma que parece sacada de una de las entregas de la Guerra de las
Galaxias. Se trata de un cañón láser que, durante una demostración ante las
Fuerzas Aéreas norteamericanas en un polígono militar de China Lake, California,
consiguió derribar cinco vehículos aéreos no tripulados con sólo cinco disparos,
uno por objetivo.

El dispositivo, llamado Mobile Active Targeting Resource for Integrated
eXperiments (MATRIX), derribó a las cinco aeronaves, a diferentes distancias y
velocidades, con la máxima precisión y sin necesidad de moverse del trailer
sobre el que había sido montado.
Matrix, desarrollado en Albuquerque por la División de Sistemas de Defensa
Integrados de Boeing por encargo del Laboratorio de Investigación de las Fuerzas
Aéreas estadounidenses, localiza sus objetivos por medio de un radar, enfoca
sobre ellos un único rayo de energía y los derriba con extraordinaria precisión.
La fotografía, tomada durante la demostración, muestra el momento de la
destrucción de una de las unidades aéreas que hicieron de conejillo de indias.
El sistema no es la primera incursión de Boeing en el campo de los rayos laser
aplicados a la defensa. La compañía lleva años desarrollando un sistema llamado
Airborne Laser para destruir misiles hostiles en pleno vuelo. Matrix es la
evolución de ese sistema y su exitosa prueba ha llenado de satisfacción a los
altos mandos militares. "Este test -asegura Bill Baker, científico jefe del
Laboratorio de Investigación de als Fuerzas Aéreas- valida el uso de energía
directa para anular el potencial hostil de amenazas lanzadas contra territorio
nacional".
Está por ver si la nueva arma se empezará a utilizar efectivamente dentro de las
fronteras norteamericanas o si, por el contrario, verá la luz en alguno de los
lejanos países donde operan los marines...
Fuente: abc.es, 20-11-09
-El ADN del maíz es más complejo que el humano
La planta del maíz ('Zea mays') ha sido domesticada por el hombre durante los últimos 10.000 años. Durante ese tiempo se ha convertido, junto con el arroz y el mijo, en uno de los tres cereales más cultivados del mundo, tanto para la alimentación humana como para la fabricación de piensos para animales o de biocombustibles. El aumento de este cultivo está ligado al desarrollo de variedades mejor adaptadas a las necesidades de cada lugar. Sin embargo, aún no se conocía la secuencia completa de su genoma. Ahora, un equipo científico internacional ha descifrado la totalidad de su ADN, lo que podrá tener importantes consecuencias en el desarrollo futuro de variedades resistentes a condiciones ambientales extremas como las altas temperaturas o la sequía.
Los resultados de esta investigación, que han sido publicados este viernes en la revista 'Science', muestran una de las secuencias de ADN más complejas de cuantas se han descifrado hasta la fecha. Según los propios investigadores, se trata de un batiburrillo de 32.000 genes insertados en 10 cromosomas, lo que contrasta con los cerca de 20.000 genes humanos ordenados en 23 cromosomas. Además, la longitud del genoma completo es muy parecida a la del humano con 2.300 millones de unidades básicas (nucleótidos), mientras que el humano tiene unas 2.900.
En 2008, ya se publicó un adelanto de este trabajo realizado por los mismos investigadores y con la misma variedad llamada B73. En aquella ocasión se estimaba que la planta tenía alrededor de 50.000 genes. Sin embargo, cuando los científicos procedieron a ordenar los miles de segmentos analizados para formar la secuencia completa dentro de los 10 cromosomas se encontraron que estaba formado por una compleja mezcla de secuencias repetidas múltiples veces y que el número total de genes era menor de lo esperado: 32.000.
"Secuenciar el genoma del maíz ha sido como conducir kilómetros y kilómetros por una carretera desolada con la presencia muy esporádica de señales de tráfico", asegura Sandra Clifton, una de las investigadoras del trabajo perteneciente a la Universidad de Washington. "Además, teníamos un mapa muy rudimentario para guiarnos que, debido al gran número de repeticiones del genoma, hacía que algunas de esas señales estuviesen equivocadas".
La complejidad de la secuencia de esta planta se debe a que el 85% de su ADN está formado por secuencias repetidas. En la mayoría de los organismos existen unas secuencias llamadas transposones que son capaces de saltar de un lugar a otro del genoma. El problema es que en ocasiones saltan llevándose consigo parte del ADN que los rodea, lo que genera mutaciones y complica en gran medida la secuenciación del ADN. De hecho, fue precisamente el maíz el organismo que sirvió a la investigadora Barbara McClintock para describir los transposones por primera vez y para ganar con ello el Premio Nobel de Fisiología en 1983. En el ser humano estas secuencias repetidas forman alrededor del 40%, la mitad que en el cereal.
"El genoma del maíz es un verdadero laberinto», asegura David Schwartz, otro de los autores perteneciente a la Universidad de Wisconsin-Madison. «Está lleno de confusas repeticiones y callejones sin salida que han vuelto locos a los investigadores durante años".
La investigación concluye que los resultados -que están disponibles libremente en la web www.maizegenome.org- servirán para mejorar el conocimiento de la domesticación y de las posibles mejoras agrícolas del maíz. "Las compañías de semillas y los genetistas que trabajan con maíz pueden consultar estos datos para encontrar sus genes favoritos", dice Richard K. Wilson, director del Centro de Genomas de la Universidad de Washington y líder del equipo científico que ha llevado a cabo el trabajo. "Ahora sabemos exactamente dónde están los genes que buscamos, lo que hará más fácil cruzar las variedades de maíz que más producen o que son más tolerantes al calor extremo o a la sequía".
Sin embargo, entorno a las compañías de semillas existe un sector muy crítico con su trabajo. "Sabemos que este trabajo no tiene nada que ver con los transgénicos y Greenpeace no se opone a la biotecnología», dice Juan Felipe Carrasco, responsable de transgénicos de Greenpeace. «Esperamos que el conocimiento de genoma ayude a desarrollar técnicas de mejora vegetal tradicional y no al de otras peligrosas como la transgenia que promueven un modelo de agricultura controlado por las compañías". Este cultivo tiene un papel clave de cara a afrontar la alimentación de una población mundial creciente. Cada año se producen en el mundo alrededor de 700.000 toneladas de maíz y sus cultivos ocupan una superficie de cerca de dos millones de kilómetros cuadrados, equivalente a cuatro veces la superficie de España.
"Existe una necesidad acuciante de descubrir genes que sirvan para mejorar la producción vegetal, no sólo para asegurar los alimentos de las generaciones venideras, sino también para desarrollar una agricultura más sostenible y respetuosa con el medio ambiente", explica Luis Gómez, subdirector de investigación de la Escuela de Ingenieros de Montes de Madrid.
Fuente: elmundo.es, 20-11-09
-Un grupo de sondas choca contra Einstein
Desde hace dos décadas, un grupo de sondas ha tenido comportamientos extraños que ni científicos ni ingenieros pueden explicar. En diciembre de 1990, la sonda Galileo se acercó a la Tierra para tomar impulso en su viaje hacia Júpiter. Cuando los responsables de la NASA midieron el cambio de velocidad de la sonda, observaron que había acelerado 3,9 milímetros por segundo más de lo esperado. La diferencia era mínima tras su paso por la Tierra ganó más de 5.000 m/s de velocidad, pero esa minúscula variación dejaba vislumbrar la posibilidad de que algo fallara en las leyes fundamentales de la física. Durante los años posteriores, otras sondas han experimentado ese inesperado empujón en sus maniobras de sobrevuelo de la Tierra. Algunos físicos piensan que estas máquinas cuestionan a Albert Einstein.

Sonda Rossetta sobrevolando la Tierra
Hace un siglo, el científico alemán revolucionó la manera de entender la gravedad. Newton había hablado de ella como una fuerza que regía las leyes de la atracción entre todos los objetos del Universo. Doscientos años después, Einstein descubrió un mecanismo aún más fascinante para explicar por qué una taza se puede caer de una mesa o la Tierra gira alrededor del Sol. La gravedad era en realidad una propiedad geométrica del tejido espacio-tiempo. Como una canica sobre una sábana, la masa de los objetos curvan esa "tela" y provocan los efectos que se atribuyen a la gravedad. Esta explicación física de los grandes fenómenos del cosmos creada por el investigador alemán ha resistido un siglo de avances científicos y tecnológicos sin desgaste aparente, pero los físicos no quieren que su trabajo se convierta en dogma.
La semana pasada, la sonda Rosetta sobrevoló la Tierra por tercera vez desde su lanzamiento en 2004. El artefacto de la Agencia Europea del Espacio (ESA) ha mostrado comportamientos contradictorios en sus dos pasos anteriores. En el primero, en 2005, aceleró 1,8 mm/s más de lo previsto, pero en el segundo se ajustó a la aceleración calculada. El resultado de este tercer paso, que según explicó a Público el director de operaciones de Rosetta, Andrea Acomazzo, debería conocerse durante las próximos días, puede respaldar o descartar alguna de las teorías más interesantes para explicar la anomalía.
Una aceleración de 1,1 mm/s cuadraría con los cálculos que sustentan una hipótesis planteada por el investigador John Anderson. Según él, la rotación de la Tierra estaría provocando un efecto sobre el tejido del espacio-tiempo mayor del esperado que distorsionaría ligeramente la trayectoria de las sondas y su velocidad.
La posibilidad de que exista nueva física detrás de la inesperada aceleración de las sondas es aceptada por todos, pero algunos creen que hay explicaciones menos interesantes con más posibilidades de ser reales. En opinión de Acomazzo, lo más probable es que la anomalía de deba a un error en la elaboración de los modelos de la maniobra. "Aunque es posible que se deba a un efecto físico", añade.
Otra posibilidad menos excitante que la nueva física es la que plantea el investigador del Instituto Astrofísico de Andalucía (CSIC) y miembro del equipo de Rosetta José Juan López. "Puede ser que exista una influencia del campo magnético de la Tierra que no hemos comprendido bien", explica. "Esa influencia del campo magnético podría, incluso, producir una modificación de la estructura metálica de la sonda que explicaría la anomalía", apunta. "En cualquier caso, la explicación más bonita es que hubiese nueva física", reconoce.
Slava Turyshev lleva años hurgando entre los datos enviados por las sondas Pioneer en busca de información que le permita enmendar a Einstein. Estas dos naves, enviadas en los 70 hacia la frontera del Sistema Solar, no recorrían toda la distancia que se esperaba de ellas. Si se calculaba la posición en la que las sondas se encontrarían tras un año de navegación, teniendo en cuenta la velocidad del artefacto y las fuerzas en juego, cuando pasaban los doce meses, esa sonda estaba 400 kilómetros más cerca del Sol de lo esperado. Algo tiraba de las Pioneer hacia la estrella que no estaba en los libros de física.
Tras años de estudio, los cálculos del equipo de Turyshev en el Jet Propulsion Laboratory de la NASA que han incluido un paleoinformático para reconstruir el software de la época de las Pioneer y recuperar los datos de telemetría de las sondas permitieron determinar qué parte de la anomalía se podía explicar por una pérdida de energía de los generadores nucleares que propulsan las naves. Pero aún queda espacio para que exista nueva física. "En seis meses tendremos la respuesta", asegura Turyshev.
La anomalía de las Pioneer, explica el físico, "no tiene ninguna relación" con la de las maniobras orbitales de las sondas. Sin embargo, cree que la metodología empleada por su equipo puede ser útil para quienes estudien anomalías como la de Rosetta. "Antes de hablar de nueva física es necesario un análisis muy exhaustivo de los modelos que predicen los movimientos de las naves, los aspectos técnicos y el resto de los datos relevantes", explica. "La gente intenta identificar anomalías sin saber cómo funcionan y ha habido ocasiones en las que quienes han hecho análisis sobre estos fenómenos ni siquiera eran expertos en navegación", afirma.
"Deberíamos poner de acuerdo a NASA y ESA para poder hacer un seguimiento preciso de las sondas. Ahora, no es posible hacer un seguimiento continuo porque hay zonas de la Tierra donde no hay telescopios", continúa. "Antes de sacar conclusiones tan importantes podríamos, por ejemplo, emplear satélites de comunicaciones para medir con precisión esas maniobras", concluye.
1919. El eclipse solar
Cuatro años después de que Einstein presentara la teoría general de la
relatividad, un equipo de investigadores británicos demostró que sus ideas eran
ciertas. Los científicos observaron que los rayos solares sorteaban la Luna
curvando su trayectoria durante un eclipse de Sol, tal y como Einstein postuló
que sucedería.
2004. ‘Gravity Probe B’
El 20 de Abril de 2004, la NASA envió al espacio la sonda ‘Gravity Probe B’. Su
objetivo era comprobar la distorsión del espacio-tiempo que producen la masa y
la rotación de la Tierra. En 2007, científicos de la NASA anunciaron que las
mediciones de la sonda indicaban que los cálculos del físico eran correctos,
aunque aún están analizando los datos.
2015. El triángulo de satélites
La NASA y la ESA tienen planeado enviar en 2015 tres satélites al espacio que se
colocarán en torno al Sol formando un triángulo equilátero de cinco millones de
kilómetros de lado. El sistema de sondas, llamado LISA, permitirá comprobar de
forma experimental algunas teorías de Einstein. Las sondas tratarán de observar
las ligeras ondulaciones que el movimiento de objetos muy masivos, como los
agujeros negros, produce en el tejido del espacio-tiempo.
Fuente: publico.es, 20-11-09
-Descubren un extraño mundo de cocodrilos prehistóricos en el Sáhara
Investigadores de la Universidad de Chicago han descubierto en el Sáhara un conjunto de fósiles de cinco cocodrilos ancestrales con características muy especiales, uno de ellos con dientes como colmillos de jabalí y otro con un hocico como el pico de un pato. Los cocodrilos, tres de ellos nuevas especies, pertenecen a un extraño mundo de reptiles que habitaban las tierras del sur del supercontinente Gondwana hace 100 millones de años. Los descubrimientos se publican en la revista National Geographic.
|
|
|
Los científicos, dirigidos por Paul Sereno, descubrieron los restos fósiles en una serie de expediciones que comenzaron en el año 2000 en el Sahara. Muchos de los fósiles yacían en la superficie de una estrecha franja de rocas y dunas azotadas por el viento. Los cocodrilos habitaban lo que es hoy Nigeria y Marruecos cuando existían amplios cursos de ríos en las exuberantes planicies y los dinosaurios dominaban la Tierra.
Super Croc y Pancake CrocSegún explica Sereno, «estas especies abren una ventana a un mundo de cocodrilos completamente ajeno al de los continentes del norte». El Sarcosuchus imperator, conocido como Super Croc por sus 12 metros de largo y 8 toneladas de peso, es el primero y más grande de los descubiertos por los investigadores en el Sahara. A partir de ahí aparecieron tres nuevas especies, apodadas PancakeCroc, BoarCroc y RatCroc. Se tratan del Kaprosuchus saharicus, un carnívoro con hocico de armadura de seis metros de largo hallado en Nigeria; el Araripesuchus rattoides, que se alimentaba de plantas y larvas y medía sólo un metro y descubierto en Marruecos; y el Laganosuchus thaumastos, cuyos fósiles se desenterraron en Nigeria y Marruecos y que comía pescado y medía seis metros de largo, con una cabeza plana que alcanzaba casi un metro de longitud.
Estos fósiles se unen a las de dos especies ya conocidas del Anatosuchus minor y el Araripesuchus wegeneri (DuckCroc y DogCroc), se descubrieron en Nigeria y en vida medían un metro de largo. El primero de ellos se alimentaba de peces, ranas y larvas y tenía áreas sensitivas especiales en la terminación del hocico que le permitía buscar raíces en la orilla o presas en aguas poco profundas. El Araripesuchus wegeneri comía plantas y larvas que buscaba con un hocico similar al de un perro y buen nadador.
Vidas diferentes«Nos sorprendimos de encontrar tantas especies a la vez en el mismo lugar. Cada cocodrilo aparentemente tenía dietas diferentes y conductas distintas. Parece que se habían dividido los ecosistemas, cada especie aprovechándose de sus ventajas a su manera», comenta Hans Larsson, miembro del equipo de Sereno.
Según la interpretación de los fósiles, Sereno y Larsson plantean que estos primeros cocodrilos corrían erguidos en vez de arrastrando sus cuerpos. En su artículo, los autores sugieren que el más ágil de los nuevos cocodrilos descubiertos podía no sólo galopar en tierra sino que también desarrolló una cola para nadar con habilidad y velocidad en el agua, dos modos de locomoción que se han sugerido como características evolutivas de los pasados 200 millones de años.
«Mis cocodrilos africanos parecían tener tanto piernas ágiles erguidas para la tierra y una cola versátil para remar en el agua. Sus talentos anfibios en el pasado podrían ser la clave para comprender cómo proliferaron», concluye Sereno.
Fuente: abc.es, 20-11-09
-Termina con éxito la primera caminata del Atlantis
|
Los astronautas del transbordador Atlantis, Mike Foreman y Robert Satcher, han realizado la primera caminata de la misión STS-129 del Atlantis para colocar una antena en la Estación Espacial Internacional (EEI) y continuar con el avituallamiento del orbitador. Esa antena y los nuevos cables de conexión permitirán a la Estación Alfa mejorar las comunicaciones del complejo espacial con el control de la Tierra. También realizaron los preparativos en algunos segmentos externos de la EEI para recibir el módulo Tranquility que llegará en febrero del próximo año a bordo del Endeavour en el marco de la misión STS-130. En la excursión extravehicular (EVA) que terminó a las 21.01 GMT, con seis horas y 37 minutos de trabajo continuo, Foreman y Satcher hasta se dieron tiempo para finalizar tareas que habían quedado inconclusas en otras misiones y adelantar otras previstas para la segunda de las tres caminatas de la misión. "Todo se llevó a cabo sin mayores inconvenientes", dijo un funcionario de la NASA al referirse a la primera excursión extravehicular, que comenzó después de que Foreman y Satcher "acamparan" en la esclusa de aire Quest, que prepara su sistema sanguíneo para prevenir problemas de descompresión. |
|
La tripulación del Atlantis se acopló el miércoles a la estación espacial en una misión de 11 días en la que ha llevado 12.371 kilos de suministros y experimentos científicos. El transbordador dejará en el laboratorio japonés Kibo miles de gusanos microscópicos con un ADN muy similar al humano enviados por la universidad británica de Nottingham en un experimento concebido para determinar los efectos de la fuerza de gravedad sobre el organismo. La NASA tiene previstas otras dos caminatas espaciales para completar la instalación de dos plataformas exteriores y dejar todo listo para la instalación del último módulo estadounidense de la EEI. El sábado 21 de noviembre Foreman y Bresnik realizarán la segunda caminata y el lunes 23 Satcher volverá a salir, en esta ocasión con Bresnik, para quien también es su primera experiencia espacial
Fuente: publico.es, 20-11-09
-La máquina del "Big Bang" arranca tras 14 meses de parón
|
|
El mayor acelerador de partículas del mundo, que no ha funcionado más que unas horas desde que fue puesto en marcha en septiembre del año pasado, ha sido reiniciado este viernes tras 14 meses de parón debidos a una grave avería. Un primer haz de protones recorrió sin incidentes y antes de lo previsto la llamada máquina del Big-Bang. El LHC, joya científica de varios miles de millones de euros, debe permitir avanzar en el conocimiento de la composición de la materia y del universo. Sin embargo, la llamada máquina del Big Bang fue víctima de dos averías sucesivas unos días después de su lanzamiento, realizado por todo lo alto el 10 de septiembre de 2008. El primer incidente se produjo menos de 48 horas depués de su arranque. La segunda avería, el 19 de septiembre, se produjo por un fallo en los imanes supraconductores encargados de guiar las partículas dentro de los 27 km de circuito que el acelerador oculta bajo tierra a ambos lazos de la frontera francosuiza. Una vez que el LHC funcione a pleno rendimiento, presumiblemente a principios de 2010, producirá cientos de millones de choques frontales de partículas a una velocidad próxima a la luz. En ese momento se recrearán los instantes posteriores al Big Bang, lo que dará informaciones claves sobre la formación del universo y confirmará o rebatirá la teoría estándar de la física, basada en el bosón de Higgs. La existencia de esa partícula, que debe su nombre al científico que hace 30 años predijo su existencia, se considera indispensable para explicar por qué las partículas elementales tienen masa y por qué las masas son tan diferentes entre ellas. |
Fuente: elmundo.es, 20-11-09
-La explosión de un meteorito en Utah transforma la noche en día
Un inmenso y cegador fogonazo que convierte la noche en día. Las cámaras de seguridad de la Universidad de Utah han recogido lo que parece ser la caída de un meteorito la medianoche del miércoles sobre el estado norteamericano. El resplandor fue tan intenso que pudo ser visto a cientos de kilómetros, en Nevada, los Ángeles, Idaho o Wyoming, según han recogido diferentes webs y medios de comunicación.
Algunos testigos del fenómeno han apuntado a medios de comunicación locales que «un flash tornó la oscuridad de la noche en luz como si fueran las doce del mediodía, por algunos segundos». También han asegurado haber escuchado «una gran explosión» cuando la luz desapareció. La roca, aunque es difícil de medir, podría tener «el tamaño de la cabeza de una persona».
El meteoro explotó pasada la medianoche. Algunos expertos apuntan a que podría tratarse de una de las rocas de las Leónidas, una famosa lluvia de meteoros que cada año es visible por estas fechas cuando la Tierra atraviesa la cola de desechos del cometa Temple-Tuttle.
Las Leónidas se caracterizan por ser muy veloces (sobrevuelan el firmamento a una velocidad de 71 kilómetros por segundo, más de 50.000 por hora) y, generalmente, dejan una gran estela. En realidad se trata de una lluvia de desechos sobrantes del Temple-Tuttle. Cuando la órbita del cometa alcanza el punto más cercano al Sol, llamado perihelio, arroja una gran cantidad de material. Si la Tierra pasa en ese momento por la cola de desperdicios, la lluvia es monumental. Es lo que ocurrió durante los años siguientes a 1998. Así, 2000 y 2002 fueron años de «grandes tormentas». En estos momentos, sin embargo, se viven «los últimos coletazos» de ese fenómeno, con lo que el material visible es más disperso. Sin embargo, en Utah se han llevado una gran sorpresa.
Fuente: abc.es, 19-11-09
|
|
Los investigadores no se ponen de acuerdo sobre los orígenes del hombre de Flores, el «hobbit» de un metro de altura que vivió hace 18.000 años en la isla indonesia del mismo nombre. Se han barajado varias posibilidades sobre los restos, desde que pertenecen a un pigmeo con microcefalia -su cerebro es especialmente diminuto- hasta que nos encontramos ante una especie separada de los seres humanos. Un nuevo estudio viene a sumarse a la polémica con la hipótesis más sorprendente: el homo floresiensis es una especie humana nunca antes identificada y no una versión genéticamente defectuosa de los humanos modernos. Los restos de estos especímenes fueron descubiertos en 2003 por científicos australianos e indonesios en la remota isla de Flores. El hallazgo abrió un gran debate: ¿Quiénes eran estos seres de poco más de un metro, unos 25 kilos de peso, sin barbilla y un pequeño cráneo? Científicos del Centro Médico Stony Brook de Nueva York han realizado un análisis estadístico de los restos óseos bien conservados de una hembra para determinar que se trata de una especie distinta. Las conclusiones aparecen publicadas en la revista de la Royal Statistical Society. Los investigadoes William Jungers y Karen Eaab estudiaron los restos óseos de una mujer, apodada la «señora de Flores» o «Flo», para confirmar el camino evolutivo de la especie. El especimen, muy completo, incluía el cráneo, la mandíbula, brazos, piernas, manos y pies. Medía 106 centímetros de altura, menos que los pigmeos, que alcanzan de adultos los 150 centímetros, y su capacidad craneal era de poco más de 400 cm, más similar al cerebro de un chimpancé. Las características del cráneo y la mandíbula son mucho más primitivas que las de cualquier ser humano actual. Con la gran cantidad de restos fósiles disponibles, los científicos fueron capaces de reconstruir un diseño de cuerpo fiable que, según dicen, se diferencia de cualquier humano moderno. El fémur y la tibia son mucho más cortos que los nuestros, incluidos los pigmeos de África Central, los bosquimanos de África del Sur y los pequeños hombres de Andaman y Filipinas. Algunos investigadores, como el español Salvador Moyá, creen que este reducido tamaño puede tener que ver con una necesidad de reducir energiá al vivir en un medio, como lo es una isla, en la que los recursos son escasos. Para Jungers, esta teoría «tiene poco sentido».
|
Fuente: abc.es, 19-11-09
-Rusia busca provisiones para su nuevo "Gran Hermano" marciano
Rusia busca proveedores de comida, utensilios y ropa para los seis participantes en el simulacro de un vuelo a Marte, que a partir del primer semestre de 2010 permanecerán en un módulo científico de Moscú aislados del mundo exterior durante 520 días. Su alimentación será la misma que si estuvieran a bordo de la Estación Espacial Internacional. "
|
Se buscan socios proveedores de alimentos para el desayuno (papillas y diversos tipos de cereales, muesli y productos lácteos en polvo)", señaló un portavoz del Instituto de Problemas Biomédicos (IPBM) de la Academia de Ciencias de Rusia, a la agencia oficial RIA-Nóvosti. Asimismo se necesitan empresas que suministren diversos tipos de quesos blandos, patés de carne e hígado, postres de frutas, productos de pastelería y toda una serie de alimentos deshidratados y en conserva para los primeros y segundos platos, tentempiés, guarniciones, así como bebidas, también deshidratadas, agregó. Según el portavoz, las raciones de los participantes en la simulación de un vuelo al planeta rojo tienen que incluir una gran variedad de productos con fechas de caducidad no inferiores a dos años, debido a la larga duración del experimento. "Deben ser productos y alimentos preparados para su consumo, ya que en el simulador de la nave espacial la comida se podrá preparar únicamente en el microondas o añadiendo agua caliente o fría a los productos deshidratados", precisó. Asimismo, la tripulación del experimento necesitará otros artículos como ropa deportiva y zapatos, ropa de cama, vajilla de usar y tirar, servilletas, toallitas de papel y otros artículos de higiene personal, indicó. |
Los voluntarios que permanecieron en el múdulo durante 105 días. | ESA |
El pasado 14 de julio concluyó el simulacro de vuelo a Marte de 105 días, considerado la antesala del proyecto principal, el 'Marte-500'. El experimento de 105 días estuvo dividido en tres partes: el vuelo de la nave en la órbita terrestre, el vuelo a Marte y la estancia del aparato en la órbita marciana. El simulacro fue ideado para poner a prueba la compatibilidad psicológica y la tolerancia de los integrantes de la tripulación y permitir a los científicos estudiar día a día los efectos del aislamiento de larga duración. El objetivo es poder mandar en el futuro una misión que explore el planeta rojo, para lo que la tripulación tendrá que convivir durante casi dos años. Durante el proyecto principal, los seis voluntarios permanecerán en el simulador un total de 520 días, el tiempo del viaje de ida y vuelta a Marte, más una estancia simulada de 30 días en la superficie marciana.
Los voluntarios de este experimento tendrán que velar por su propia seguridad y ser autosuficientes durante todo el tiempo que dure su misión. Sobrevivir está en sus manos y no podrán contar con la ayuda del exterior del módulo, situado en Moscú.
Fuente: elmundo.es 19-11-09
-Los humanos recorrerán el espacio en veleros solares
En un futuro no muy cercano, es posible que los humanos surquen el Sistema Solar a bordo de transbordadores veleros capaces de aprovechar el leve impulso de los fotones de nuestra estrella. La idea, que ya fue propuesta en los años 20 del siglo pasado por el ingeniero ruso Fiedrich Zander, va a recibir un nuevo impulso en los próximos años después de décadas de investigación poco fructífera.
| El día del 75º aniversario del nacimiento del científico Carl Sagan, uno de los fundadores de la Planetary Society, esta organización estadounidense anunció que a lo largo de los próximos años lanzará tres prototipos para probar la viabilidad del concepto de la vela solar. El primero de ellos, LightSail-1, partirá dentro de un año y tendrá unos objetivos aparentemente humildes. Sólo navegará unas horas, durante las que intentará aumentar ligeramente su velocidad y elevar un poco su órbita, pero si lo logra, se convertirá en el primer artefacto que se propulsa sólo con velas solares. Intentos anteriores como Cosmos-1, de la Planetary Society y la agencia espacial rusa, o Nanosat-D de la NASA, fracasaron al estrellarse los cohetes que debían poner los satélites en órbita. El principio de las velas solares no aprovecha el conocido como viento solar un flujo de partículas ionizadas que despide el Sol, sino la propia luz. Se basa en que los fotones tienen una magnitud física llamada momento. Cuando estas partículas se reflejan contra la superficie de las velas, le transfieren su momento y su energía y le proporcionan una ligera aceleración. Aunque el impulso es muy leve, la aceleración es constante, a diferencia de lo que sucede con los cohetes de combustible químico, que se apagan cuando la nave alcanza velocidad de crucero, para ahorrar. A la larga este sistema de propulsión continua permitiría a una nave alcanzar una velocidad superior que con los motores convencionales y sin necesidad de combustible. |
|
LightSail-1, que será posible gracias a la donación de un filántropo anónimo, aprovechará los avances en nanosatélites de los últimos años. El artefacto volará en tres CubeSats pequeños satélites cúbicos con un volumen de un litro y pesará menos de cinco kilos. En uno de los cubos se instalará la electrónica y el módulo de control y en los otros dos se plegarán las velas. Una vez en órbita, a 800 kilómetros de altitud una distancia suficiente para escapar del rozamiento de las capas superiores de la atmósfera, que inutilizaría las velas, se desplegarán los 32 metros cuadrados de un tipo de poliéster llamado Mylar que deberán recoger el impulso del Sol.
Si el experimento tiene éxito, la Planetary Society tiene previsto lanzar dos prototipos más. LightSail-2, que trataría de alcanzar órbitas más elevadas, y LightSail-3, que viajaría hasta el punto L-1, un espacio a 1,5 millones de kilómetros de la Tierra.
Entre las grandes agencias, sólo la japonesa JAXA tiene un proyecto para probar velas solares a corto plazo. El año que viene tiene previsto lanzar IKAROS, una sonda que pretende probar durante medio año las posibilidades de las velas solares para acelerar y dirigir una sonda. A finales de 2010, JAXA lanzará una segunda misión, mucho más ambiciosa, que contará con una vela de 50 metros de diámetro y tendrá como destino Júpiter. Esta sonda no sólo se impulsará con los fotones: también contará con un motor de iones.
Perfeccionar el sistema de velas solares limitaría uno de los principales problemas de la exploración espacial: la gran cantidad de combustible que necesitan las naves. LightSail quiere probar que algún día existirán veleros en el firmamento.
Fuente: publico.es, 19-11-09
-El acceso a internet de un mega será un derecho en el 2011
A partir del 1 de enero de 2011 cualquier ciudadano que lo solicite, independientemente de su lugar de residencia, tendrá derecho a contar con un acceso a Internet con una velocidad mínima de 1 megabit por segundo (Mbps). El Gobierno ha decidido convertir la banda ancha en un derecho, incluyéndola dentro de las obligaciones del servicio universal de telecomunicaciones, el conjunto de prestaciones básicas que tienen que ser aseguradas en todo el territorio, que ahora sólo contempla tener una línea fija, derecho a la guía telefónica, cabinas públicas y acceso para discapacitados.
La medida supone en el plano legislativo una revolución puesto que hasta ahora habían sido en vano todos los intentos de universalizar el acceso a Internet. Desde el punto de vista práctico, las consecuencias son más modestas, ya que de los 9,5 millones de accesos de banda ancha sólo 39.000 de ellas lo hacen a una velocidad inferior a 1 mega. No obstante, supondrá un impulso para que las compañías tiendan nuevas redes y se acorte la brecha digital que se mantiene entre España y los países más avanzados.
No será fácil implantar la nueva obligación. El Gobierno deberá modificar la Ley General de Telecomunicaciones o, en su defecto, el reglamento que regula el servicio universal. Posteriormente, deberá convocar uno o varios concursos para adjudicar la prestación del mismo. Y aquí es donde se genera el principal problema. Sin subvenciones públicas, ningún operador está interesado en prestar este servicio en zonas rurales o con escasa población, ya que es altamente deficitario. Por lo que, como ha ocurrido con el actual servicio universal, es muy probable que los concursos queden desiertos. El Ejecutivo se verá entonces obligado a adjudicar por decreto esa prestación a una operadora. Hasta ahora siempre ha elegido a Telefónica.
El segundo problema es quién se hace cargo de los gastos. Hasta la fecha, la Comisión del Mercado de Telecomunicaciones calcula cuánto cuesta, año por año, el servicio universal y distribuye el importe entre varias compañías, atendiendo a sus cuotas de mercado. En 2006, último año para el que se realizó el cálculo, el servicio universal costó 75,3 millones, de los que el 71% fueron asumidos por Telefónica, y, el resto, por Vodafone y Orange.
Las compañías, a través de su asociación Redtel, ya han manifestado su rechazo a la medida. Entienden que, una vez más, el Gobierno extiende derechos a sus expensas como ha ocurrido con la reciente obligación de identificar las tarjetas prepago, promovida por el Ministerio del Interior, pero sufragada por las operadoras.
El ministro de Industria, Miguel Sebastián, que hizo el anuncio en la inauguración del III Foro Internacional de Contenidos Digitales (Ficod), no ayudó a despejar las dudas, y se limitó a indicar que, dependiendo del interés que exista por parte de las empresas para ser designadas como operadora del servicio universal, se convocarán los concursos necesarios por elementos y zonas geográficas.
Al margen de las quejas, la medida puede servir para revitalizar el mapa de la banda ancha en España, donde sólo el 11% de los internautas abonados disfrutan de una velocidad superior a los 10 megas. Una triste realidad si se compara con países como Japón, donde la velocidad comercial es 100 Mbps, a un precio de 34 euros mensuales, por el que aquí se consiguen, con suerte, 3 megas.
El otro gran anuncio del Ficod fue protagonizado por la ministra de Cultura, Ángeles González-Sinde, quien confirmó que el Gobierno impulsará el lanzamiento de la macroweb que prepara la industria audiovisual y los grandes estudios estadounidenses para posibilitar las descargas legales de películas [ver EL PAÍS del 11 de octubre]. El Gobierno puso esta condición como paso previo a una regulación de las descargas gratuitas a través de programas P2P de intercambio de archivos.
Fuente: elpais.com, 18-11-09
|
Un proyecto presentado por tres estudiantes de la Universidad de Las Palmas de Gran Canaria ha sido seleccionado entre las 20 mejores aplicaciones en la categoría de ‘Estilo de Vida’ en el concurso internacional promovido por Google denominado Android Developers Challenge, destinado a fomentar el desarrollo de aplicaciones para la plataforma móvil de última generación Android. El proyecto ha sido presentado por los alumnos: Roberto Díaz Ortega, estudiante de doctorado del Instituto Universitario de Microelectrónica Aplicada (IUMA) de la ULPGC; Gema Socorro Rodríguez, estudiante de Máster; y Óscar Socorro Santana, estudiante de Ingeniería Técnica en Diseño Industrial Según informa la ULPGC, la aplicación desarrollada se ha denominado DJ’it y consiste en una aplicación musical, fácil y cómoda de usar que permite usar un dispositivo móvil como si se tratase de una mesa de mezclas profesional. Entre las posibilidades de esta aplicación, destacan: la creación de listas de reproducción, la mezcla de dos canciones en tiempo real gracias a la existencia de dos canales de reproducción, un compositor de samples o sonidos grabados; el contacto con el resto de usuarios a través de su propia comunidad virtual, observando en un mapa los lugares en los que se esta utilizando dicha aplicación en tiempo real, etcétera. Las votaciones para elegir la mejor aplicación del concurso seguirán efectuándose hasta finales del mes de noviembre, cuando un jurado de expertos designado por Google determine cuáles son las aplicaciones finalistas |
Dj´it, la idea canaria para Googl |
Fuente: canarias7.com, 18-11-09
-"La existencia de extraterrestres es una idea cuyo tiempo ya ha llegado"
«Tenemos ahora, por vez primera, los instrumentos necesarios para establecer contactos con civilizaciones en los planetas de otras estrellas», escribía en ABC, en junio de 1975, Carl Sagan, popular astrónomo y divulgador científico de Estados Unidos. Este pionero en el estudio del origen, presencia e influencia de la vida en el Universo, más allá de la Tierra, y promotor del proyecto SETI (literalmente «Búsqueda de inteligencia extraterrestre»), lo hacía en un amplio reportaje, titulado «La vida extreterrestre, a examen», en el que analizaba la posibilidad y necesidad de buscar vida en otros planetas.
Tan sólo unos meses antes, el 16 de noviembre de 1974, hace justo 35 años, el recién remodelado y gigantesco radiotelescopio de Arecibo enviaba el primer mensaje dirigido a otros mundos. Aquella «llamada» al espacio exterior, diseñada por Sagan y el astrónomo Frank Drake, entre otros expertos, contenía información sobre la situación del Sistema Solar, del planeta Tierra y del ser humano.
La idea estaba clara para Sagan: «Si el origen de la vida en la Tierra resulta haber sido extraordinariamente fácil, las probabilidades de que existe vida en otros lugares serán también grandes», aseguraba el científico.
«El mensaje de Arecibo», así pasó a la historia, tenía una longitud de 1679 bits y fue enviado en la dirección del cúmulo de estrellas de «Hércules», descubierto por el astrónomo inglés Edmond Halley en 1714.
El número 1679 fue elegido porque es el producto de dos números primos, por lo que sólo se podía descomponer en 23 filas y 73 columnas o 23 columnas y 73 filas. De esta forma, si en un futuro el receptor extraterrestre organiza la información de la primera manera no generará ningún tipo de información coherente, pero si lo hace de la segunda manera, obtendrá la información sobre nuestro planeta y la especie humana. Leído de la manera correcta presenta los números del uno al diez, los números atómicos del hidrógeno, carbono, fósforo, nitrógeno y oxígeno, todos ellos como ponentes del ADN del homo sapiens sapiens, que era la especie que enviaba el mensaje. También incluía las fórmulas de los azúcares y el número de nucleótidos en el ADN, así como su estructura helicoidal doble, una figura del ser humano y su altura, la población de la Tierra, el Sistema Solar y, como no, una imagen del radiotelescopio de Arecibo con su gigantesco diámetro… el gran protagonista.

Telescopio de Arecibo
«Es un hecho sorprendente que el gran radiotelescopio, de 300 metros de diámetro del Centro Nacional de Astronomía y lonosfera, que la Universidad Cornell tiene en Arecibo, podría comunicarse con una réplica idéntica del mismo, en cualquier lugar de la Vía Láctea», escribía Sagan en la edición del 29 de junio de 1975, donde explicaba, al respecto, que se contaba ya con los medios para comunicarse, «no simplemente a distancias de centenares o miles de años luz, sino de docenas de miles de años luz, en un espacio que contiene centenares de miles de millones de estrellas».
Aunque el «mensaje de Arecibo» fue el primero que abordó el intento de comunicarse con otros planetas, ya desde 1959 los científicos ingles advirtieron la necesidad de «ponerse a la escucha de posibles mensajes extraterrestres», a los que siguieron una decena de observatorios de Estados Unidos, URSS, Canadá y Gran Bretaña. En 1965, los soviéticos anunciaban la recepción de emisiones radioeléctricas que, dijeron, procedían de una estrella situada a millares de años luz de la Tierra. Aunque la noticia se cogió con escepticismo en Occidente, la Unión Internacional de Telecomunicaciones (UIT), organismo de la Naciones Unidas encargado de regular las telecomunicaciones a nivel internacional, afirmó que no se podía descartar totalmente la posibilidad de que las señales hubieran sido realmente «enviadas por una raza superiormente evolucionada y a la que somos incapaces de comprender».
Sin embargo, el histórico «mensaje de Arecibo» de Sagan, Drake y los demás científicos se estima que tardará 25 milenios en llegar a su, a los que habría que sumar otros 25 de vuelta. Eso significa que la respuesta sólo llegaría, en caso de haberla, hacia el año 51.974… en fin.
Fuente: abc.es, 18-11-09
La esperanza ni siquiera duró un segundo. El último intento de la NASA para rescatar al vehículo Spirit, atrapado en la arena de Marte desde el pasado mayo, ha resultado de lo más frustrante. Siguiendo las órdenes de los responsables del proyecto desde el Laboratorio de Propulsión a Chorro en Pasadena (EE.UU.) (Jet Propulsion Laboratory, JPL), el rover hizo un amago de movimiento para salir de su trampa pero se paró antes de que pasaran sesenta segundos. Es una pena, ya que hace tan sólo unos días había dados sus primeras muestras de actividad. En estos momentos, el robot espera nuevas instrucciones, pero todo apunta a que las dificultades para insuflarle vida van a ser numerosas.
|
El Spirit debía realizar dos movimientos hacia adelante, girando sus
ruedas tres revoluciones cada vez. Si el rover hubiera estado en tierra
firme habría sido capaz de recorrer más de 4,5 metros. Sin embargo, el
terreno marciano en el que está aprisionado es movedizo, y
la
máquina se detuvo por seguridad cuando sus ruedas realizaron una
inclinación lateral superior a un grado, un esfuerzo mayor a los
límites permitidos.
Con cautelaLos
ingenieros creen que es mejor actuar con cautela y hacer pequeños
intentos antes de forzar la máquina y enviar al rover al desastre. Ya en
su día, advirtieron de que el rescate podría durar semanas o meses, con
la posibilidad de que no tuviera éxito y el viejo Spirit acabara sus
días en una tumba de arena.
Los
trabajos se realizarán hasta febrero. Si no hay resultados, los
ingenieros desistirán.
Uno de los mayores impedimentos para el rescate es la composición del
terreno marciano. Una parte del vehículo está asentada en arena
basáltica mezclada con polvo de óxido de hierro -típico del Planeta
Rojo-, y otra parte está hundida en arenas ricas en sulfatos. Por si
fuera poco, una roca puede rozar su parte inferior, lo que complicaría
aún más la posibilidad de escape, y las tormentas de polvo han cubierto
los paneles del rover y han reducido su energía a un nivel mínimo.
|
![]() |
Fuente: abc.es, 18-11-09
-Fracasa el primer intento en Rumanía de llegar en globo a la Luna
El primer intento de enviar un cohete a la Luna por medio de un globo se saldó el pasado lunes con un rotundo fracaso. Se trataba de las primeras pruebas realizadas por la Asociación Rumana de Aeronáutica y Cosmonáutica (ARCA) con un «globo lanzador» o «rockoon» que habría tenido que transportar un cohete de combustible sólido hasta las capas altas de la atmósfera para que, una vez allí, encendiera sus motores y viajara hasta nuestro satélite. Si lo hubiera logrado, ARCA habría tenido posibilidades de llevarse los 30 millones de dólares que ofrece Google al primer equipo financiado con fondos privados que consiga enviar un robot a la Luna, hacer que recorra por lo menos 500 metros y que transmita desde allí vídeo, imágenes y datos a la Tierra.
|
El globo no logró ascender en el aire |
|
La operación, sin embargo, terminó casi antes de empezar al enredarse los «brazos infladores» con el material plástico del globo que debían inflar. Los brazos tuvieron que ser cortados, uno por uno, y la operación, para la que se utilizó una fragata de la Marina, tuvo que ser suspendida. La asociación rumana, sin embargo, no se rinde, y pretende seguir optando al Google Lunar X PRIZE. Por ello, ha anunciado que tiene toda la intención de seguir utilizando su curioso sistema para depositar en la Luna un igualmente único vehículo de forma ovalada. Una completa colección de fotos de toda la operación ha sido colocada por Arca en Picasa.
Los «rockoons» fueron ampliamente probados (y después abandonados) por los Estados Unidos en la década de los cincuenta del pasado siglo, ya que los globos estallaban y se descontrolaban en cuanto soplaba algo de viento. Sin embargo, Arca ha recuperado la idea y la ha llevado un paso más allá al utilizar el sistema para remolcar una serie de cohetes por medio de un cable.
Un puro inflado
El European Lunar Explorer (ELE) concebido por Arca funciona, en teoría, de una forma sencilla. Un enorme globo remolca hasta unos 18 km de altura un sistema de tres cohetes. Los dos primeros se activan secuencialmente y transportan su carga útil hasta una obita terrestre baja. La tercera y última ignición debería después generar el suficiente impulso como para llegar hasta la Luna.
Una vez conseguido, el ELE liberará sobre nuestro satélite su módulo Lunar Lander, cuya forma recuerda a un puro inflado y cuya misión es la de garantizar un aterrizaje suave. Para entender el funcionamiento del sistema lo mejor es ver el vídeo bajo estas líneas.
El pasado lunes, pues, los rumanos cargaron todo el equipo a bordo de una fragata de la marina, la Constanta, que llevó a su tripulación al completo hasta el lugar de lanzamiento, en pleno Mar Negro. Sin embargo, y nada más comenzar a inflar el globo, todo el mecanismo se enredó y la operación tuvo que ser suspendida. El enorme y negro globo calienta su aire gracias al sol (en lugar de usar quemadores), y por ello debe usarse sólo durante el día.
Fuente: abc.es, 18-11-09
La preocupación por el cambio climático es cada vez mayor, más aun cuando los análisis de los científicos no auguran nada bueno para el planeta. Según un nuevo estudio, el más amplio hasta la fecha, la temperatura global se incrementará hasta 6 grados a finales de este siglo por el aumento de las emisiones de CO2 y la capacidad de la Tierra para absorber los gases. Los científicos aseguraron que las emisiones de CO2 han aumentado en un 29% en la última década y piden una acción urgente por parte de los dirigentes en la negociaciones sobre el clima de la ONU en Copenhague. Es neceario reducir drásticamente las emisiones con el fin de evitar un cambio climático peligroso.

El bajo nivel del agua de la presa de Milluni, en Colombia. |Efe
El informe se produce pocos días después de que el presidente de EEUU, Barack Obama, y su homólogo chino, Hu Jintao, acordarán no reducir las emisiones, pero sí buscar soluciones. Una respuesta muy pobre teniendo en cuenta la grave situación por la que pasa el planeta.
"Las tendencias globales demuestran que se incrementará 6 grados la temperatura. Un valor muy por encima de los dos grados que deberían ser. Por tanto, se exige que las emisiones de CO2 mundiales per capita se reduzcan una tonelada en 2050. En la actualidad un ciuadano estadounidense emite 19,9 toneladas al año y un británico 9,3", explica Corinne Le Quéré, de la Universidad de East Anglia, quien dirigió el estudio.
El trabajo de Le Quéré, que forma parte del proyecto Global Carbon Project, muestra que las emisiones de CO2 procedentes de la quema de combustibles fósiles han aumentado un promedio de 3,4% anual entre 2000 y 2008 en comparación con el 1% del decenio de 1990. A pesar de la desaceleración económica mundial, las emisiones aumentaron un 2% en 2008. La gran mayoría de este incremento procede de China y la India, aunque una cuarta parte de sus emisiones son el resultado directo del comercio con Occidente. En los últimos años, el uso mundial de carbón también ha superado al del petróleo.
Para Le Quéré, la cumbre de Copenhague es la última oportunidad de llegar a un acuerdo global que podría reducir las emisiones de dióxido de carbono en un curso de tiempo suficiente apra que el incremento de la temperatura no llegue a esos seis grados. "La conferencia de Copenhague del próximo mes en mi opinión es la última oportunidad de estabilizar el clima y la temperatura por encima de los niveles preindustriales en un modo suave y organizado", dijo. Si el aumento de dos grados ya se considera peligroso , es evidente que un aumento de seis grados en la temperatura global es muy grave, escribe Michael McCarthy.
Su veredicto fue que un aumento de las temperaturas de esta magnitud "catapultaría al planeta en un estado extremo de efecto invernadero que no se ha visto desde hace 100 millones de años, cuando los dinosaurios pastaban en selvas tropicales y desiertos polares en el corazón de Europa".
Fuente: elmundo.es, 18-11-09
Barack Obama llegó a la Casa Blanca con el propósito de convertirse en el presidente más verde de Estados Unidos. Independientemente de que lo logre en algún momento de su mandato, está claro que va a tardar algo más de lo previsto en cumplir sus promesas. La recesión, Afganistán y, sobre todo, la reforma sanitaria han aplazado hasta el año que viene las ambiciones medioambientales de Obama, a pesar de que el premio Nobel de la Paz que se le concedió el pasado octubre aseguraba que, gracias a su iniciativa, "EEUU está jugando un papel más constructivo en encarar los grandes desafíos climáticos que afronta el mundo".
|
El presidente de EEUU, Barack Obama, durante un discurso en el museo de Ciencia y Tecnología en Shanghai. |
Y el propio Obama respondió: "No podemos aceptar un mundo acechado por el cambio climático y por eso todos los países deben tomar responsabilidades". Pero el pasado fin de semana, en Singapur, Obama tuvo que reconocer, junto a otros líderes asiáticos, que de momento la cumbre de Copenhague será tan sólo un paso preliminar en la búsqueda de una solución contra el cambio climático. La reunión de diciembre debía fijar un marco global de recorte de emisiones de dióxido de carbono (CO2) antes de que expire, en 2012, la primera fase del protocolo de Kioto. "Hubo una evaluación de los líderes de que no era realista esperar que un tratado completo, legalmente vinculante en el ámbito internacional, pudiera ser negociado en tan poco tiempo", dijo Michael Froman, segundo asesor de seguridad nacional de Obama en temas de economía internacional. En su lugar, la cumbre de Copenhague servirá para crear un acuerdo "políticamente vinculante" que exprese la voluntad de los líderes de seguir adelante. Pero los compromisos específicos se dejarán para otra cumbre posterior, en México, el próximo año. |
Aunque EEUU no es el principal responsable del fracaso, lo cierto es que en los últimos meses, la voluntad medioambiental de un Washington desbordado por la recesión, las guerras y la reforma del sistema sanitario, ha menguado considerablemente. Durante la reunión del G-20 de septiembre, los países europeos ya mostraron su malestar por el hecho de que Obama decidiera retrasar sus iniciativas verdes en el Congreso hasta el año que viene, para resolver la mayor reforma del sistema de salud en EEUU en el último medio siglo
Y no es que el Gobierno Obama se haya quedado de brazos cruzados, pero las inercias son difíciles de romper. Muchos congresistas incluso demócratas no quieren dar un paso sin obtener antes garantías de China, mientras muchos en Europa esperan que EEUU lidere la iniciativa. El resultado es la parálisis. Y sin embargo, las cosas avanzan. El pasado junio, la Cámara de Representantes aprobó en una ajustada votación una histórica ley de protección del clima que obligaría a las empresas estadounidenses a limitar las emisiones de gases de efecto invernadero.
El proyecto (que el Senado no empezará a debatir hasta el año que viene) establece la creación de un sistema conocido como cap and trade, que fija límites máximos y de venta de derechos de emisión de CO2 entre empresas, un sistema similar al que existe en la UE. También prevé una reducción de las emisiones del 17% por debajo del nivel de 2005 para 2020. Asimismo, Obama ha hecho de las energías renovables parte integrante del plan de rescate económico.
Fuente: publico.es, 17-11-09
-Juan Pérez Mercader en el Gabinete Literario de Las Palmas de G.C
|
Los asistentes al "Café Científico" antes de empezar la charla en el salón Oriente del Gabinete Literario |
Juan Pérez Mercader fue el ponente del "Café Científico" que se llevó a cabo en el concurrido salón Oriente del Gabinete Literario de Las Palmas de G.C dentro de las "Semana de la ciencia y la innovación" que se están celebrando en Canarias. "La evolución del universo y la vida". Este astrofísico, experto en física multiescalar aplicada a la astrofísica y cosmología, explicó de manera sencilla a los asistentes, que mientras, disfrutaban metiéndose entre pecho y espalda dulces, zumos y cafés, la evolución del universo desde el "Big Bang" hasta la actualidad. El tema del que habó se titulaba : Su charla fue una invitación para viajar a través del tiempo y el espacio dentro de unas escalas que aumentaban de manera inversamente proporcional a la de nuestra infinitesimal existencia. Primero la creación, luego la aparición de los primeros átomos, más tarde las primeras estrellas, la galaxias... nuestro sol, la Tierra, la vida y finalmente nosotros y el mundo que nos rodea. Ayudado de gráficas, imágenes y animaciones, Juan Pérez iba ilustrando el periplo. |
Juan Pérez Mercader, en el centro de esta borrosa fotografía, durante la presentación |
En una de estas, dejó el micro y extendió sus brazos, para decirnos a viva voz: "Miren, el universo tiene 13 mil millones de años. Imagínense que eso queda representado en la distancia que va del anular de mi mano derecha al anular de mi mano izquierda".
En esa extraña escala de tiempo-longitud dibujó el cronograma de la existencia del universo. La humanidad, dijo al final, no era más que unas limaduras de la uña del anular de la mano izquierda.
Entre los comentarios que hizo Juan Pérez Mercader destacaría el porcentaje de vida microscópica y de virus en términos de biomasa y biodiversidad: el 80%. Un concepto interesante fue el de sistemas emergentes, muy relacionados con la aparición y posterior evolución de la vida. Este tipo de sistemas dependen de la cantidad de elementos existentes y de la energía que los dinamizan. La complejidad aumenta conforme aumentan ambos factores, hasta que se llega a unos valores en los que decae la complejidad o se estabiliza. También fue sorprendente una gráfica de un colega suyo que Pérez Mercader nos mostró. En ella se podía apreciar que la evolución del universo aumentaba sus formas complejas siguiendo un desarrollo exponencial. La pendiente se hacía muy acusada conforme se acercaba a la época actual. La mayor complejidad del universo se había producido en un plazo de tiempo muy reducido.
Tras más de dos horas, con los vasos y tazas vacías, aunque había pasteles en algunas bandejas, todavía hubo tiempo y ánimos para las preguntas. Se habló del metano de Marte y de su posible origen geológico; de la rápida aparición de la vida; del periodo de rotación y traslación de la Luna; de Gaia y el universo antrópico; de la posible explicación matemática de la vida; de la utilidad y peligrosidad de todo lo que habíamos escuchado; de Darwin, Newton, Galileo, el Papa (amigo de Pérez Mercader), por supuesto, de Dios y del otorrino del ponente...
A eso de las 10:30 se dio por finalizada la charla que muy bien podría haber continuado hasta las tantas con cena incluida.
Fuente: El Aleph, 17-11-09
-El Atlantis transporta un millón de gusanos para experimentos científicos
El transbordador Atlantis, que partió con éxito el pasado lunes desde Cabo Cañaveral, en Florida, con destino a la Estación Espacial Internacional (ISS), lleva una carga muy especial: alrededor de un millón de gusanos que deberán compartir el espacio vital de la nave con los seis astronautas que viajan a bordo.

No habrá problemas, ya que los gusanos, de tamaño microscópico, forman parte de una investigación de la Universidad de Nottingham para conocer cómo el cuerpo construye y pierde masa muscular. Los animales, escogidos por sus similitudes con el ADN de los huamnos, serán colocados en el módulo experimental Kibo de la plataforma orbital, donde sufrirán las mismas condiciones de ingravidez que pueden causar en los astronautas una fuerte pérdida de masa muscular, uno de los mayores problemas de salud de los hombres y mujeres que van al espacio. Este riesgo será aún más considerable cuando las misiones tripuladas a la Luna o a Marte sean una realidad. Las investigaciones también podrían ayudar a los científicos a conocer más sobre los pacientes con distrofia muscular o que deben permanecer largas temporadas inmovilizados.
El gusano «astronauta», el Caenorhabditis elegans (C. elegans), viene de vertederos de Reino Unido y Japón y se alimenta de las bacterias que crecen en la descomposición de los vegetales. Es terriblemente resistente. Otros como ellos sobrevivieron a la catástrofe del transbordador espacial Columbia en 2003 y se recuperaron totalmente semanas después.
La tripulación del Atlantis se enfrenta a una misión compleja y con múltiples tareas que durará once días. Sus principales objetivos serán entregar a la estación orbital 13.000 kilos de carga, especialmente grandes piezas de repuesto, realizar tres caminatas espaciales a contrarreloj y preparar la llegada del último módulo estadounidense que se sumará al complejo científico a finales de año.
Fuente: abc.es, 17-11-09
-El transbordador Atlantis despega con éxito
El transbordador Atlantis de la NASA despega con éxito desde Cabo Cañaveral en la que supone su trigésimo primera y penúltima misión. Su objetivo principal es instalar nuevos componentes en la ISS, en una misión de 11 días en la que realizarán tres caminatas espaciales. El Atlantis partió el lunes a las 20:28 (hora peninsular española) desde el Centro Espacial Kennedy, del sur de Florida, con seis astronautas que irán al encuentro de otros seis que residen en la Estación Espacial Internacional (ISS). Todo salió según lo previsto, en medio de unas condiciones meteorológicas óptimas.
|
El Atlantis durante el despegue. | Reuters |
Los tres transbordadores de la flota de la NASA -los otros dos son el Discovery y el Endeavour- se jubilarán en uno o dos años. Dos de estas naves de la flota original -el Challenger y el Columbia- se destruyeron en accidentes que costaron la vida a 14 astronautas. El objetivo de la misión del Atlantis, que orbita a unos 385 kilómetros, es trasladar e instalar nuevos componentes de la Estación Espacial, incluyendo un giroscopio de repuesto, y nuevos equipos para realizar experimentos científicos. Los seis hombres del Atlantis comandados por Charlie Hobaugh, compartirán con los seis inquilinos del complejo orbital el problema causado por una avería en un sistema que reprocesa la orina de los astronautas para la obtención de agua potable. El portavoz de la NASA, Kelly Humphries, explicó que si no se puede reparar el sistema, los astronautas deberán recurrir a bolsas de plástico para el depósito de orina, o repartirse los dos inodoros que hay en la ISS o el único del Atlantis. De todos modos, dijo Humphries, la estación espacial tiene agua suficiente como para las necesidades de los astronautas hasta dentro de seis meses, con o sin el sistema de reprocesamiento.
|
Fuente: elmundo.es, 16-11-09
Trescientos millones de grados. Esa es la temperatura récord medida por el telescopio de rayos X con el que está equipado el satélite japonés Suzaku. Se trata de una nube de gas ardiente que rodea a todo un enjambre de galaxias (denominado RXJ1347), a cinco mil millones de años luz de distancia, en la constelación de Virgo. Esta es, por el momento, la mayor temperatura jamás medida por los astrónomos en todo el Universo.

Los investigadores han combinado sus resultados con las imágenes obtenidas de la misma región de espacio por el Telescopio Espacial Chandra, de la NASA, que también opera en la longitud de onda de los rayos X. Y han encontrado que el gas super caliente está en el interior de una zona de 450.000 años luz de tamaño que brilla de forma especialmente intensa.
Los astrónomos no saben la razón por la que este gas es varias veces más caliente que el medido antes alrededor de otras galaxias. De lo que no cabe duda es de que se trata del material más caliente encontrado hasta la fecha, y de la mayor temperatura conocida desde los lejanos tiempos del Big Bang, hace 13.700 de años.
Lo más violento desde el Big Bang
Para hacerse una idea de lo que significan trescientos millones de grados baste con pensar que el núcleo fundido de la Tierra «sólo» está a unos 5.400 grados centígrados, y que las temperaturas en el corazón mismo del Sol no superan los quince millones de grados. La cuestión es averiguar qué es lo que está provocando un calentamiento de esta magnitud, lo que no resulta una tarea fácil.
Por el momento, la mejor explicación hallada para este extraordinario fenómeno es que en esa lejana región del Universo existen grupos de galaxias en plena colisión entre ellos. Y a una velocidad que es muy superior a la que se da en situaciones análogas observadas en otros lugares. En RXJ1347 las galaxias están chocando unas contra otras a una velocidad superior a los 4.000 km. por segundo, y esa podría ser la explicación más plausible para que se produzcan esas extraordinarias temperaturas.
«Es un acontecimiento terrible -afirma Naomi Ota, de la Universidad de Ciencias de Tokio-. Estas colisiones entre grupos de galaxias son, en términos de energía, los episodios más violentos del Universo desde los tiempos del Big Bang».
Fuente: abc.es, 16-11-09
-Comienza la vacunación contra la gripe A en España
La vacunación contra el virus H1N1 ha comenzado en España con gran expectación mediática -más que ciudadana-, miedo en algunos a los efectos secundarios y cierto escepticismo entre quienes han sido incluidos por las autoridades sanitarias en los grupos de riesgo: enfermos crónicos, trabajadores de los servicios públicos esenciales y profesionales sanitarios. Las embarazadas, también incluidas en esta población candidata a recibir el pinchazo, podrán vacunarse en los próximos días, cuando la vacuna sin adyuvantes (400.000 dosis), que acaba de ser aprobada por Sanidad, esté disponible.
Desde primera hora de la mañana, a los centros sanitarios españoles fueron llegando los pacientes que en días anteriores habían sido citados para recibir la vacuna. La primera jornada ha transcurrido con normalidad. No hubo avalanchas ni psicosis, aunque sí conversaciones recurrentes sobre el virus en los pasillos de los ambulatorios.
"No hay riesgo alguno o no la pondrían". En el centro de salud Eloy Gonzalo, situado en el madrileño barrio de Chamberí, Pino se muestra deseosa de recibir la vacuna contra la gripe A. Con 75 años, esta paciente crónica ha sido una de las primeras en inmunizarse.
Próximo a ella estaba Miguel, que llevaba desde septiembre esperando la llegada de la vacunación. Sin un pulmón, la salud de este enfermo se ve amenazada ante la gripe, tanto la A como la estacional. De hecho, al no estar inmunizado frente al virus A/H1N1 no pudo ver durante más de una semana a sus nietas pequeñas, que enfermaron hace algunos días.
Lo cierto es que los comentarios en la primera jornada de vacunación contra la gripe A han sido muy similares. La mayoría de la población de riesgo que ha acudido a los centros ha expresado su confianza en el sistema sanitario y ha destacado su deseo de no padecer una enfermedad que, según cada caso, podría dañar su salud o la de los que les rodean.
No obstante, la llamada no ha calado en todos. Hay un sector al que le preocupan los posibles efectos adversos del fármaco, pese a que las autoridades sanitarias y también expertos no dudan en afirmar que no existe peligro alguno.
"La vacuna es segura para todos los grupos de riesgo", ha asegurado Trinidad Jiménez, quien señaló que la campaña de vacunación lleva en marcha en Suecia desde el 12 de octubre sin efectos secundarios mayores que "enrojecimiento en el lugar del pinchazo, síntomas parecidos a la gripe, subida de la fiebre...".
Durante un mes o mes y medio se prevé inmunizar entre un 15% y un 20% de la población. En total, son 10 millones de personas las que conforman la "población diana" llamada a vacunarse antes de la llegada del invierno. Y, aunque estos grupos de riesgo no están obligados a ponerse la vacuna -recibir el fármaco es voluntario-, la ministra de Sanidad apela a la responsabilidad de quienes se encuentran entre los colectivos diana.
Este llamamiento se centra principalmente en el personal sanitario, un colectivo ya de por sí reacio a vacunarse para la gripe estacional. Es una "obligación ética" para evitar el contagio a los pacientes, ha declarado el presidente del Consejo General de Enfermería de España, Máximo González Jurado, quien predicó con el ejemplo en Sevilla.
España ha comprado desde julio 37 millones de dosis de la vacuna (Focetria, de Novartis; Pandemrix, de GlaxoSmithKline, y Panenza, de Sanofi Pasteur, para las embarazadas) una operación que costó a las arcas públicas 270 millones de euros. Desde que la gripe A llegó a España ha matado a 88 personas y ha infectado a más de medio millón.
Noticia en "España Directo", RNE:
Fuente: elmundo.es, RNE, 16-11-09
-Conmemoran los 100 años de Volcán Chinyero. la última erupción de Tenerife
Los vecinos del municipio tinerfeño de Santiago del Teide conmemoraron este fin de semana el centenario de la erupción del volcán Chinyero, última registrada en la isla de Tenerife y cuya lava bordeó varios núcleos poblacionales del valle de esta zona. En peregrinación, los vecinos acompañaron a la imagen de Santa Ana desde la iglesia de Tamaimo hasta El Calvario, en Las Manchas, como hicieron las gentes del lugar hace cien años. En un punto del camino se escenificó la recreación del "milagro" que hizo desviar la lava del pueblo con la presencia de la Virgen, según cuenta la leyenda. Esta manifestación religiosa se ha mantenido, año tras año, desde 1909. Las palomas mensajeras y el telégrafo ubicado en Guía de Isora, a pocos kilómetros, fueron los medios de transmisión de este suceso. Precisamente en Guía de Isora se celebró igualmente este fin de semana "la fiesta del volcán", la única en España en que se rinde tributo a una montaña volcánica. En este pueblo, hace un siglo, también se sacó la Virgen de la Luz a la calle y se le ofrecieron joyas para que paralizase el avance de la lava, cuentan los vecinos. En ese entonces, en los primeros momentos de la erupción, "nadie sabía lo que pasaba", añaden.
|
Volcán Chinyero en Erupción |
|
Fuente: EFE, 16-11-09
-"El espacio es un instrumento político"
El pasado 22 de octubre, la Comisión Augustine, el grupo de expertos designado por Barack Obama para estudiar el futuro de la exploración espacial de EEUU, publicó su informe definitivo. Si no hay un incremento de 3.000 millones de dólares en el presupuesto de la NASA, el futuro de los humanos en el espacio seguirá unido a la órbita terrestre y el sueño de llegar a Marte se aplazará varias décadas.
Al día siguiente, representantes de los estados miembros de la Agencia Europea del Espacio (ESA) y de la Unión Europea (UE) se reunieron en Praga en la primera Conferencia ESA-UE sobre Exploración Espacial Humana para comenzar a definir una visión común y un plan espacial estratégico para Europa. Maurici Lucena, el español que preside el Consejo de la ESA, explica que las concreciones fueron pocas, pero asegura que los estados miembros están convencidos de que la inversión en el espacio no se considera superflua. Ahora, tendrán que convencer a los ciudadanos.
En Praga se reunieron para fijar una visión común de la exploración espacial para Europa. ¿No existía hasta ahora?
La visión común tiene que ver con la incorporación política formal de la UE a través de la Comisión [el órgano de gobierno europeo] a la exploración espacial. No es que Europa careciese de una visión común, pero la tenía a través de la ESA. A raíz del tratado de Lisboa, la UE incorpora por primera vez la exploración espacial como parte de sus competencias.
¿Cómo va a afectar este cambio a la exploración espacial europea?
Probablemente, en la visibilidad. La UE, de manera acertada, entiende que la exploración, además de ser un instrumento científico y tecnológico, es un instrumento político de cooperación con otras grandes potencias muy potente.
¿Se plantea utilizar el espacio como lo ha hecho EEUU o lo está haciendo China, como una forma de aglutinar a los ciudadanos de los países europeos?
Si la pregunta es si la exploración, además de ser algo científicamente interesante, puede tener utilidad en la política exterior, la respuesta es sí. Y eso, aunque en la práctica la ESA lo venía reconociendo a través de los programas de cooperación que desarrollaba con otras agencias o potencias, va a tener una visualización mucho mayor, porque no es lo mismo que lo haga una agencia espacial instrumental como la ESA a que lo haga directamente el gobierno de la UE, que es la Comisión. Creo que hay un reconocimiento de que la exploración ha pasado a ser algo más que espacio puro y es también una herramienta de cooperación diplomática.
¿Europa se plantearía liderar una misión tripulada ambiciosa, a la Luna, Marte o un asteroide?
No hay nada decidido. Una de las conclusiones de Praga es que la exploración debería llevarse a cabo de forma multilateral, como ahora se colabora en la Estación Espacial Internacional [ISS]. Si lo hacemos así, lo natural en una misión tripulada a la Luna o Marte, sería que la liderase la NASA. Que lo impulse la ESA es una posibilidad, pero bastante baja. El liderazgo no solo tiene que ser retórico y, si se comparan los recursos, hay mucha desproporción entre NASA y ESA.
La única ocasión en la que el hombre ha ido más allá de la órbita baja terrestre fue durante la Guerra Fría, por motivos políticos, casi bélicos. ¿Cómo se puede convencer a la ciudadanía de gastar tanto dinero sin un conflicto como aquel?
Aunque hay consenso sobre la oportunidad de que Europa participe en misiones tripuladas más allá de una órbita baja, en Praga se reconoció que la opinión pública no tiene un grado de convencimiento igual que los políticos, los miembros de la industria o los científicos. Europa no va a participar en una misión tan ambiciosa mientras no tenga unas ciertas garantías de que la opinión pública está más interesada. Hay que hacer mucha pedagogía para explicar por qué una misión tripulada a la Luna puede ser útil aquí. Y la experiencia histórica nos demuestra que, más tarde o más temprano, todo el conocimiento científico adquirido en misiones de este tipo acaba teniendo un impacto en la sociedad.
¿Sigue habiendo países dentro de la ESA o de la UE, como Reino Unido, que prefieren emplear recursos en robots para explorar el espacio y descartan la presencia humana?
Hay países más entusiastas con la exploración tripulada que otros. Pero en las conclusiones de Praga hay un párrafo muy claro que dice que Europa está interesada en la exploración y combinando la robótica con la tripulada. Y todos han hecho suya esta declaración. No obstante, es cierto que, por la situación económica, este no es el momento propicio para que el entusiasmo de unos países se pueda extender a otros.
Varias de las alternativas planteadas por la Comisión Augustine incluyen el abandono de la Estación Espacial Internacional en 2015. ¿Qué significaría para Europa?
Sería complicado y no sería deseable, pero la participación de Europa más allá de 2015 está garantizada. Como opinión personal, y de lo que se deriva de algunas conversaciones que ha habido entre Europa y la NASA, veo bastante probable que EEUU decida finalmente permanecer hasta 2020.
Si EEUU no incrementa en 3.000 millones de dólares el presupuesto para la NASA, será imposible hacer frente a grandes proyectos de exploración como ir a la Luna o Marte. ¿Qué significaría para la exploración espacial mundial?
Significaría un retraso sobre los planes previstos, pero yo no tengo ninguna duda de que a largo plazo habrá misiones tripuladas muy ambiciosas. En función de lo que se decida en los próximos años, un viaje a Marte, por ejemplo, se realizará en la década de los 30 o en la de los 40. Puede haber retrasos, pero nunca significarán una renuncia.
¿Pueden ser algo frustrantes las conclusiones de esta comisión teniendo en cuenta los medios con los que se cuenta?
Creo que el informe Augustine y los primeros pasos de Obama son una armonización entre los recursos con que se cuenta y los objetivos que permitirían. Las declaraciones de Bush sobre su visión espacial fueron más retóricas que reales. Su discurso era muy ambicioso, pero no tuvo implicaciones prácticas porque poco después de pronunciarlo redujo mucho los presupuestos de la NASA.
¿Todos los países europeos están convencidos de que merece la pena la gran inversión que requiere la exploración espacial?
En Praga se vio consenso sobre la necesidad de la exploración espacial, ahora falta determinar los instrumentos y saber cuándo van a contar los países con el presupuesto necesario o cuándo estará convencida la opinión pública de que es una necesidad y no un capricho de la comunidad espacial Pero la voluntad existe.
Fuente: publico.es, 14-11-09
|
Un enorme dinosaurio descubierto en Sudáfrica pertenece a una especie antes desconocida que da pistas sobre la evolución de las criaturas más grandes que han caminado sobre la Tierra, según los científicos Adam Yates, paleontólogo de la Universidad Wits de Johannesburgo, ha dicho que el Aardonyx Celestae de siete metros de largo ocupó una "posición muy significativa en el árbol genealógico de los dinosaurios". Este «lagarto terrible» medía 1,7 metros y pesaba 500 kilógramos. "Este nuevo dinosaurio nos está ayudando a completar y revisar nuestra imagen sobre cómo empezaron los dinosaurios verdaderamente gigantescos", ha dicho a los periodistas. Yates ha afirmado que se encontraron casi todos los restos fósiles del gigante herbívoro que existió durante el periodo Jurásico hace 195 millones de años, hallados en la ciudad de Senekal de la provincia sudafricana de Free State por un estudiante hace cinco años. Sin embargo, los restos han sido clasificados como una especie separada. "El Aardonyx posiblemente caminaba sobre sus patas traseras pero también podría usar las cuatro patas. Tenía pies planos con enormes garras que apoyaban su peso corporal en el medio de pie y unos muslos robustos", ha aseverado. |
El paleontólogo Adam Yates, de la Universidad de Witwatersrand, observa unos huesos de dinosaurios, durante el anuncio del descubrimiento de la nueva especie de dinosaurio. EFE |
Fuente: abc.es, 14-11-09
-Otro asteroide indetectado pasa rozando la Tierra
Otro pequeño asteroide ha pasado rozando la Tierra sin que nadie lo descubriera a tiempo. Fue el pasado 6 de noviembre y el objeto, llamado 2009 VA, fue localizado cuando sólo quedaban 15 horas para su llegada.
|
|
La roca, esta vez, sólo tenía unos siete metros, muy poco como para provocar una extinción masiva, pero baste recordar que hace apenas unos días, en Indonesia, el impacto contra la atmósfera de otra piedra parecida y de «sólo» diez metros causó una explosión equivalente a tres bombas atómicas... 2009 VA, pues, sólo pasó a dos radios terrestres de distancia (unos 14.000 km), lo que en términos astronómicos equivale a una bala rozando el oído. Se trata del tercer pequeño asteroide conocido y catalogado justo antes de pasar muy cerca de la Tierra. Los otros dos «acercamientos» registrados se refieren al asteroide de un metro 2008 TS26, que pasó el 9 de octubre de 2008 a sólo 6.150 km de nosotros, y a 2004 FU162, otra roca de siete metros que pasó el 31 de marzo de 2004 a apenas 6.535 km de la superficie terrestre. Tres únicas detecciones. Ese es el catálogo completo que tenemos para objetos de esa clase. Y ello a pesar de que rocas como la que acaba de rozarnos pasan a distancias parecidas de nuestro planeta, como media, un par de veces al año, y hacen impacto, también como media, una vez cada cinco años. El asteroide 2099 VA fue descubierto por el Catalina Sky Survey unas quince horas antes de su máximo acercamiento y su presencia fue rápidamente ratificada por el Centro de Planetas Menores de Cambridge, Massachussets, que confirmó también que el objeto pasaría, en apenas unas horas, muy cerca de la Tierra. A medida que se aproximaba, a decenas de miles de kilómetros por hora, los técnicos del programa Near, de la NASA, calcularon su órbita y determinaron que el asteroide no chocaría contra nosotros. Si lo hubiera hecho, nadie habría podido hacer nada por evitarlo. |
Hace menos de un año, se vivió una situación muy parecida a ésta con el objeto 2008 TC3, un asteroide que fue detectado cuando apenas faltaban once horas para su llegada y que finalmente hizo impacto en el norte de Sudán, por fortuna lejos de cualquier centro habitado. La historia de su «cacería» se contó con todo detalle en este mismo blog.
Fuente: abc.es, 13-11-09
-Bosques azules contra el calentamiento global
Trece años después de la firma del Protocolo de Kioto y a un mes para que tenga lugar la cumbre del clima de Copenhague, donde se buscará un acuerdo que lo sustituya, no sorprende cuando se habla de la reforestación como una opción para capturar parte del incremento de CO2 atmosférico que causa el cambio climático. Sin embargo, de forma automática, la mente piensa en una masa boscosa terrestre. Apenas un puñado de expertos imaginaría que también se puede reforestar el mar para luchar contra el calentamiento.
|
Y precisamente esa es la propuesta del estudio 'Blue Carbon', el primer informe sobre el papel de los océanos como sumideros de CO2 recién publicado por el Programa de las Naciones Unidas para el Medio Ambiente (UNEP), la Organización de las Naciones Unidas para la Agricultura y la Alimentación (FAO) y por la Unesco. "Los manglares, marismas y praderas submarinas tienen un gran potencial como trampas de carbono", aseguró el oceanógrafo del Instituto Mediterráneo de Estudios Avanzados del CSIC y coautor del estudio Carlos Duarte, durante el encuentro 'El papel de los ecosistemas marinos en la provisión de bienes y servicios a la sociedad' organizado por la Fundación BBVA. "Parece inevitable que se piense en los prístinos bosques amazónicos cuando se habla de reforestación, pero estos bosques azules marinos son capaces de absorber 17 veces más carbono que la misma superficie en la selva brasileña", explica Duarte. Los ecosistemas marinos que cuentan con plantas superiores, como los manglares y las praderas submarinas de posidonia, por ejemplo, capturan de la atmósfera una cantidad de carbono equiparable a la mitad de las emisiones anuales del sector del transporte mundial. Océanos como sumideroEl problema, según el informe que fue presentado en Sudáfrica a finales de octubre, es que el deterioro de los "sumideros azules de carbono" está siendo asombrosamente rápido y cada año se pierde el 7% de los mismos. Las áreas susceptibles de contar con estos ecosistemas suponen tan solo el 0,2% de la superficie del océano -unos 600.000 kilómetros cuadrados-, una superficie similar a la península Ibérica, pero son responsables del 50% del CO2 que absorben los océanos. |
Un banco de peces sobre una pradera submarina de posidonia oceánica situada en el mar Mediterráneo.| Foto: Manu Sanfélix |
Fuente: elmundo.es 13-11-09
Científicos de la NASA han conseguido reproducir en el laboratorio un ingrediente indispensable para la formación de la vida tal y como la conocemos actualmente en la Tierra. Se trata del uracilo, un componente clave en nuestro material hereditario, que puede encontrarse en cualquier criatura viva en el planeta. El descubrimiento puede ayudar a los astrobiólogos a comprender cómo se originó o de dónde llegó la primera esencia animada que colonizó nuestra pequeña bola azul.

El descubrimiento puede aportar nuevas claves sobre el origen de la vida / Daily galaxy
«Hemos demostrado por primera vez que podemos crear uracilo, un componente del ácido ribonucleico (ARN o RNA, en sus siglas en inglés) no biológicamente en un laboratorio bajo las condiciones que encontramos en el espacio», ha explicado Michel Nuevo, científico del Centro de Investigación Ames de la NASA en Moffet Field, California.
171 grados bajo cero
Pero, ¿cómo lo lograron? Los científicos descubrieron que al exponer una muestra de hielo que contenía pirimidina -una molécula en forma de anillo hecha de carbono y nitrógeno que también ha sido encontrada en meteoritos- a radiación ultravioleta bajo condiciones similares a las del espacio: en vacío y a temperaturas de -171º C., en lugar de destruirse, la pirimidina tomaba nuevas formas y se producía el uracilo. Eureka. En otras palabras, un ingrediente vital es capaz de originarse y sobrevivir en las infernales condiciones más allá de la atmósfera, lo cual abre la puerta muchas preguntas... y alguna posibilidad que roza la ciencia ficción. Los investigadores han simulado los entornos que se encuentran en el espacio interestelar y en el Sistema Solar durante años y éste es un importante avance en sus estudios. «Nadie entiende realmente cómo empezó la vida en la Tierra. Nuestros expermientos demuestran que, una vez formada la vida, muchos de los bloques esenciales para su origen estaban presentes desde el inicio. Dado que estamos simulando condiciones astrofísicas universales, es probable que lo mismo suceda cada vez que se forma un planeta», han explicado los especialistas. El estudio ha sido publicado en la revista Astrobiology.
Fuente: abc.es, 13-11-09
-La NASA encuentra "12 cubos" de agua en la Luna
John Colaprete, líder de la misión LCROSS, no se atrevió a asegurar que habrá agua suficiente para montar una base permanente en la Luna, pero se mostró "impresionado por la cantidad" que han encontrado. Fue capaz incluso de cuantificar el volumen hallado: "Aproximadamente 12 cubos de ocho litros", estimó este viernes durante la presentación de los resultados de LCROSS desde el centro Ames de la NASA en California (EEUU). Hace un mes, la sonda suicida lanzó un cohete contra el cráter Cabeus, en el polo sur del satélite. El objetivo era vaporizar el hielo del fondo y analizar la columna resultante. Las expectativas eran enormes y se organizaron numerosos eventos para ver el primer bombardeo humano de la Luna, pero el resultado fue decepcionante.
|
|
Tras el impacto no se vio ninguna columna. "Nosotros estábamos frustrados y el público estaba frustrado", reconoció Michael Wargo, responsable de la ciencia lunar de la NASA. No había por qué. Cuando el equipo de LCROSS comenzó analizar las imágenes, observó una columna de vapor de unos 12 kilómetros de diámetro lista para ser desmenuzada. Dos tipos de espectrómetros la diseccionaron. Uno observó la reacción de las moléculas volatilizadas bajo la luz infrarroja y otro bajo rayos ultravioletas y luz visible. Ambas coincidían. En aquella polvareda había moléculas de OH y H, separadas por los rayos del Sol al salir del cráter. Antes, unidas en su refugio de miles de millones de años, a 220 grados bajo cero, habían formado agua helada. El objetivo de la misión se había cumplido, pero Colaprete aseguró que aún hay más. "Lo que encontramos era mucho más complejo de lo que esperábamos, allí había mucho más que agua", recuerda. En la presentación adelantó que puede haber combinaciones de sustancias como el carbono, el metano o el azufre, pero pidió tiempo para analizar los resultados. Hasta ahora, se han centrado en el agua. La presencia de H2O en la Luna fue predicha hace años por la detección desde sondas orbitales de moléculas de hidrógeno. En los últimos meses, las sondas LRO y Chandrayaan precisaron aún más y confirmaron la presencia de moléculas de OH por toda la superficie del satélite. Para superar la certeza sobre el agua lunar del anuncio de este viernes, sería necesario llenar en persona uno de los cubos de los que habló Colaprete. |
Fuente: publico.es, 12-11-09
-Una nueva "herramienta" para cazar planetas
Localizar un planeta puede llevar meses e incluso años de investigación. Sin embargo, esta laboriosa tarea podría agilizarse gracias a un nuevo test de medición de litio ideado por un equipo internacional en el que participa el (CSIC) y que hoy publica la revista 'Nature'.
|
Infografía de un sistema planetario con una estrella parecida al Sol. | Foto: G. Pérez (IAC) |
Los resultados del estudio, liderado por el Instituto de Astrofísica de Canarias y en el que también han participado científicos de Suiza, Portugal e Italia, se obtuvieron con una muestra de 500 estrellas. A través de un sencillo análisis con un telescopio medio (de dos a cuatro metros) se mide la presencia de litio en la estrella. Los investigadores han descubierto que los astros similares al Sol con bajo contenido en este elemento tienen, de media, diez veces más posibilidades de albergar planetas. "Actualmente, localizar planetas es un trabajo muy lento y que requiere mucha paciencia porque hay que investigar miles de estrellas y realizar medidas muy frecuentes de su velocidad para detectar pequeños cambios, y para ello son necesarios instrumentos de muy alta precisión", afirma Rafael Rebolo, el investigador del CSIC que lidera el estudio. El litio es la clave"Después de muchos años investigando la composición química de las estrellas hemos hallado que el litio es la pista". El test, que puede hacerse en unos cinco minutos, no garantiza que la estrella va a tener un sistema planetario pero sí nos determina una que ofrecerá más posibilidades de albergar planetas: "Supondrá ahorrar un esfuerzo importante en las observaciones", asegura Rebolo. |
Y es que hallar un planeta como la Tierra alrededor de una estrella como el Sol puede requerir cientos de análisis y medidas. Los científicos calculan que de cada 1000 estrellas parecidas al Sol sólo un 10% tiene sistema planetario.
Sin embargo, más allá de la economía del esfuerzo, lo más importante del estudio es el fenómeno físico que ha podido causarlo: "Nos interesa conocer cómo son las relaciones entre planetas y estrellas, cómo son esos movimientos. Creemos que los planetas gigantes pueden modificar la estructura de los astros, afectar la manera en que los gases se comportan en la zona externa. El Sol tiene una influencia en los planetas pero también hemos observado que éstos pueden influir en las estrellas".
Fuente: elmundo.es, 12-11-09
-Una nimia diferencia que nos hace hablar
Aunque un siglo de neurología ha mostrado que el cerebro está hecho de centenares de módulos especializados, la genética no ha encontrado lo que cabría esperar de ello: centenares de genes específicos de cada módulo. La gran excepción es FoxP2, "el gen del lenguaje", cuyas mutaciones eliminan la capacidad humana del habla. Una paradoja es que el gen existe en todos los vertebrados, y que nuestra versión sólo difiere en dos detalles de la del chimpancé. Pero Daniel Geschwind y su equipo de la Universidad de California muestran que esa mínima diferencia tiene efectos drásticos en las neuronas humanas.
Anthony Monaco y sus colaboradores de la Universidad de Oxford descubrieron en 2000 un gen cuyas mutaciones destruyen la competencia gramatical sin afectar necesariamente a otras funciones intelectuales. En la familia que analizaron, 15 de 29 miembros a lo largo de tres generaciones se mostraban incapaces de distinguir los fonemas dentro de una palabra, de generar inflexiones a partir de una raíz, de comprenderlas si no las habían aprendido previamente de memoria y de producir con naturalidad estructuras sintácticas. Los investigadores pudieron demostrar que la responsable de todos esos defectos era una mutación en FoxP2. Se le conoce desde entonces como el "gen del lenguaje".
En los pájaros, el gen FoxP2 está implicado en el canto. Más en general, en las especies vocales (o que emiten algún sonido por la boca) el gen afecta a la coordinación de los músculos implicados en la vocalización. Pero, más en general aún, FoxP2 es necesario para la coordinación de los movimientos en los vertebrados, incluidos los movimientos faciales. "Los problemas para organizar las secuencias motoras, o con el aprendizaje de procedimientos, incluidos los de la cara y la boca, se pueden manifestar en la especie humana como un trastorno del lenguaje", explican en Nature Martín Domínguez y Pasko Rakic, neurobiólogos de la Universidad de Yale.
FoxP2 ha resultado ser uno de los genes más estables a lo largo de la evolución que se conocen. Un gen es un texto que contiene la información para fabricar una proteína. Éstas son largas cadenas de aminoácidos. La proteína FoxP2 es una cadena de 715 aminoácidos. El gen humano y el del ratón sólo difieren en tres de los 715, y una de ellas es común al ratón y al chimpancé. Sólo las otras dos son específicamente humanas.
Pero FoxP2 es un gen que regula a otros genes. Geschwind ha rastreado el genoma entero en busca de los genes controlados por el FoxP2 humano y ha buscado las diferencias con la misma red regulada por el FoxP2 del chimpancé. "Hemos encontrado que un número importante de esos genes se activan de forma distinta en el cerebro humano y el del chimpancé", dice Geschwind. "Esto indica que FoxP2 conduce a estos genes a comportarse de modo distinto en las dos especies".
Los autores han identificado 65 genes subordinados que no hacen distingos de especie: responden igual al FoxP2 humano que al de los monos; pero también hay 61 genes que se activan más por el FoxP2 humano que por el del chimpancé, y otros 55 que hacen justo lo contrario. De modo que la pequeña diferencia en la secuencia de FoxP2 tiene un efecto nada pequeño en la actividad del genoma de las neuronas. El estudio de esos genes permitirá ahora seguir la pista a la evolución del lenguaje.
Fuente: elpais.com, 11-11-09
-El tiranosaurio tenía sangre caliente
Los grandes dinosaurios que se movían sobre dos patas como el tiranosaurio rex tenían la sangre caliente al igual que los mamíferos, y no fría como los reptiles. Así lo indica un nuevo estudio realizado con 14 especies extintas, que añade un nuevo capítulo a uno de los debates más largos y complejos de la paleontología.
La discusión sobre si los dinosaurios tenían o no la sangre caliente es fundamental para entender si eran ágiles y rápidos como los retrató la película Parque Jurásico, o si eran animales lentos e incapaces de un esfuerzo físico continuado debido a su dependencia de la temperatura exterior. El nuevo estudio, que publica hoy PLoS ONE, señala que el T-rex, el velocirraptor y otros grandes cazadores extintos no hubieran podido correr o siquiera andar si hubieran tenido la sangre fría. "La endotermia [sangre caliente] les permitió ser más activos, especialmente en climas fríos", explica a Público John Hutchinson, del Royal Veterinary College (Reino Unido) y autor principal del estudio. Esto supondría que los dinosaurios tenían unas capacidades físicas semejantes a las de los mamíferos, lo que les permitió convivir con ellos durante millones de años.
El estudio ha reconstruido la cantidad de energía que necesitaban 14 especies de dinosaurios bípedos para andar y correr a una velocidad moderada, y los ha comparado con las capacidades aeróbicas de animales de sangre fría (ectotermos) actuales.
Rápido metabolismoLos resultados indican que sólo los dinosaurios de menos de 20 kilos, como el Archaeopteryx o el Microraptor, podrían haber vivido con sangre fría. Sus parientes más grandes como el T-rex, que pesaba unas seis toneladas, o el Allosaurus, con unas dos, necesitaban un metabolismo rápido alimentado por sangre cálida para poder moverse. El abanico de especies estudiado indica que la sangre caliente apareció en los primeros dinosaurios más pronto de lo que se pensaba, tal vez hace unos 240 millones de años, explica Hutchinson. Estos animales habrían legado esa característica a sus parientes actuales, las aves. "Es una nueva prueba de que los dinosaurios eran reptiles muy especiales", opina Luis Alcalá, presidente de la Fundación Dinópolis. El experto detalla que, aunque ambas opciones siguen abiertas, cada vez son más las pruebas de que muchos dinosaurios tenían la sangre caliente y eran, por tanto, más parecidos de lo que se creía a las aves de hoy, los vertebrados con un consumo de energía más eficiente. Habría que confirmar estos resultados en los dinosaurios cuadrúpedos, que eran los más pesados, concluye. El estudioSe ha calculado la energía que necesitaban 14 dinosaurios bípedos para andar y correr, y se ha comparado con los límites físicos de animales de sangre fría actuales. Los dinosaurios más pesados, ‘Gorgosaurus’, ‘Dilophosaurus’, ‘Plateosaurus’, ‘Allosaurus’ y el tiranosaurio, no hubieran podido ni siquiera andar, de tener la sangre fría. Ninguno habría podido correr con la sangre fría. Concluyen que los dinosaurios bípedos de más de 20 kilos necesitaban tener la sangre caliente para poder vivir. |
Los primeros dinosaurios ya regulaban su temperatura corporal. - BLOOMBERG |
Fuente: publico.es, 11-11-09
-La NASA y la ESA acuerdan cooperar para explorar Marte
Las agencias espaciales de Europa y de Estados Unidos han dado un paso más para cooperar en la exploración no tripulada del planeta Marte, colaboración que empezaría con el envío de una misión en 2016. Los directores de la ESA y la NASA han firmado en Washington un acuerdo de intenciones cuyo desarrollo está supeditado a que ambas agencias dispongan de fondos suficientes para establecer un programa conjunto de exploración.

Además, en el caso de la NASA, el presidente Obama debe decidir en los próximos meses el rumbo del programa tripulado, que hasta ahora tenía como objetivo final trasladar seres humanos a Marte, por lo que la decisión puede influir en los planes de la agencia estadounidense para el planeta rojo.
Europa lideraría la misión de 2016, cuyo plazo de suscripción para los países interesados termina en diciembre. Consistiría en hacer llegar una sonda a la órbita de Marte para estudiar los gases atmosféricos, como el metano, y hacer aterrizar una estación meteorológica estática. Sería la primera vez que Europa intenta llegar a la superficie de un planeta. La NASA pondría el cohete lanzador.
En 2018 se enviarían, también con cohetes estadounidenses, sendos vehículos -uno europeo y otro estadounidense- a la superficie de Marte, pero en estos casos la entrada, el descenso y el aterrizaje serían controlados por la NASA.
Fuente: elpais.com, 10-11-09
"Es todo mágico... una experiencia inigualable". Sergi Vaquer es uno de los miembros del equipo de estudiantes que esta semana han participado en la 51 campaña de vuelos parabólicos de la Agencia Espacial Europea con motivo del programa 'Fly your thesis!An Astronaut Experience'. Un proyecto que permite a los universitarios probar en condiciones de microgravedad su experimento científico como parte de su tesis doctoral o de su máster.
|
Los jóvenes, Sergi Vaquer y Elisabet Cuyàs, investigadores del Instituto Municipal de Investigación Médica (IMIM) y estudiantes de la UAB y Arnau Rabadán y Albert González, becarios de la Fundació CIM y estudiantes de la UPC acompañados por el profesor Felip Fenollosa, director adjunto de la Fundación CIM, han participado en tres vuelos parabólicos (los días 3, 4 y 5) a bordo del Airbus A300 ZERO-G propiedad de Novespace, filial del Centro Nacional de Estudios Espaciales de Francia. "Los vuelos duraban entre dos horas y media y tres horas: unos 30-40 minutos para llegar al lugar dónde se realizaban las parábolas y entre una hora y media y dos haciéndolas", explica Sergi Vaquer tras acabar la última jornada. "Los dos primeros días estuvimos en el Atlántico, en el golfo de Vizcaya y el tercero, en el Mediterráneo, delante de Córcega". Los vuelos parabólicos nacen como parte de entrenamiento de los astronautas y consisten en acelerar el avión ganando altura en ángulo de 47 grados (durante 20 segundos) para que luego empiece un descenso de inclinación progresiva durante el que la potencia de los motores baja hasta un mínimo que se usa para contrarrestar la resistencia del aire: son 20 segundos en los que se describe una parábola en caída libre. Durante ese tiempo se consigue que, dentro de la cabina, la sensación de gravedad baje a valores próximos a cero. Cada vuelo de los estudiantes ha constado de 31 parábolas: una de prueba y luego seis series de cinco. Un total de 90 oportunidades para poner a prueba el experimento. "Cuando subimos es difícil hablar, moverse tenemos que estar estampados contra el suelo, como si hubiera un imán gigante que te retiene, y al bajar flotamos", explica Fenollosa. Y es que cuando el avión asciende se provoca una sensación de sobregravedad en su interior de 1,8 a 2.0 gramos, mientras que al bajar llega el turno de la microgravedad. |
Los jóvenes investigadores catalanes en uno de los vuelos. | Anneke Le Floch |
Durante la ingravidez hay que tener máximo cuidado: "Ha habido un momento en que he molestado a un investigador, me ha apartado y he empezado a dar vueltas por la sala", expone Fenollosa.
Es precisamente durante esos 20 segundos cuando se dan las condiciones idóneas para que los jóvenes prueben su experimento ABCtr MicroG, con el que estudian el comportamiento en microgravedad de los transportadores ABC, unas proteínas presentes en todas las células del organismo humano, que son las responsables de depurar el interior de las células humanas de fármacos y otros tóxicos, una acción que no siempre es deseable, si uno quiere curarse.
Los resultados de la prueba podrían ayudar a mejorar el cuidado médico de astronautas en el espacio. "Los astronautas no usan los medicamentos en gravedad cero porque se desconoce cómo reaccionaría el cuerpo humano. ¿Qué pasaría en una situación de emergencia o con un medicamento con efectos secundarios?", comenta Vaquer, quien añade que "una dosis habitual de morfina perfectamente podría resultar catastrófica".
Al mismo tiempo, con las conclusiones de la experimentación se pretende avanzar sustancialmente en el estudio de estos transportadores en la tierra: mejorar el conocimiento actual sobre su mecanismo de acción y la manera en que participan en muchas enfermedades, como en el tratamiento del cáncer y del sida. Según afirma Vaquer: "La gravedad cero puede aportar un nuevo campo de estudio todavía inexplorado y ampliar nuevas vías de investigación que ayuden a encontrar soluciones para enfermedades importantes".
Los estudiantes han desarrollado un equipamiento electromecánico de 280 kilos con un sistema de control electrónico de alta precisión capaz de realizar experimentos biotecnológicos en microgravedad de un modo totalmente automatizado.
Esta parte técnica del experimento, realizada en las instalaciones de la Fundación CIM, Centro Tecnológico de referencia de la UPC en el campo de las tecnologías de producción, a cargo de Arnau Rabadán, ha consistido en diseñar un mecanismo que mezcla en el interior de una jeringa la energía química en forma de ATP (Adenosina Trifosfato) con los transportadores ABC.
Esto se debe realizar a una temperatura de 37ºC, igual a la del cuerpo humano. Transcurridos 19 segundos, el sistema introduce en la jeringa un líquido que enfría la mezcla y detiene la reacción para que no sea afectada durante los periodos de gravedad normal. El ensayo se repitió en cada parábola para conseguir más muestras. "Hemos tenido la precaución de hacer cuatro experimentos a la vez para no engañarnos", explica Fenollosa.
Ahora, tras el periplo y con los pies en el suelo, siguen adelante. Por una parte, analizarán durante los próximos meses las 300 muestras y se compararán con los resultados obtenidos en tierra en el IMIM de Barcelona, donde se ha desarrollado la parte biotecnológica del proyecto, en la que el investigador Rafael de la Torre ha sido una pieza fundamental.
Por otra, los participantes explicarán, intentando no olvidar, qué vivieron aquel noviembre de 2009 a bordo de un Airbus. "De golpe, flotas y pierdes la referencia del mundo, el raciocinio normal. Estás mentalmente dedicado a las sensaciones de tu cuerpo y no queda tiempo para los problemas", describe Fenollosa.
Fuente: elmundo.es, 9-11-09
-"Medir la droga en del aire cambiará la lucha contra el narcotráfico"
Combatir el tráfico de droga por tierra, aire y aguas residuales. Hasta 2004, no se disponía de datos sobre el consumo de droga entre la población. "Todo se basaba en encuestas y estimaciones", precisa Damià Barceló, investigador del Consejo Superior de Investigaciones Científicas (CSIC), dedicado desde hace cinco años a coordinar el proyecto Aquaterra de la UE, un programa para medir la contaminación ambiental con métodos pioneros. La precisión con que los instrumentos detectan la presencia de droga tomando muestras del aire y de las aguas residuales cuenta con un amplio recorrido en el campo policial, asegura Barceló. "Países como Alemania y Canadá emplean ya estas técnicas para reforzar la lucha contra la droga. Estados Unidos también ha empezado a copiar nuestro sistema", dice este doctor en Química Analítica.
|
Damià Barceló.- CONSUELO BAUTISTA |
Pregunta. ¿Imaginaba que sus estudios darían una nueva arma para la lucha contra el narcotráfico? Respuesta. La analítica del aire permite localizar las zonas en las que circulan sustancias ilegales. Esto revolucionará la lucha contra el narcotráfico. Los análisis de aguas residuales determinan con exactitud la cantidad de droga consumida en una zona determinada. P. ¿Hasta qué punto medir el aire permite determinar la presencia de drogas? R. Puede detectar en qué zonas de la ciudad hay más consumo que en otras y de qué sustancias. Las mediciones identifican los puntos calientes de la ciudad: discotecas, bares, también si hay tráfico de drogas en los institutos. Es un sistema de control que puede aplicarse a ciudades y establecimientos cerrados. Un proyecto realizado en Barcelona desveló la enorme cantidad de drogas que circulan en la zona universitaria, similar a la detectada en São Paulo (Brasil). Otro estudio en el festival de Benicàssim analizó las aguas residuales y se vio que durante los conciertos se consumieron 30 dosis de cocaína por cada mil personas. Datos precisos y rigurosos. El Plan Nacional sobre Drogas se basa en estadísticas y encuestas, resulta poco fiable. Determinar si el bar de la esquina trafica con drogas requiere una precisión casi milimétrica. La tecnología necesaria existe y está contrastada. El observatorio de la droga de la UE recomienda este método desde hace cuatro años y cada vez hay más países interesados en el sistema, como Estados Unidos. En España vamos algo atrasados pero algunos gobiernos como el de Cantabria nos han pedido análisis para calibrar el problema de su territorio con las drogas. Las grandes ciudades y los edificios públicos se dotarán de estos equipos. P. ¿Habrá medidores de droga por aire en los hospitales? R. Y de agua, si el edificio disponer de una vía de salida de aguas residuales. El único inconveniente es el coste. Analizar las aguas residuales durante tres semanas cuesta unos 6.000 euros. Que se abarate es sólo cuestión de tiempo. Los análisis del consumo de drogas mediante muestras de aguas residuales empezaron con dudas sobre su credibilidad. En 2007, la ONU señaló Miranda de Ebro (Burgos) como la segunda ciudad en consumo de cocaína del mundo. El estudio de Miranda de Ebro hizo mucho daño porque fue una chapuza. La tecnología ha mejorado mucho, entonces aún no existían los equipos de última generación que realizan analíticas con una fineza extrema. |
P. ¿Qué dice esa fineza del consumo de droga en España?
R. Que es de los más altos de los países de la UE. Es difícil hacer comparaciones porque aún hay pocos estudios que empleen el mismo sistema que nosotros, más fiable. En cuanto a cifras, el millón de ciudadanos que vierten sus aguas residuales al Ebro consumen tres kilos de droga al día, más de la mitad en cocaína. Si el resto del país siguiera las mismas pautas, España consumiría 36 toneladas de droga al año, 21 de ellas en cocaína. Se trata de una cantidad similar a la decomisada anualmente. Saberlo es básico para orientar la lucha contra el narcotráfico. También para verificar el estado de drogadicción de un territorio. Aportará datos fiables a los organismos que combaten la drogadicción, se podrá calibrar si el uso de drogas entre la población aumenta o desciende; si las políticas aplicadas surgen efecto. Pero la aplicación principal es la policial: no se les escapará nadie.
Entrevista sobre esta investigación emitida en RNE:
Fuente: publico.es, 7-11-09
Investigadores de la Universidad de California en Berkeley y el Laboratorio Nacional Lawrence Berkeley en Estados Unidos han identificado una nueva categoría de supernovas, las grandes explosiones estelares. Los resultados de su trabajo se publican en 'Science Express', la edición digital de la revista 'Science'.

Recreación artística del sistema estelar AM-CV.| Tony Piro.
Los astrónomos han identificado una supernova que parece ser un tipo que predecían los modelos teóricos pero que nunca se había observado antes. Las supernovas suelen clasificarse según las líneas de los indicadores en el espectro de radiación que emiten. Los dos principales tipos se desarrollan a partir de la explosión de enanas blancas y el colapso de estrellas masivas. Los científicos, dirigidos por Dovi Poznanaski, informan ahora de que la supernova 2002bj pertenece a una categoría propia.
Fuente: elmundo.es, 6-11-09
-El Gran Colisionador de Hadrones se sobrecalienta por una miga de pan
|
|
Un pájaro debió dejar caer un trozo de pan en las máquinas que se encuentran en el exterior. Al menos, es lo que se ha señalado como culpable por un fallo técnico sufrido por el Large Hadron Collider (LHC), que provocó su sobrecalentamiento en un importante punto de sus estructuras subterráneas. Según los científicos del proyecto, el sobrecalentamiento detectado provocó su apagado automático, lo que pondrá a la máquina fuera de funcionamiento durante unos días mientras se reinicia todo el sistema, pero en ningún caso ha provocado daños, ni ha supuesto un peligro. Aunque el LHC afortunadamente no estaba funcionando a
toda su potencia en ese momento, sí estaba proyectando haces de partículas,
según publica
The Register. |
Fuente: publico.es, 6-11-09
Un grupo de investigadores españoles ha identificado por primera vez la composición genética de los virus de la Antártida y ha encontrado una muy alta diversidad de estos microorganismos en esa zona polar, la máxima de todo el planeta, a diferencia de lo que la comunidad científica pensaba hasta ahora. Estas son dos de las principales conclusiones de un estudio realizado por investigadores del Consejo Superior de Investigaciones Científicas (CSIC), la Universidad Autónoma de Madrid (UAM), la Universidad de Valencia y el Centro Superior de Investigación en Salud Pública valenciano, y que se publica en la revista 'Science'. Este grupo de científicos ha descrito cerca de 90.000 secuencias de virus del lago Limnopolar, en la península Byers (Isla Livingston, Antártida), el mayor número de familias virales encontradas hasta la fecha en un metagenoma (información genética completa de una comunidad natural de microorganismos) de ambientes acuáticos.

Para alcanzar esta visión global de la variedad genética los científicos han obtenido imágenes de los virus por microscopía electrónica y han usado un nuevo sistema de secuenciación masiva. Los investigadores han coincidido en señalar que este estudio está lleno de sorpresas y que ofrece nuevas preguntas. Antonio Quesada, de la UAM, ha explicado a Efe que una de estas sorpresas ha sido encontrar una muy alta diversidad de virus en el lago Limnopolar, ya que la teoría ecológica sugiere que los ecosistemas extremos, como los polares, alojan muy poca diversidad biológica.
Los virus necesitan de un organismo para crecer y hasta ahora se ha pensado que en los polos hay pocos virus y pocas especies. Sin embargo, los investigadores de este trabajo, han estimado que este lago contiene casi 10.000 especies virales distintas. Además, han descubierto una gran cantidad de virus de organismos superiores, aquellos que tienen núcleo diferenciado.
Quesada ha indicado que otra de las cosas que han descrito, también por primera vez, es cómo cambia la población de virus antes y después del deshielo del lago, y los científicos han logrado, asimismo, constatar la existencia de virus extremadamente pequeños. Según ha informado el CSIC, estos constituyen la población más abundante cuando el lago está cubierto de hielo, no habían sido descritos en otros ambientes naturales y podrían, incluso, pertenecer a familias virales desconocidas hasta la fecha.
Este estudio "es el primer paso para entender mejor el papel que los virus juegan en estos ecosistemas extremos y determinar si han evolucionado de forma independiente durante millones de años", ha opinado Antonio Alcamí, del CSIC. Esta investigación se engloba dentro del proyecto Limnopolar, que desde 2001 analiza si se pueden utilizar los ecosistemas de agua dulce en las zonas polares como sensores del cambio climático.
"Hemos abierto la caja de pandora y han aparecido cosas muy interesantes", ha reconocido Quesada, quien ha dicho que, si bien la composición genética de los virus de la Antártida no está directamente relacionada con el cambio climático, sí podría permitir entender cómo van a cambiar las poblaciones de organismos. Para este investigador, la pregunta principal que destapa este estudio, en el que los científicos trabajan desde hace cuatro años, es cómo es posible que en tan sólo 5.000 ó 6.000 años -edad del ecosistema de este lago- haya tanta diversidad de virus.
El proyecto Limnopolar está financiado por el Programa Polar Español, y la expedición a la Antártida fue posible gracias al apoyo logístico de la Unidad de Tecnología Marina, del CSIC, y del buque de Investigación Oceanográfica Las Palmas de la Armada. Además de Quesada y Alcamí, firman el artículo de Science Alberto López Bueno, Javier Tamames, David Velázquez y Andrés Moya.
Fuente: EFE, 6-11-09
-Bosques en el desierto: ¿La respuesta al calentamiento global?
Convertir desiertos en bosques. Esta utópica propuesta es la solución que un equipo de biólogos y climatólogos ha presentado para detener el cambio climático. La idea consiste en plantar árboles de crecimiento rápido, como eucaliptos, para cubrir el Sáhara o el desierto australiano. Estas zonas arbóreas estarían regadas por agua de mar, que se trataría en una cadena de plantas desalinizadoras y sería canalizada hacia los bosques por plantas de regadío. Este nuevo manto de árboles crearía lluvias y un microclima propio, a la par que succionaría dióxido de carbono de la atmósfera, según informa el diario 'The Guardian'. Los cálculos del equipo sugieren que los 'desiertos arbolados' podrían retirar aproximadamente 8.000 millones de toneladas de carbono al año, la misma cifra que se emite actualmente a causa de los combustibles fósiles y la deforestación.
|
|
El responsable de este plan es Leonard Ornstein, biólogo celular de la escuela de medicina Mount Sinai en Nueva York, junto con Igor Aleinov y David Rind, expertos en clima de la NASA. La propuesta ha sido publicada en 'Journal of Climatic Change' y sus creadores afirman que "probablemente proporcione la mejor ruta a corto plazo para controlar los gases de efecto invernadero". El coste de esta idea rondaría los 1,35 millones de euros al año. Sus creadores afirman que la solución es económica en comparación con el resto de propuestas existentes. Además, según Ornstein, es la única solución enfocada a solucionar la totalidad del problema. "Los costes son enormes, pero es que la escala del problema es enorme", afirma el científico. CríticasLa idea de utilizar la forestación como arma para combatir el cambio climático ya se había debatido con anterioridad. En la mayoría de lugares donde había sido propuesta, como Canadá o Siberia, se teme que al eliminar la capa de nieve que refleja la luz del sol podría producirse un mayor calentamiento de la Tierra que anule el enfriamiento pretendido. Ornstein afirma que las regiones subtropicales no existiría este problema.
|
Ornstein afirma que Arabia y varios países del Magreb también podrían sumarse a esta iniciativa que, además, fomentaría el empleo en estas regiones y proporcionaría una fuente de madera para ser utilizada como biofuel. Otras iniciativas en la región, tales como la instalación de centrales solares no se verían afectadas ya que, según sus creadores, las nubes producidas por los nuevos se desplazarían al sur.
La iniciativa ha sido recibida con diferentes críticas, que afirman que el desierto es un ecosistema complejo que sería destruido. Ornstein ha respondido que "si hay que realizar sacrificios para controlar el calentamiento global, los ecosistemas casi inexistentes del Sahara central y el desierto australiano parecen candidatos razonables, comparados a las alternativas".
Fuente: elmundo.es, 5-11-09
-Secuenciado el genoma del caballo doméstico
Investigadores del Instituto Broad de Cambridge, el Hospital General de Massachusetts en Boston y la Universidad de Sidney en Australia han secuenciado el genoma de un caballo gris llamado 'Crepúsculo'. El trabajo, que se publica en la revista 'Science', arroja luz sobre el proceso de domesticación y muestra similitudes similares a los de otros de mamíferos placentarios como el genoma bovino. El equipo internacional de científicos, dirigido por Claire Wade, informa ahora de la primera secuencia de alta calidad del genoma del 'Equus caballus' y señalan que uno de los principales descubrimientos es una región que parece estar en el proceso de formación de un nuevo centrómero propio, la región central de un cromosoma que juega un importante papel en la división celular, en el cromosoma equino 11.
Los autores indican que alrededor del 53 por ciento de los genes del caballo aparecen en cromosomas en el mismo orden en el que se encuentran los cromosomas humanos, un fenómeno conocido como sintenia conservada entre especies, y que podría servir como modelo para los trastornos humanos en el futuro.
El genoma ha permitido ya pruebas genéticas para el desarrollo de algunos trastornos genéticos equinos como la miopatía por almacenamiento de polisacáridos, la astenia dermal regional equina hereditaria y la parálisis periódica hipercalémica. Sin embargo, a pesar del gran grado de sintenia conservada entre humanos y caballos, el aparentemente nuevo centrómero en el cromosoma 11 no se encuentra en otras especies, lo que sugiere que es evolutivamente nuevo. Los autores señalan que este centrómero es funcional y estable pero demasiado nuevo para haber adquirido las típicas marcas de otros centrómeros de mamíferos. El genoma del caballo también indica que los caballos fueron domesticados originariamente a partir de un número relativamente grande de hembras pero muy pocos machos.
Fuente: Europa Press, 5-11-09
La máquina de rayos X ha sido elegida como el invento científico «más importante del mundo», por delante de avances como la Penicilina, la doble hélice del ADN o la cápsula del Apolo 10. Al menos, esta es la opinión de 50. 000 personas que durante los últimos meses visitaron el Museo de Ciencia de Londres y pudieron participar en un sondeo sobre el avance científico que más impacto ha tenido en sus vidas.

Concretamente, fueron 10.000 personas las que eligieron la radiación que atraviesa los cuerpos opacos, incluido el cuerpo humano, como «el invento más significativo de nuestro pasado, presente y futuro». En este sentido, el profesor británico y presidente del Colegio Real de Radiólogos, Andy Adam, se ha mostrado «encantado» al conocer los resultados. «La cámara de rayos X ha revolucionado la práctica médica y esta tecnología ha avanzado tanto que estamos ya llegando a la era del 'paciente transparente». Para su elección, los organizadores presentaron diez de los avances más importantes de la Ciencia, la Ingeniería, la Tecnología y la Medicina, explica la BBC. La votación se llevó a cabo como parte de varios eventos del Museo de Ciencia para celebrar su centenario. Además de la máquina de rayos X , la lista incluye al automóvil modelo T de la Ford, el primer vehículo familiar producido en masa; el motor de vapor, que desató la revolución industrial; el cohete alemán V2, el primer misil balístico que fue el precursor del cohete espacial; el telégrafo; la primera locomotora moderna, bautizada «Stephenson's Rocket»; y la computadora «Pilot ACE», la primera construida en Gran Bretaña.
No obstante, el invento que más ha dividido la opinión es el «cohete V2», ya que fue utilizado por el ejército alemán en la Segunda Guerra Mundial para bombardear Londres. Sin embargo, el experto Adrian Nahum señala que éste fue el primer objeto producido por el hombre que logró viajar más allá de la atmósfera de la Tierra.
Fuente: abc.es, 4-11-09
-Darwin estaría horrorizado por el actual estado de la naturaleza
La tataranieta de
Charles Darwin, la escritora Emma Darwin, ha afirmado hoy en Elche (Alicante)
que si el científico viviera en la actualidad, "estaría horrorizado" por el
estado de conservación que presenta la naturaleza.
"Todos formamos parte del mismo ecosistema y debemos cuidarlo, si no,
desaparecerá", ha afirmado Emma Darwin, quien ha ofrecido esta tarde en Elche
(Alicante) una conferencia con motivo del bicentenario del nacimiento de su
tatarabuelo.
A su juicio, las ideas del autor de "El origen de las especies" siguen vigentes
hoy en día, "sobre todo en lo que concierne al medio ambiente".
Preguntada sobre el cambio climático, Emma Darwin ha manifestado que "estamos
ante un verdadero problema" y ha propuesto que "cada ciudadano haga pequeñas
cosas en el día a día" para ayudar a la conservación de los ecosistemas.
Asimismo, ha instado a los gobiernos a que "colaboren" dando "un gran paso",
pues, en su opinión, "no basta cambiar las bombillas antiguas por otras
ecológicas".
La escritora, quien ha asegurado haber crecido escuchando historias sobre su
tatarabuelo como científico, padre y ciudadano, ha apuntado que la ciencia no
tiene por qué ser incompatible con la religión.
"Son dos formas de entender el mundo, dos maneras de encontrarse a sí mismo,
pero no veo que sean irreconciliables entre sí", ha afirmado.
Diversos centros educativos de la localidad, organizados por la Comisión Darwin,
y el Ayuntamiento de Elche han preparado un ciclo de actividades para conmemorar
el 150 aniversario de la publicación de "El origen de las especies".
Fuente: EFE, 4-11-09
Descifrar y comparar el genoma de 10.000 vertebrados, uno por cada género conocido, para poder entender cómo ha sido su evolución a lo largo de los últimos 600 millones de años. Este es el ambicioso objetivo del consorcio científico internacional que acaba de crearse, conocido como Genome 10K Project, que ya aglutina a 68 investigadores de todo el mundo.
|
El proyecto, que se presenta en la revista online 'Journal of Heredity', trata de ordenar y preservar el ADN de mamíferos, pájaros, reptiles, anfibios y peces para, como ha señalado su promotor, el ingeniero biomolecular David Haussler, de la Universidad de California, "comprender cuestiones tan misteriosas como las de la evolución y el origen de la trompa del elefante o de las manchas en la piel del leopardo". Para ponerlo en marcha, los investigadores (entre los que hay genetistas, paleontólogos, ecologistas, conservacionistas, etcétera) tendrán que recolectar tejidos con ADN de miles de ejemplares de zoológicos, museos y colecciones de todo el mundo. A continuación deberán ordenar el genoma de cada especie gracias a una tecnología que no deja de mejorarse en su rapidez y que cada día es menos costosa. Así lo reconoce Stephen J. O'Brian, del Instituto Nacional del Cáncer en EE.UU., otro de los líderes del Genome 10K Proyect. "El coste de ordenar el genoma humano fue de 6.000 millones de dólares, pero ahora está entre 50.000 y 100.000 dólares cada genoma, así que sólo necesita rebajarse un poco más para que secuenciar 10.000 sea posible", afirma. De ser así, bastarían 50 millones de dólares para hacer posible una idea que en abril de este año planteó Haussler en una reunión científica el pasado mes de abril. Pronto cuajó la iniciativa, que gozaba de la ventaja de que todos compartirían infraestructuras y el sistema de análisis de los datos. Incluso el Nobel de Medicina de 2002, Sydney Brenner, se ha apuntado después a la propuesta. |
El proyecto estudiará el origen de la trompa de los elefantes. | AP |
Haussler recuerda que todos los vertebrados descienden de una especie marina que vivió hace 500 o 600 millones de años, pero los paleontólogos tienen pocas pistas sobre su aspecto. Y, sin embargo, fue quien hizo posible que los vertebrados conquistaran los océanos, el aire y la tierra y, en esta última, apareciera un primate, el 'Homo sapiens'.
Dado que parte del ADN humano es muy similar al de otros vertebrados, Haussler asegura que este zoo genómico ayudará a comprender mejor qué partes de nuestros genes han cambiado y cuáles no a lo largo de la historia.
Pero, además, el Genome 10K Project pretender ayudar en la conservación de las especies, documentando la diversidad genética de muchas que están en peligro y permitiendo predecir cómo se adaptarán a fenómenos como el cambio climático, las enfermedades emergentes o a las invasiones de competidores invasores.
Todos los implicados son conscientes de que el trabajo no va a ser fácil. El primer desafío, como destaca O'Brian, es conseguir las muestras, caracterizarlas y lograr que pasen los controles de calidad necesarios. El segundo reto es conseguir el dinero suficiente como para financiar un proyecto de estas dimensiones.
Fuente: elmundo.es, 4-11-09
-Descubren el antepasado más antiguo del tiranosaurio, de 170 millones de años
|
El cráneo del Proceratosaurus / Museo de Historia Natural |
Hace unas semanas, investigadores de la Universidad de Chicago presentaban el descubrimiento de otro antecesor del T. rex cuyos restos fueron hallados en la Mongolia interior (China), el Raptorex kriegsteine, de 125 millones de años y también de pequeño tamaño (cien veces menor). De esta forma, el nuevo especimen refuerza la hipótesis de que estas bestias dieron el estirón en la última etapa de su reinado, de un tamaño menor que un coche a un bicho tan grande como un autobús antes de la gran extinsión masiva. «Podemos decir de manera concluyente que (el Proceratosaurus) es el primer representante de la línea de evolución que condujo al Tyrannosaurio», ha asegurado la investigadora Angela Milner, del Museo de Historia Natural de Londres. Los restos del nuevo ejemplar, consistentes en un cráneo de apenas 30 centímetros, fueron desenterrados en una excavación cerca de Minchinhampton, en Gloucestershire (Inglaterra). Dientes de bananaCuando fue descrito por vez primera en 1910, los paleontólogos pensaron que se trataba de otra especie, un Megalosaurus. Una década después, un científico alemán dedujo que se trataba de una especie nunca vista y lo bautizó con su nombre actual. Sólo recientemente los expertos se han dado cuenta de que se trata del primer antepasado de la estrella jurásica de Hollywood. |
Fuente: abc.es, 4-11-09
-Un tercio de las especies en peligro de extinción
Más de un tercio de las especies conocidas de animales están en peligro de extinción, según la última actualización difundida por la Unión Internacional para la Conservación de la Naturaleza (IUCN). De acuerdo a estos datos, en la "lista roja" actualizada un total de 17.291 especies están amenazadas de extinción de entre las 47.677 conocidas en todo el mundo. Están en peligro el 21% de los mamíferos, el 30% de los anfibios, el 12% de las aves, el 28% de los reptiles, el 35% de los invertebrados, el 37% de los peces de agua dulce y el 70% de las plantas.
"Las pruebas científicas de una grave crisis de extinción de especies van en aumento", dijo la directora del Grupo de Conservación de la Biodiversidad de la IUCN, Jane Smart.
Entre los 5.490 mamíferos del mundo, 79 están extinguidos o extinguidos en estado silvestre, 188 especies permanecen en situación crítica, 449 están amenazadas y 505 son vulnerables. El voalavo oriental (voalabo antsahabensis) aparece en la "lista roja" de la UICN por primera vez en la categoría de en peligro. Este roedor endémico de Madagascar está confinado en el bosque tropical montañoso y se encuentra amenazado por la agricultura de corta y quema.
|
Petrel Chatman |
Rana arbórea (Ecnomiohyla rabborum) |
Caracol (Partula clara) |
Este año se incluyeron 293 nuevos tipos de reptiles en la Lista Roja del IUCN, con lo que aumentaron hasta 1.677 especies de este tipo que sufren algún tipo de amenaza. De esta categoría, 469 están en peligro de extinción y 22 están extinguidas o extinguidas en el estado silvestre.
"Los reptiles están sufriendo en todo el mundo, pero la situación puede ser mucho peor de lo que actualmente parece", dijo el presidente de la Comisión de la Supervivencia de Especies, Simon Stuart.
Entre los anfibios, 1.895 especies de las 6.285 conocidas en el mundo están en peligro de extinción: 39 ya están extinguidos o extinguidos en la vida salvaje, 484 están en situación crítica, 754 están amenazados y 657 son vulnerables. En relación a 12.151 especies de plantas, la IUCN señaló que 8.500 están en peligro de extinción y 114 ya se extinguieron o están extinguidas en la vida salvaje. Este año la "lista roja" de la UICN contiene 7.615 invertebrados, 2.639 de los cuales están en peligro de extinción. Los científicos también añadieron 94 moluscos, aumentando el número total de moluscos evaluados a 2.306, de los cuales 1.036 están amenazados. Siete caracoles de agua dulce del Lago Dianchi en la provincia de Yunnan (China) figuran como amenazados. Éstos se suman a 13 peces de agua dulce de la misma región, 12 de ellos amenazados.
Actualmente hay 3.120 peces de agua dulce en la "lista roja" de la UICN, lo que supone un aumento de 510 especies respecto del año pasado.
"Durante mucho tiempo no se ha prestado atención a las criaturas que viven en aguas dulces. Este año hemos añadido muchas de ellas a la Lista Roja de la UICN y estamos confirmando los altos niveles de amenaza para numerosos animales y plantas de agua dulce, lo que refleja el estado de estos valiosos recursos", dijo Jean-Christophe Vié, jefe adjunto del Programa de Especies de la IUCN.
"Estos resultados son sólo la punta del iceberg. Hasta ahora sólo hemos podido evaluar 47.663 especies, pero varios millones más podrían estar seriamente amenazadas", lamentó el director de la unidad encargada de la "lista roja" de la UICN, Craig Hilton-Taylor.
"Sabemos por experiencia que las acciones de conservación funcionan, así que no esperemos a que sea demasiado tarde para empezar a salvar a nuestras especies", agregó.
Fuente: elmundo.es, 3-11-09
-Adiós a las nieves del Klimanjaro
El hielo de la montaña más alta de África podría
derretirse en un plazo de 13 a 24 años,
destino que el Kilimanjaro comparte con otros glaciares del continente, según un
estudio.
Un grupo de investigadores ubicados en Estados Unidos señalaron que los glaciares del Kilimanjaro, el volcán cubierto por nieve de Tanzania que atrae a 40.000 visitantes al año, podrían desaparecer. "Hay una fuerte posibilidad de que los campos de hielo desaparezcan en una década o dos si las condiciones actuales permanecen", afirmó el estudio, publicado por la revista Proceedings of the National Academy of Sciences (PNAS). La investigación culpa a las temperaturas más cálidas provocadas por el cambio climático y a las condiciones más secas, con menos nubes que en el pasado. "Las condiciones climatológicas que actualmente conducen a la pérdida de los hielos del Kilimanjaro son claramente únicas en una perspectiva de 11.700 años", aseveró el estudio, que agregó que la montaña perdió el 26 por ciento de su cobertura de hielo entre 2000 y 2007. A 5.896 metros de altura, el Kilimanjaro es una de las mayores atracciones turísticas de este país del este de África, ofreciéndole a los turistas una mezcla de un ambiente tropical y uno glacial en sólo cinco días de escalada.
Recauda unos 50 millones de dólares estimados anualmente. El turismo es la principal fuente de divisas en este país pobre, con ingresos de 1.220 millones de dólares en 2008. "La pérdida de los glaciares tendrá un impacto negativo en el turismo del este tropical de África", aseguró Thompson.
Hogar de elefantes, leopardos y búfalos, además de grandes vistas del Valle Rift, el Kilimanjaro es conocido como "el techo de África" y fue escalado por primera vez por un europeo, Hans Meyer, hace 120 años. "La pérdida de los glaciares es un indicador del cambio climático que ocurre en esta región, que no sólo impacta a los glaciares en la cumbre, sino a los patrones climáticos que llevan la lluvia a las laderas bajas", declaró Thompson.
Fuente: publico.es, 3-11-09
-El conjunto de galaxias más grande del cosmos... posiblemente
Un grupo de astrónomos del Observatorio Europeo Austral (ESO) han localizado un gigantesco conjunto de galaxias situado a cerca de siete millones de años luz de distancia de nuestro planeta.
|
Ilustración 3D que muestra la posición de las galaxias y revela el alcance de la gigantesca estructura descubierta, que se muestra en rojo. - ESO |
El descubrimiento, que ha sido posible gracias al trabajo combinado de dos de los telescopios más potentes del mundo, el ESO y el Subaru NAOJ, es la primera observación de la estructura de una galaxia tan prominente en el universo lejano, lo que ofrece mucha información para la comprensión de cómo se formó el cosmos. "La materia no se distribuye uniformemente en el Universo", ha señalado Masayuki Tanaka del ESO, quien dirigió el estudio. "En nuestro cosmos, se forman las estrellas en galaxias y suelen formar grupos de galaxias y cúmulos de galaxias. Las teorías cosmológicas más aceptadas predicen que la materia se forma también en grupos de mayor tamaño, creando estructuras gigantescas", asegura. Según informa la publicación Astronomy & Astrophysics, la estructura se encuentra a unos 6,7 mil millones de años luz de distancia de nosotros y se extiende durante al menos 60 millones de años luz. Los astrónomos aseguran que probablemente es la mayor estructura localizada en el cosmos, hasta el momento. |
Fuente: publico.es, 3-11-09
-La sonda Messenger desvela los territorios más ocultos de Mercurio
|
Ahora, gracias al trabajo de la nave, aproximadamente el 98% del terreno de Mercurio ya ha sido fotografiado. Sólo faltan las regiones polares, las únicas áreas cuyo aspecto todavía es un misterio. Una región desconocidaPero, ¿qué hay de nuevo? El vuelo de la nave ha detectado una región desconocida con una superficie brillante que rodea una depresión irregular, posiblemente de origen volcánico, de 290 kilómetros de diámetro. Otras imágenes revelaron una cuenca de doble anillo de aproximadamente 180 kilómetros de diámetro provocada por algún impacto. Es muy similar a la que los científicos llaman cuenca de Raditladi, que fue descubierta en el primer vuelo de la sonda sobre su viejo conocido en enero de 2008. «Es la primera vez que podemos apreciar esta nueva cuenca en detalle y los anillos están muy bien conservados», ha afirmado Brett Denevi, miembro del proyecto e investigador de la Universidad Estatal de Arizona. Como en el caso de Raditladi, se estima que el «valle» tiene mil millones de años. Parece mucho, pero es bastante joven. La mayoría de esas marcas son cuatro veces más viejas. En el centro, han encontrado el material volcánico más joven del planeta. |
La región muestra una gran actividad volcánica / NASA |
Cambios estacionales
La nave también descubrió grandes cambios estacionales en la «dinámica» exosfera o delgada atmósfera de Mercurio, según era mayor o menor la distancia del Sol. De la misma forma, las observaciones también mostraron que la superficie del planeta tiene una muy baja concentración de hierro, aunque más alta de lo esperado, similar a algunas rocas lunares. «Las nuevas imágenes nos recuerdan que Mercurio continúa guardando sorpresas», ha explicado Sean Solomon, principal investigador de la misión y director del Departamento de Magnetismo Terrestre del Instituto Carnegie de Washington.
Fuente: abc.es, 3-11-09
-La Tierra se acaba en cuarenta años (que no son nada)
Según el presidente de la 'Foundation on Economic Trends', Jeremy Rifkin, la
Humanidad tal y como se conoce hoy colapsará en los próximos 30 o 40 años y
"todas" las especies acabarán a final de este siglo si el cambio climático se
mantiene al ritmo actual. Un poco "fuerte" el asunto...
Señaló que las predicciones de los científicos del IV Informe del Panel
Intergubernamental de Cambio Climático de la ONU (IPCC, sus siglas en inglés)
apuntan a un aumento de 3 grados centígrados de la temperatura de La Tierra en
este siglo, lo que haría volver al Planeta a la temperatura y estadio climático
de hace 3 millones del años, por lo que "clima, flora y fauna serán distintos".

Asimismo, apuntó que una subida de 6 grados centígrados sería "el fin de la
civilización humana". Además, explicó que cada grado centígrado que aumenta la
temperatura de la Tierra, la atmósfera absorbe un 7 por ciento más las
precipitaciones provocando lluvias más violentas y sequías más largas.
Conseguir que el incremento de la temperatura del planeta no supere los 2ºC con
respecto a los niveles preindustriales. Ese es el límite marcado por los
científicos para evitar impactos dramáticos derivados del calentamiento global.
Para ello habría que mantener la concentración de dióxido de carbono en la
atmósfera en 450 partes por millón.
Si no, la
temperatura podría dispararse por encima de ese nivel de seguridad.
Ya el IV Informe del IPCC (2007) alertaba de la posible desaparición del hielo
en amplias zonas del Ártico, algo que "ya está sucediendo desde hace tres años".
Según sugiere un estudio recientemente publicado en la revista “Proceedings of
the National Academy of Sciences” (PNAS)
se podrían reducir hasta un 20 por ciento las emisiones de carbono de los
hogares, supongo que de los hogares contaminantes de los Estados Unidos (que
por otra parte son los que tienen más dinero) y en general de los países ricos.
Las acciones específicas para estas categorías van desde tareas que sólo hace
falta realizar una vez, como instalar un mejor aislamiento y bajar la
temperatura de los calentadores de agua, hasta tareas diarias como cambiar la
forma de conducir.
En otra noticia,
se nos informa de que “en opinión del director de la división de análisis
económico de la Agencia Internacional de la Energía, Faith Birol, el sector
energético necesita una inversión de 3,5 billones de dólares americanos hasta
2030, un 1 por ciento del PIB mundial, para contribuir a que el cambio climático
no eleve la temperatura global media del planeta hasta 6 grados centígrados. O
sea 10 años antes del colapso total…
A su juicio, estos nuevos parámetros deben girar, por un
lado, en el impulso a las energías renovables, la nuclear y la cogeneración con
captura y almacenamiento de CO2 en el ámbito de la generación eléctrica, junto
con la determinación de un precio para el carbono; por el otro, en el sector del
transporte, un 60 por ciento de las ventas mundiales de automóviles deben ser
coches eléctricos o híbridos frente al 2 por ciento actual. Y esto en 21 años,
escasitos.
Menos mal que el satélite 'SMOS' (Soil Moisture and Ocean Salinity) despegó con
éxito poco después de las 03.00 horas de este lunes desde el cosmódromo de
Plesetsk, en el norte de Rusia, informó la Agencia Espacial Europea (ESA, sus
siglas en inglés).
Este
satélite consiste en una plataforma genérica denominada Proteus,
proporcionada por la agencia espacial francesa CNES, que sirve de base para un
innovador instrumento llamado MIRAS (acrónimo inglés de Radiómetro de Microondas
empleando Síntesis de Apertura) desarrollado por EADS-CASA Espacio en España.
SMOS es el primer satélite que llevará un radiómetro interferométrico en 2D a
una órbita polar. 'SMOS' proporcionará datos para confeccionar mapas globales de
la humedad del suelo al menos una vez cada tres días y mapas globales de la
salinidad de la superficie de los mares, realizando un promedio cada 30 días.
Gracias a esta monitorización regular y consistente, la misión permitirá
comprender mejor el papel que juegan estas dos variables clave en la regulación
del ciclo del agua.
La
información proporcionada por 'SMOS' también permitirá mejorar los modelos
del clima y de la meteorología, y tendrá aplicaciones prácticas en áreas como la
agricultura o la gestión de recursos.
Lo malo de todo esto es que toda nuestra civilización está basada en el petróleo
y sus derivados (ropa, plásticos, productos fitosanitarios, medicamentos,
etcétera) junto a su producción y distribución.
El
último que cierre la puerta pero de todas formas vamos a ver si “yes, we
can”. De todas formas,
siempre nos quedará China que provoca nieve a voluntad. Lean, lean…
Fuente: blog "ciencia marina y otros asuntos", 2-11-09
-Europa pone un ojo en el espacio para vigilar los mares y la humedad terrestre
Los datos relativos a la salinidad de la superficie marina que aporte el "Soil Moisture and Ocean Salinity" (SMOS) facilitarán la comprensión de las corrientes oceánicas, mientras que la información sobre la humedad del suelo favorecerá una mejor pronóstico de los acontecimientos meteorológicos. En sus cinco años de vida útil, las "fotografías" que genere el SMOS -que se procesarán en el centro espacial de Villafranca, al noroeste de Madrid- beneficiarán, entre otros, a meteorólogos, marinos, agricultores, pescadores y agencias de gestión hidráulica.
Gestionar los recursos
"El océano guarda y transporta, vía las corrientes submarinas, enormes cantidades de calor" que la variación de la salinidad es capaz de desregular, acrecentando así el cambio climático, explica Pierre-Yves Le Traon, del instituto francés dedicado a investigar los mares.
Respecto al segundo de los cometidos del SMOS, conviene remarcar que "la disponibilidad de agua será un componente más importante en los cambios en los ecosistemas que la variación de la temperatura", señala Yann Kerr, uno de los responsables franceses de la misión.
Analizar la cantidad de agua de la superficie ayudará a distintos países a gestionar sus recursos acuíferos y a predecir los riesgos de incendios, las variaciones del clima y la posibilidad de plagas agrícolas, indicaron los responsables del proyecto.
A pesar de que la misión SMOS ha requerido una inversión de unos 300 millones de euros, se trata de una de las más baratas del programa de exploración de la Tierra de la ESA, agencia que goza para su funcionamiento de un presupuesto quinquenal de 10.000 millones de euros.
La ESA ha dividido sus misiones de exploración de la Tierra en dos categorías: Núcleo (GOCE, ADM-Aeolus y EarthCARE) y Oportunidad (SMOS, CryoSat2 y Swarm). La primera misión Núcleo debutó el pasado mes de mayo con el lanzamiento del satélite GOCE, una herramienta aeroespacial concebida para elaborar un mapa en tres dimensiones de las variaciones del campo magnético de la Tierra. Eso debe permitir conocer mejor la estructura interna del globo terrestre y disponer de datos para estudiar los terremotos, los volcanes, los océanos, el clima y, en particular, la circulación oceánica. Además, tendrá aplicaciones prácticas en para el sector de la vivienda, el urbanismo y la topografía. Después vendrán la misión ADM-Aeolus, cuyo lanzamiento está programado para 2011, y la EarthCARE, prevista para 2013.
Fuente: abc.es, 2-11-09